• Tel: 858.663.9055
  • SeparatorEmail: info@nsjbio.com
  • Tel: 858.663.9055
  • Email: info@nsjbio.com
Home >> Antibodies >> Ubiquitin Antibody

Ubiquitin Antibody (F42064)

  Catalog No Formulation Size Price (USD)  
Image F42064-0.4ML In 1X PBS, pH 7.4, with 0.09% sodium azide 0.4 ml 439
Image
F42064-0.08ML In 1X PBS, pH 7.4, with 0.09% sodium azide 0.08 ml 205
Bulk quote request
Western blot analysis of Ubiquitin antibody and HeLa cell lysate
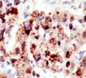
IHC analysis of FFPE human hepatocarcinoma stained with the Ubiquitin antibody
Characterization of FOXP2 isoforms using FOXP2 Ab (green) and Ubiquitin antibody (aggresome marker) (red). Nuclei are marked by DAPI staining (blue). Ubiquitin co-localizes with FOXP2.10t aggregates suggesting that these cellular bodies represent aggresomes.
Availability 1-3 business days
Species Reactivity Human
Predicted Reactivity Bovine, C. elegans, Chicken, Drosophila, Mouse, Pig, Primate, Rat, Yeast
Format Purified
Host Rabbit
Clonality Polyclonal (rabbit origin)
Isotype Rabbit Ig
Purity Purified
UniProt P0CG48
Applications Western Blot : 1:1000
IHC (Paraffin) : 1:50-1:100
Immunofluorescence : 1:10-1:50
Limitations This Ubiquitin antibody is available for research use only.
Review this product on BioCompare and get a $20 Amazon gift card

Related Products

Description

This gene encodes Ubiquitin, one of the most conserved proteins known. Ubiquitin is required for ATP-dependent, nonlysosomal intracellular protein degradation of abnormal proteins and normal proteins with a rapid turnover. Ubiquitin is covalently bound to proteins to be degraded, and presumably labels these proteins for degradation. Ubiquitin also binds to histone H2A in actively transcribed regions but does not cause histone H2A degradation, suggesting that ubiquitin is also involved in regulation of gene expression. This gene consists of three direct repeats of the ubiquitin coding sequence with no spacer sequence. Consequently, the protein is expressed as a polyubiquitin precursor with a final amino acid after the last repeat. Aberrant form of this protein has been noticed in patients with Alzheimer's and Down syndrome.

Application Notes

Titration of the Ubiquitin antibody may be required due to differences in protocols and secondary/substrate sensitivity.

Immunogen

A portion of amino acids 36-66 from the human protein was used as the immunogen for this Ubiquitin antibody.

Storage

Aliquot the Ubiquitin antibody and store frozen at -20oC or colder. Avoid repeated freeze-thaw cycles.

Cross
Bulk Quote Request Form
Name*:
Organization*:
Email*:
Phone Number*:
Catalog No.*:
Comments and Specifics(amount, formulation, etc.)*:
Validation code: Captchapackage Image


Can't read the image? click here to refresh.
    *required field

Your bulk quote request has been submitted successfully!

Please contact us if you have any questions.