• Tel: 858.663.9055
  • SeparatorEmail: info@nsjbio.com
  • Tel: 858.663.9055
  • Email: info@nsjbio.com
Home >> Antibodies >> UBE2F Antibody / NEDD8-conjugating enzyme E2 F

UBE2F Antibody / NEDD8-conjugating enzyme E2 F (FY13083)

  Catalog No Formulation Size Price (USD)  
Image FY13083 Adding 0.2 ml of distilled water will yield a concentration of 500 ug/ml 100 ug 449
Bulk quote request
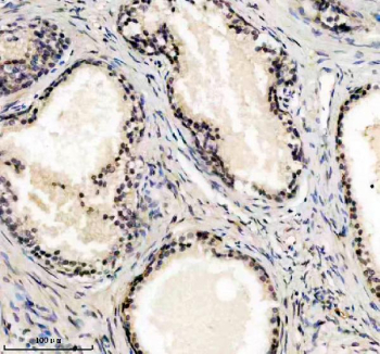
Immunohistochemical staining of UBE2F using anti-UBE2F antibody. UBE2F was detected in a paraffin-embedded section of human prostate cancer tissue. Heat mediated antigen retrieval was performed in EDTA buffer (pH 8.0, epitope retrieval solution). The tissue section was blocked with 10% goat serum. The tissue section was then incubated with 2 ug/ml rabbit anti-UBE2F antibody overnight at 4oC. Peroxidase Conjugated Goat Anti-rabbit IgG was used as secondary antibody and incubated for 30 minutes at 37oC. The tissue section was developed using an HRP secondary and DAB substrate.
Western blot analysis of UBE2F using anti-UBE2F antibody. Electrophoresis was performed on a 12% SDS-PAGE gel at 80V (Stacking gel) / 120V (Resolving gel) for 2 hours. Lane 1: human Jurkat whole cell lysates, Lane 2: human K562 whole cell lysates, Lane 3: rat ovary tissue lysates, Lane 4: rat testis tissue lysates, Lane 5: mouse testis tissue lysates. After electrophoresis, proteins were transferred to a nitrocellulose membrane at 150 mA for 50-90 minutes. Blocked the membrane with 5% non-fat milk/TBS for 1.5 hour at RT. The membrane was incubated with rabbit anti-UBE2F antibody at 0.5 ug/ml overnight at 4oC, then washed with TBS-0.1%Tween 3 times with 5 minutes each and probed with a goat anti-rabbit IgG-HRP secondary antibody at a dilution of 1:5000 for 1.5 hour at RT. The signal was developed using an ECL Plus Western Blotting Substrate. A specific band was detected for UBE2F at approximately 21 kDa. The expected molecular weight of UBE2F is ~21 kDa.
Immunofluorescent staining of UBE2F using anti-UBE2F antibody (green) and anti-Alpha Tubulin antibody (red). UBE2F was detected in an immunocytochemical section of SiHa cells. Enzyme antigen retrieval was performed using IHC enzyme antigen retrieval reagent for 15 mins. The cells were blocked with 10% goat serum. And then incubated with 5 ug/ml rabbit anti-UBE2F antibody and mouse anti-Beta Tubulin antibody overnight at 4oC. DyLight 488 Conjugated Goat Anti-Rabbit IgG and Cy3 Conjugated Goat Anti-Mouse IgG were used as secondary antibody at 1:500 dilution and incubated for 30 minutes at 37oC. Visualize using a fluorescence microscope and filter sets appropriate for the label used.
Flow Cytometry analysis of K562 cells using anti-UBE2F antibody. Overlay histogram showing K562 cells stained with (Blue line). To facilitate intracellular staining, cells were fixed with 4% paraformaldehyde and permeabilized with permeabilization buffer. The cells were blocked with 10% normal goat serum. And then incubated with rabbit anti-UBE2F antibody (1 ug/million cells) for 30 min at 20oC. DyLight 488 conjugated goat anti-rabbit IgG (5-10 ug/million cells) was used as secondary antibody for 30 minutes at 20oC. Isotype control antibody (Green line) was rabbit IgG (1 ug/million cells) used under the same conditions. Unlabelled sample without incubation with primary antibody and secondary antibody (Red line) was used as a blank control.
Availability 1-2 days
Species Reactivity Human, Mouse, Rat
Format Lyophilized
Host Rabbit
Clonality Polyclonal (rabbit origin)
Isotype Rabbit IgG
Purity Immunogen affinity purified
Buffer Each vial contains 4 mg Trehalose, 0.9 mg NaCl, 0.2 mg Na2HPO4.
UniProt Q969M7
Applications Western Blot : 0.25-0.5ug/ml
Immunohistochemistry : 2-5ug/ml
Immunocytochemistry/Immunofluorescence : 5ug/ml
Flow Cytometry : 1-3ug/million cells
ELISA : 0.1-0.5ug/ml
Limitations This UBE2F antibody is available for research use only.
Review this product on BioCompare and get a $20 Amazon gift card

Related Products

  • Applications : WB, IHC, ELISA (peptide)
    Reactivity : Human, Mouse
    Pred. Reactivity : Cow, Dog, Rat
  • Applications : WB, ELISA (peptide)
    Reactivity : Human, Mouse, Rat
    Pred. Reactivity : Cow, Dog, Pig

Description

UBE2F antibody detects NEDD8-conjugating enzyme E2 F, an E2 ubiquitin-like conjugating enzyme that catalyzes neddylation of cullin proteins, regulating cullin-RING ligase (CRL) activity. The UniProt recommended name is NEDD8-conjugating enzyme E2 F (UBE2F). This enzyme cooperates with the NEDD8-activating enzyme (NAE1/UBA3) and specific E3 ligases to attach NEDD8 to target substrates, modulating protein degradation pathways.

Functionally, UBE2F antibody identifies a 185-amino-acid cytoplasmic enzyme that activates and transfers NEDD8 to cullin 5 and other CRL components. UBE2F works specifically with the E3 ligase RBX2 (RNF7), forming a selective neddylation module distinct from UBE2M (UBC12). Through this modification, UBE2F regulates CRL activity, affecting cell cycle progression, signal transduction, and stress responses.

The UBE2F gene is located on chromosome 5q31.2 and is expressed in multiple tissues, including testis, brain, and lung. Its expression is cell cycle-dependent and induced under oxidative stress. UBE2F ensures timely activation of CRLs, thereby influencing ubiquitin-mediated degradation of regulatory proteins such as p27 and HIF1A.

Pathologically, dysregulation of UBE2F contributes to cancer and oxidative stress-related disorders. Overexpression promotes degradation of tumor suppressors, while inhibition can stabilize proteins that restrain cell proliferation. UBE2F has emerged as a therapeutic target for modulating proteostasis and redox balance in malignant cells.

UBE2F antibody is suitable for western blotting, immunoprecipitation, and immunofluorescence to detect neddylation components and study ubiquitin-like modification systems. NSJ Bioreagents provides validated UBE2F antibody reagents for investigating protein turnover, neddylation, and cellular signaling.

Structurally, UBE2F contains a conserved catalytic cysteine residue within its E2 core domain, forming a thioester bond with activated NEDD8. This structure enables transfer to substrate-bound E3 ligases. This antibody helps characterize UBE2F's mechanistic role in the neddylation cascade and its impact on CRL activity.

Application Notes

Optimal dilution of the UBE2F antibody should be determined by the researcher.

Immunogen

E.coli-derived human UBE2F recombinant protein (Position: M1-R185) was used as the immunogen for the UBE2F antibody.

Storage

After reconstitution, the UBE2F antibody can be stored for up to one month at 4oC. For long-term, aliquot and store at -20oC. Avoid repeated freezing and thawing.

Cross
Bulk Quote Request Form
Name*:
Organization*:
Email*:
Phone Number*:
Catalog No.*:
Comments and Specifics(amount, formulation, etc.)*:
Validation code: Captchapackage Image


Can't read the image? click here to refresh.
    *required field

Your bulk quote request has been submitted successfully!

Please contact us if you have any questions.