• Tel: 858.663.9055
  • SeparatorEmail: info@nsjbio.com
  • Tel: 858.663.9055
  • Email: info@nsjbio.com
Home >> Antibodies >> UBE2W Antibody / Ubiquitin-conjugating enzyme E2 W

UBE2W Antibody / Ubiquitin-conjugating enzyme E2 W (FY13328)

  Catalog No Formulation Size Price (USD)  
Image FY13328 Adding 0.2 ml of distilled water will yield a concentration of 500 ug/ml 100 ug 449
Bulk quote request
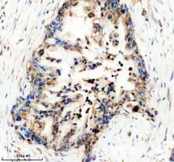
Immunohistochemical staining of UBE2W using anti-UBE2W antibody. UBE2W was detected in a paraffin-embedded section of human pancreas cancer tissue. Heat mediated antigen retrieval was performed in EDTA buffer (pH 8.0, epitope retrieval solution). The tissue section was blocked with 10% goat serum. The tissue section was then incubated with 2 ug/ml rabbit anti-UBE2W antibody overnight at 4oC. Peroxidase Conjugated Goat Anti-rabbit IgG was used as secondary antibody and incubated for 30 minutes at 37oC. The tissue section was developed using an HRP secondary and DAB substrate.
Western blot analysis of UBE2W using anti-UBE2W antibody. Electrophoresis was performed on a 12% SDS-PAGE gel at 80V (Stacking gel) / 120V (Resolving gel) for 2 hours. Lane 1: human PC-3 whole cell lysates. After electrophoresis, proteins were transferred to a nitrocellulose membrane at 150 mA for 50-90 minutes. Blocked the membrane with 5% non-fat milk/TBS for 1.5 hour at RT. The membrane was incubated with rabbit anti-UBE2W antibody at 0.5 ug/ml overnight at 4oC, then washed with TBS-0.1%Tween 3 times with 5 minutes each and probed with a goat anti-rabbit IgG-HRP secondary antibody at a dilution of 1:5000 for 1.5 hour at RT. The signal was developed using an ECL Plus Western Blotting Substrate. The expected molecular weight of UBE2W is ~17 kDa.
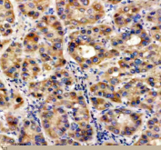
Immunohistochemical staining of UBE2W using anti-UBE2W antibody. UBE2W was detected in a paraffin-embedded section of human liver tissue. Heat mediated antigen retrieval was performed in EDTA buffer (pH 8.0, epitope retrieval solution). The tissue section was blocked with 10% goat serum. The tissue section was then incubated with 2 ug/ml rabbit anti-UBE2W antibody overnight at 4oC. Peroxidase Conjugated Goat Anti-rabbit IgG was used as secondary antibody and incubated for 30 minutes at 37oC. The tissue section was developed using an HRP secondary and DAB substrate.
Immunohistochemical staining of UBE2W using anti-UBE2W antibody. UBE2W was detected in a paraffin-embedded section of human liver cancer tissue. Heat mediated antigen retrieval was performed in EDTA buffer (pH 8.0, epitope retrieval solution). The tissue section was blocked with 10% goat serum. The tissue section was then incubated with 2 ug/ml rabbit anti-UBE2W antibody overnight at 4oC. Peroxidase Conjugated Goat Anti-rabbit IgG was used as secondary antibody and incubated for 30 minutes at 37oC. The tissue section was developed using an HRP secondary and DAB substrate.
Immunohistochemical staining of UBE2W using anti-UBE2W antibody. UBE2W was detected in a paraffin-embedded section of rat brain tissue. Heat mediated antigen retrieval was performed in EDTA buffer (pH 8.0, epitope retrieval solution). The tissue section was blocked with 10% goat serum. The tissue section was then incubated with 2 ug/ml rabbit anti-UBE2W antibody overnight at 4oC. Peroxidase Conjugated Goat Anti-rabbit IgG was used as secondary antibody and incubated for 30 minutes at 37oC. The tissue section was developed using an HRP secondary and DAB substrate.
Availability 1-2 days
Species Reactivity Human, Rat
Format Lyophilized
Host Rabbit
Clonality Polyclonal (rabbit origin)
Isotype Rabbit IgG
Purity Immunogen affinity purified
Buffer Each vial contains 4 mg Trehalose, 0.9 mg NaCl, 0.2 mg Na2HPO4.
UniProt Q96B02
Localization Nuclear
Applications Western Blot : 0.25-0.5ug/ml
Immunohistochemistry : 2-5ug/ml
ELISA : 0.1-0.5ug/ml
Limitations This UBE2W antibody is available for research use only.
Review this product on BioCompare and get a $20 Amazon gift card

Description

UBE2W antibody detects Ubiquitin-conjugating enzyme E2 W, a cytoplasmic and nuclear enzyme encoded by the UBE2W gene on chromosome 8q24.3. UBE2W is a member of the E2 ubiquitin-conjugating enzyme family that plays a central role in the ubiquitination pathway, transferring ubiquitin from E1 activating enzymes to target substrates via E3 ligases. It is expressed in most tissues, with particularly high expression in testis, brain, and muscle, where it contributes to protein homeostasis and stress response regulation. UBE2W is unique among E2 enzymes in its ability to monoubiquitinate the N-terminal amino group of substrates rather than internal lysine residues, providing a specialized mechanism for protein modification.

UBE2W functions within the ubiquitin-proteasome system (UPS), a critical pathway for protein degradation, signal transduction, and DNA repair. It interacts with multiple E3 ligases, including BRCA1-BARD1, RNF4, and CHIP, and is involved in the ubiquitination of substrates associated with DNA damage repair, stress responses, and proteostasis. This enzyme participates in pathways that maintain genomic stability and cellular adaptation to oxidative and proteotoxic stress.

Structurally, UBE2W contains a conserved catalytic core domain typical of E2 enzymes, with a cysteine residue in its active site that forms a transient thioester bond with ubiquitin. The enzyme�s N-terminal helix contributes to substrate specificity and interaction with distinct E3 ligases. UBE2W�s ability to initiate ubiquitin chain formation on protein N-termini distinguishes it from other E2 enzymes and positions it as a key regulator of ubiquitin signaling complexity.

In DNA damage response, UBE2W assists in monoubiquitination of repair factors, facilitating recruitment of downstream effectors involved in homologous recombination and chromatin remodeling. It also plays a role in protein quality control by tagging misfolded or damaged proteins for degradation. Dysregulation of UBE2W activity has been implicated in carcinogenesis, neurodegeneration, and defective DNA repair syndromes. Altered UBE2W expression is observed in several cancer types, where its activity may influence genomic integrity and tumor cell survival.

At the pathway level, UBE2W functions in ubiquitin-mediated proteolysis, DNA damage repair signaling, and protein turnover. It interacts with the BRCA1 complex and SUMO-targeted ubiquitin ligases, integrating ubiquitin and SUMO pathways that regulate chromatin and transcriptional processes. As part of the ubiquitin-proteasome system, UBE2W contributes to proteostasis and stress-induced adaptation in both nuclear and cytoplasmic compartments.

Immunohistochemical staining using UBE2W antibody shows both cytoplasmic and nuclear localization, reflecting its dual roles in protein degradation and DNA repair. The UBE2W antibody from NSJ Bioreagents is an effective reagent for investigating ubiquitin signaling, proteostasis regulation, and DNA damage response mechanisms.

Application Notes

Optimal dilution of the UBE2W antibody should be determined by the researcher.

Immunogen

E.coli-derived human UBE2W recombinant protein (Position: M1-C151) was used as the immunogen for the UBE2W antibody.

Storage

After reconstitution, the UBE2W antibody can be stored for up to one month at 4oC. For long-term, aliquot and store at -20oC. Avoid repeated freezing and thawing.

Cross
Bulk Quote Request Form
Name*:
Organization*:
Email*:
Phone Number*:
Catalog No.*:
Comments and Specifics(amount, formulation, etc.)*:
Validation code: Captchapackage Image


Can't read the image? click here to refresh.
    *required field

Your bulk quote request has been submitted successfully!

Please contact us if you have any questions.