• Tel: 858.663.9055
  • SeparatorEmail: info@nsjbio.com
  • Tel: 858.663.9055
  • Email: info@nsjbio.com
Home >> Antibodies >> UBE2A/UBE2B Antibody / Ubiquitin-conjugating enzyme E2

UBE2A/UBE2B Antibody / Ubiquitin-conjugating enzyme E2 (FY12134)

  Catalog No Formulation Size Price (USD)  
Image FY12134 Adding 0.2 ml of distilled water will yield a concentration of 500 ug/ml 100 ug 449
Bulk quote request
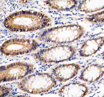
IHC analysis of UBE2A/UBE2B using anti-UBE2A/UBE2B antibody. UBE2A/UBE2B was detected in a paraffin-embedded section of human colon cancer tissue. Heat mediated antigen retrieval was performed in EDTA buffer (pH 8.0, epitope retrieval solution). The tissue section was blocked with 10% goat serum. The tissue section was then incubated with 2 ug/ml rabbit anti-UBE2A/UBE2B antibody overnight at 4oC. Peroxidase Conjugated Goat Anti-rabbit IgG was used as secondary antibody and incubated for 30 minutes at 37oC. The tissue section was developed using an HRP secondary and DAB substrate.
Western blot analysis of UBE2A/UBE2B using anti-UBE2A/UBE2B antibody. Electrophoresis was performed on a 12% SDS-PAGE gel at 80V (Stacking gel) / 120V (Resolving gel) for 2 hours. Lane 1: human Hela whole cell lysates, Lane 2: human K562 whole cell lysates. After electrophoresis, proteins were transferred to a nitrocellulose membrane at 150 mA for 50-90 minutes. Blocked the membrane with 5% non-fat milk/TBS for 1.5 hour at RT. The membrane was incubated with rabbit anti-UBE2A/UBE2B antibody at 0.5 ug/ml overnight at 4oC, then washed with TBS-0.1%Tween 3 times with 5 minutes each and probed with a goat anti-rabbit IgG-HRP secondary antibody at a dilution of 1:5000 for 1.5 hour at RT. The signal was developed using an ECL Plus Western Blotting Substrate. A specific band was detected for UBE2A/UBE2B at approximately 17 kDa. The expected band size for UBE2A/UBE2B is at 17 kDa.
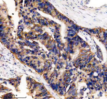
IHC analysis of UBE2A/UBE2B using anti-UBE2A/UBE2B antibody. UBE2A/UBE2B was detected in a paraffin-embedded section of human colon tissue. Heat mediated antigen retrieval was performed in EDTA buffer (pH 8.0, epitope retrieval solution). The tissue section was blocked with 10% goat serum. The tissue section was then incubated with 2 ug/ml rabbit anti-UBE2A/UBE2B antibody overnight at 4oC. Peroxidase Conjugated Goat Anti-rabbit IgG was used as secondary antibody and incubated for 30 minutes at 37oC. The tissue section was developed using an HRP secondary and DAB substrate.
IF analysis of UBE2A/UBE2B using anti-UBE2A/UBE2B antibody (red). UBE2A/UBE2B was detected in a paraffin-embedded section of human colon tissue. Heat mediated antigen retrieval was performed in EDTA buffer (pH 8.0, epitope retrieval solution). The tissue section was blocked with 10% goat serum. The tissue section was then incubated with 5 ug/ml rabbit anti-UBE2A/UBE2B antibody overnight at 4oC. Cy3 Conjugated Goat Anti-Rabbit IgG was used as secondary antibody at 1:500 dilution and incubated for 30 minutes at 37oC. The section was counterstained with DAPI (blue). Visualize using a fluorescence microscope and filter sets appropriate for the label used.
Flow Cytometry analysis of HeLa cells using anti-UBE2A/UBE2B antibody. Overlay histogram showing HeLa cells stained with (Blue line). To facilitate intracellular staining, cells were fixed with 4% paraformaldehyde and permeabilized with permeabilization buffer. The cells were blocked with 10% normal goat serum. And then incubated with rabbit anti-UBE2A/UBE2B antibody (1 ug/million cells) for 30 min at 20oC. DyLight 488 conjugated goat anti-rabbit IgG (5-10 ug/million cells) was used as secondary antibody for 30 minutes at 20oC. Isotype control antibody (Green line) was rabbit IgG (1 ug/million cells) used under the same conditions. Unlabelled sample without incubation with primary antibody and secondary antibody (Red line) was used as a blank control.
Flow Cytometry analysis of NIH3T3 cells using anti-UBE2A/UBE2B antibody. Overlay histogram showing NIH3T3 cells stained with (Blue line). To facilitate intracellular staining, cells were fixed with 4% paraformaldehyde and permeabilized with permeabilization buffer. The cells were blocked with 10% normal goat serum. And then incubated with rabbit anti-UBE2A/UBE2B antibody (1 ug/million cells) for 30 min at 20oC. DyLight 488 conjugated goat anti-rabbit IgG (5-10 ug/million cells) was used as secondary antibody for 30 minutes at 20oC. Isotype control antibody (Green line) was rabbit IgG (1 ug/million cells) used under the same conditions. Unlabelled sample without incubation with primary antibody and secondary antibody (Red line) was used as a blank control.
Flow Cytometry analysis of PC-12 cells using anti-UBE2A/UBE2B antibody. Overlay histogram showing PC-12 cells stained with (Blue line). To facilitate intracellular staining, cells were fixed with 4% paraformaldehyde and permeabilized with permeabilization buffer. The cells were blocked with 10% normal goat serum. And then incubated with rabbit anti-UBE2A/UBE2B antibody (1 ug/million cells) for 30 min at 20oC. DyLight 488 conjugated goat anti-rabbit IgG (5-10 ug/million cells) was used as secondary antibody for 30 minutes at 20oC. Isotype control antibody (Green line) was rabbit IgG (1 ug/million cells) used under the same conditions. Unlabelled sample without incubation with primary antibody and secondary antibody (Red line) was used as a blank control.
Availability 1-2 days
Species Reactivity Human
Format Lyophilized
Host Rabbit
Clonality Polyclonal (rabbit origin)
Isotype Rabbit IgG
Purity Immunogen affinity purified
Buffer Each vial contains 4 mg Trehalose, 0.9 mg NaCl, 0.2 mg Na2HPO4.
UniProt P49459|P63146
Applications Western Blot : 0.25-0.5ug/ml
Immunohistochemistry : 2-5ug/ml
Immunofluorescence : 5ug/ml
Flow Cytometry : 1-3ug/million cells
ELISA : 0.1-0.5ug/ml
Limitations This UBE2A/UBE2B antibody is available for research use only.
Review this product on BioCompare and get a $20 Amazon gift card

Related Products

Description

UBE2A/UBE2B antibody detects ubiquitin-conjugating enzyme E2 A and ubiquitin-conjugating enzyme E2 B, encoded by the UBE2A and UBE2B genes on chromosomes Xq24 and 5q31.1, respectively. UBE2A/UBE2B antibody is used to study these highly homologous enzymes, both members of the E2 ubiquitin-conjugating enzyme family that catalyze the transfer of ubiquitin from E1 activating enzymes to E3 ligases. Their high sequence similarity (>90%) means many antibodies recognize both proteins. UBE2A and UBE2B act in tandem with E3 ligases to ubiquitinate histones, transcription factors, and cell cycle regulators, thereby controlling DNA repair, spermatogenesis, and chromatin dynamics.

Structurally, UBE2A and UBE2B contain a conserved ubiquitin-conjugating catalytic (UBC) domain with the active-site cysteine required for ubiquitin transfer. This cysteine forms a thioester bond with ubiquitin, enabling conjugation to lysine residues in substrate proteins. While UBE2A and UBE2B are highly similar, UBE2A has additional N-terminal extensions that regulate interactions with E3 ligases. Both enzymes partner with the E3 ligase Rad18 to facilitate DNA damage bypass by ubiquitinating PCNA (proliferating cell nuclear antigen), a key step in translesion DNA synthesis. Through this function, UBE2A and UBE2B maintain genome stability and promote cell survival following DNA damage.

UBE2A mutations are associated with intellectual disability and neurodevelopmental disorders, underscoring its role in neuronal maintenance and protein quality control. UBE2B, on the other hand, is essential for male fertility, with knockout mice exhibiting azoospermia and meiotic arrest due to defective histone ubiquitination during spermatogenesis. Their overlapping and specialized functions highlight evolutionary conservation and diversification of ubiquitin signaling. Researchers use UBE2A/UBE2B antibody to track their expression in reproductive, neurological, and DNA repair contexts.

Clinically, aberrant regulation of UBE2A/UBE2B is implicated in cancer, where altered ubiquitination disturbs cell cycle control and DNA repair fidelity. Overexpression in tumors enhances tolerance to genotoxic stress, while reduced activity promotes genomic instability. Targeting their interactions with E3 ligases is being explored therapeutically. Experimental applications of UBE2A/UBE2B antibody include western blotting for expression profiling, immunohistochemistry in testicular and brain tissue, and immunoprecipitation to analyze ubiquitination complexes. NSJ Bioreagents provides UBE2A/UBE2B antibody to enable research in DNA repair, neurobiology, reproduction, and cancer biology.

Application Notes

Optimal dilution of the UBE2A/UBE2B antibody should be determined by the researcher.

Immunogen

E.coli-derived human UBE2A/2B recombinant protein (Position: M1-C152) was used as the immunogen for the UBE2A/UBE2B antibody.

Storage

After reconstitution, the UBE2A/UBE2B antibody can be stored for up to one month at 4oC. For long-term, aliquot and store at -20oC. Avoid repeated freezing and thawing.

Cross
Bulk Quote Request Form
Name*:
Organization*:
Email*:
Phone Number*:
Catalog No.*:
Comments and Specifics(amount, formulation, etc.)*:
Validation code: Captchapackage Image


Can't read the image? click here to refresh.
    *required field

Your bulk quote request has been submitted successfully!

Please contact us if you have any questions.