• Tel: 858.663.9055
  • SeparatorEmail: info@nsjbio.com
  • Tel: 858.663.9055
  • Email: info@nsjbio.com
Home >> Antibodies >> UBXN1 Antibody / UBX domain-containing protein 1

UBXN1 Antibody / UBX domain-containing protein 1 (FY13448)

  Catalog No Formulation Size Price (USD)  
Image FY13448 Adding 0.2 ml of distilled water will yield a concentration of 500 ug/ml 100 ug 449
Bulk quote request
Western blot analysis of UBXN1 expression using UBXN1 antibody. UBXN1 expression was evaluated by western blotting in whole cell and tissue lysates separated by SDS-PAGE and transferred to a nitrocellulose membrane. Lanes were loaded with human HeLa, HepG2, 293T, and Ramos whole cell lysates, as well as rat liver and brain tissue lysates and mouse liver and brain tissue lysates. Immunodetection revealed a predominant UBXN1 band migrating at approximately 40 kDa across multiple samples, slightly higher than the predicted molecular weight of approximately 33 kDa. This upward shift is consistent with reported post-translational modification or altered electrophoretic mobility of UBXN1 under denaturing conditions.
Western blot analysis of UBXN1 expression using UBXN1 antibody. UBXN1 expression was examined by western blotting in whole cell lysates from human A431, Jurkat, K562, and SH-SY5Y cells, rat NRK and RH-35 cells, and mouse NIH/3T3 and HEPA1-6 cells. Proteins were separated by SDS-PAGE under reducing conditions and transferred to a nitrocellulose membrane prior to immunodetection. A prominent UBXN1-immunoreactive band was observed at approximately 40 kDa across all tested samples, migrating higher than the predicted molecular weight of approximately 33 kDa. This apparent molecular weight shift is consistent with reported electrophoretic behavior of UBXN1, potentially reflecting post-translational modification or altered migration properties in SDS-PAGE systems.
IHC analysis of UBXN1 in human thyroid cancer tissue. Paraffin-embedded human thyroid cancer tissue was analyzed for UBXN1 expression by immunohistochemistry. Heat-mediated antigen retrieval was performed in EDTA buffer (pH 8.0), and sections were blocked with 10% goat serum prior to incubation with a rabbit anti-UBXN1 antibody overnight at 4°C. Detection was performed using an HRP-conjugated secondary antibody with DAB chromogen, followed by hematoxylin counterstaining. UBXN1 shows cytoplasmic staining within tumor cells.
IHC analysis of UBXN1 in human tonsil tissue. UBXN1 expression was examined in a paraffin-embedded section of human tonsil tissue using immunohistochemistry. Heat-mediated antigen retrieval was performed in EDTA buffer (pH 8.0). Sections were blocked with 10% goat serum and incubated with a rabbit anti-UBXN1 antibody overnight at 4°C. Detection was performed using an HRP-conjugated secondary antibody with DAB chromogen, and nuclei were counterstained with hematoxylin. UBXN1 staining is observed primarily in lymphoid cells with a cytoplasmic distribution.
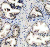
IHC analysis of UBXN1 in human prostate hyperplasia tissue. UBXN1 expression was evaluated in a paraffin-embedded section of human prostate hyperplasia tissue. Heat-mediated antigen retrieval was carried out in EDTA buffer (pH 8.0), followed by blocking with 10% goat serum. Tissue sections were incubated with a rabbit anti-UBXN1 antibody overnight at 4°C. Signal detection was achieved using an HRP-conjugated secondary antibody with DAB chromogen, with hematoxylin counterstaining. UBXN1 staining is evident in glandular epithelial cells.
IHC analysis of UBXN1 in mouse brain tissue. UBXN1 expression in mouse brain tissue was assessed using immunohistochemistry on paraffin-embedded sections. Antigen retrieval was performed using EDTA buffer (pH 8.0), and sections were blocked with 10% goat serum before overnight incubation with a rabbit anti-UBXN1 antibody at 4°C. Signal was visualized using an HRP-conjugated secondary antibody and DAB chromogen, with hematoxylin counterstaining. UBXN1 staining is observed in neuronal cell populations.
IHC analysis of UBXN1 in rat brain tissue. Paraffin-embedded rat brain tissue sections were stained for UBXN1 using immunohistochemistry. Heat-mediated antigen retrieval was conducted in EDTA buffer (pH 8.0), followed by blocking with 10% goat serum. Sections were incubated with a rabbit anti-UBXN1 antibody overnight at 4°C. Detection was achieved using an HRP-conjugated secondary antibody with DAB chromogen and hematoxylin counterstaining. UBXN1 immunoreactivity is present in neural tissue.
Immunoprecipitation of UBXN1 protein from 500ug of human HeLa whole cell lysate with 2ug of UBXN1 antibody.
Availability 1-2 days
Species Reactivity Human, Mouse, Rat
Format Lyophilized
Host Rabbit
Clonality Polyclonal (rabbit origin)
Isotype Rabbit IgG
Purity Immunogen affinity purified
Buffer Each vial contains 4 mg Trehalose, 0.9 mg NaCl and 0.2 mg Na2HPO4.
UniProt Q04323
Localization Cytoplasm, nucleus
Applications Western Blot : 0.25-0.5ug/ml
Immunohistochemistry : 2-5ug/ml
Immunoprecipitation : 2ug per 500ug of lysate
ELISA : 0.1-0.5ug/ml
Limitations This UBXN1 antibody is available for research use only.
Review this product on BioCompare and get a $20 Amazon gift card

Description

UBXN1 antibody targets UBX domain-containing protein 1, encoded by the UBXN1 gene. UBXN1 is a cytoplasmic and endoplasmic reticulum-associated protein that belongs to the UBX domain protein family, a group of cofactors that interact with the AAA ATPase VCP, also known as p97. Through its UBX domain, UBXN1 participates in protein quality control pathways by linking VCP to specific substrates and adaptor complexes. This positioning allows UBXN1 to influence the fate of misfolded, ubiquitinated, or regulatory proteins within the cell.

Functionally, UBX domain-containing protein 1 is involved in ubiquitin-dependent processes that regulate protein turnover and cellular homeostasis. UBXN1 has been shown to modulate endoplasmic reticulum-associated degradation, a pathway responsible for identifying and removing misfolded proteins from the ER. By coordinating with VCP and other ubiquitin pathway components, UBXN1 helps ensure efficient extraction and downstream handling of these substrates. A UBXN1 antibody supports studies focused on protein degradation pathways and ubiquitin-mediated regulation.

Beyond ER stress responses, UBXN1 also contributes to broader aspects of proteostasis and signaling. It has been implicated in the regulation of inflammatory signaling pathways, where it can influence the stability or activity of signaling intermediates. Through these interactions, UBXN1 acts as a regulatory scaffold rather than an enzymatic factor, fine-tuning cellular responses to stress and signaling cues. These roles place UBXN1 at the intersection of protein quality control and signal transduction.

UBXN1 is expressed in multiple tissues and cell types, reflecting the universal need for regulated protein turnover. Its cellular localization can vary depending on context, with enrichment in cytoplasmic compartments associated with the ER and protein degradation machinery. UBXN1 can associate with additional cofactors beyond VCP, suggesting that it participates in dynamic multiprotein complexes that adapt to changing cellular conditions.

From a disease-relevance perspective, dysregulation of ubiquitin-proteasome and ERAD pathways is linked to neurodegenerative disorders, inflammatory diseases, and cancer. Because UBXN1 modulates these pathways indirectly through adaptor functions, it has attracted interest as a regulatory node rather than a core degradation enzyme. Altered UBXN1 expression or function may influence how cells cope with proteotoxic stress, making it a relevant target for mechanistic studies of disease-associated protein homeostasis.

At the molecular level, UBX domain-containing protein 1 contains a conserved UBX domain that mediates interaction with VCP, along with additional regions that contribute to substrate and adaptor binding. Post-translational modifications and complex assembly state can influence UBXN1 activity and its apparent behavior in biochemical assays without implying changes to the primary amino acid sequence. A UBXN1 antibody is suitable for research applications aimed at investigating protein quality control, ubiquitin-dependent pathways, and stress-responsive cellular mechanisms, with NSJ Bioreagents providing reagents intended for research use.

Application Notes

Optimal dilution of the UBXN1 antibody should be determined by the researcher.

Immunogen

E.coli-derived human UBX domain-containing protein 1 recombinant protein (amino acids M1-S286) was used as the immunogen for the UBXN1 antibody.

Storage

After reconstitution, the UBXN1 antibody can be stored for up to one month at 4oC. For long-term, aliquot and store at -20oC. Avoid repeated freezing and thawing.

Cross
Bulk Quote Request Form
Name*:
Organization*:
Email*:
Phone Number*:
Catalog No.*:
Comments and Specifics(amount, formulation, etc.)*:
Validation code: Captchapackage Image


Can't read the image? click here to refresh.
    *required field

Your bulk quote request has been submitted successfully!

Please contact us if you have any questions.