• Tel: 858.663.9055
  • SeparatorEmail: info@nsjbio.com
  • Tel: 858.663.9055
  • Email: info@nsjbio.com
Home >> Antibodies >> Ubiquitin-protein ligase E3A Antibody / UBE3A

Ubiquitin-protein ligase E3A Antibody / UBE3A (F54766)

  Catalog No Formulation Size Price (USD)  
Image F54766-0.4ML In 1X PBS, pH 7.4, with 0.09% sodium azide 0.4 ml 439
Image
F54766-0.08ML In 1X PBS, pH 7.4, with 0.09% sodium azide 0.08 ml 205
Bulk quote request
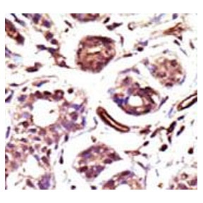
IHC testing of FFPE human breast cancer tissue with Ubiquitin-protein ligase E3A antibody. HIER: steam section in pH6 citrate buffer for 20 min and allow to cool prior to staining.
Immunofluorescent staining of human HeLa cells with Ubiquitin-protein ligase E3A antibody (green), DAPI nuclear stain (blue) and anti-Actin (red).
Western blot testing of human T-47D cell lysate with Ubiquitin-protein ligase E3A antibody. Predicted molecular weight ~100 kDa.
Flow cytometry testing of human HeLa cells with Ubiquitin-protein ligase E3A antibody; Blue=isotype control, Green= Ubiquitin-protein ligase E3A antibody.
Availability 1-3 business days
Species Reactivity Human
Format Purified
Host Rabbit
Clonality Polyclonal (rabbit origin)
Isotype Rabbit Ig
Purity Purified
UniProt Q05086
Localization Cytoplasmic, nuclear
Applications Flow Cytometry : 1:10-1:50 (1x10e6 cells)
Immunofluorescence : 1:10-1:50
Immunohistochemistry (FFPE) : 1:10-1:50
Western Blot : 1:500-1:1000
Limitations This Ubiquitin-protein ligase E3A antibody is available for research use only.
Review this product on BioCompare and get a $20 Amazon gift card

Related Products

Description

UBE3A interacts with the E6 protein of the cancer-associated human papillomavirus types 16 and 18. The E6/E6-AP complex binds to and targets the p53 tumor-suppressor protein for ubiquitin-mediated proteolysis. It is an E3 ubiquitin-protein ligase which accepts ubiquitin from an E2 ubiquitin-conjugating enzyme in the form of a thioester and then directly transfers the ubiquitin to targeted substrates. It can target itself for ubiquitination in vitro and efficiently promotes its own degradation in vivo. It appears that only unmodified E6-AP molecules can bind efficiently to p53 in the presence of the HPV E6 oncoprotein. UBE3A binds UBQLN1 and UBQLN2. Defects in UBE3A are a cause of Angelman syndrome (AS) [MIM:105830]; also known as 'happy puppet syndrome'. AS is characterized by features of severe motor and intellectual retardation, microcephaly, ataxia, frequent jerky limb movements and flapping of the arms and hands, hypotonia, hyperactivity, hypopigmentation, seizures, absence of speech, frequent smiling and episodes of paroxysmal laughter, and an unusual facies characterized by macrostomia, a large mandible and open-mouthed expression, a great propensity for protruding the tongue ('tongue thrusting'), and an occipital groove. UBE3A contains 1 HECT-type E3 ubiquitin-protein ligase domain.

Application Notes

The stated application concentrations are suggested starting points. Titration of the Ubiquitin-protein ligase E3A antibody may be required due to differences in protocols and secondary/substrate sensitivity.

Immunogen

A portion of amino acids 836-865 from the human protein was used as the immunogen for the Ubiquitin-protein ligase E3A antibody.

Storage

Aliquot the Ubiquitin-protein ligase E3A antibody and store frozen at -20oC or colder. Avoid repeated freeze-thaw cycles.

Cross
Bulk Quote Request Form
Name*:
Organization*:
Email*:
Phone Number*:
Catalog No.*:
Comments and Specifics(amount, formulation, etc.)*:
Validation code: Captchapackage Image


Can't read the image? click here to refresh.
    *required field

Your bulk quote request has been submitted successfully!

Please contact us if you have any questions.