• Tel: 858.663.9055
  • SeparatorEmail: info@nsjbio.com
  • Tel: 858.663.9055
  • Email: info@nsjbio.com
Home >> Antibodies >> UBC9 Antibody / UBE2I

UBC9 Antibody / UBE2I (RQ4620)

  Catalog No Formulation Size Price (USD)  
Image RQ4620 0.5mg/ml if reconstituted with 0.2ml sterile DI water 100 ug 449
Bulk quote request
Western blot testing of 1) human K562, 2) human HepG2, 3) rat kidney, 4) rat spleen, 5) rat ovary, 6) mouse spleen, 7) mouse ovary and 8) mouse liver lysate with UBC9 antibody at 0.5ug/ml. Predicted molecular weight ~18 kDa.
IHC staining of FFPE human placenta with UBC9 antibody at 1ug/ml. HIER: boil tissue sections in pH6, 10mM citrate buffer, for 10-20 min followed by cooling at RT for 20 min.
IHC staining of FFPE human glioma with UBC9 antibody at 1ug/ml. HIER: boil tissue sections in pH6, 10mM citrate buffer, for 10-20 min followed by cooling at RT for 20 min.
IHC staining of FFPE human lung cancer with UBC9 antibody at 1ug/ml. HIER: boil tissue sections in pH6, 10mM citrate buffer, for 10-20 min followed by cooling at RT for 20 min.
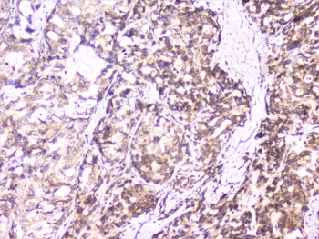
IHC staining of FFPE human stomach cancer with UBC9 antibody at 1ug/ml. HIER: boil tissue sections in pH6, 10mM citrate buffer, for 10-20 min followed by cooling at RT for 20 min.
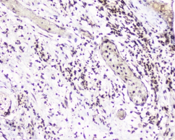
IHC staining of FFPE human appendicitis with UBC9 antibody at 1ug/ml. HIER: boil tissue sections in pH6, 10mM citrate buffer, for 10-20 min followed by cooling at RT for 20 min.
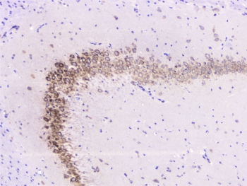
IHC staining of FFPE mouse brain with UBC9 antibody at 1ug/ml. HIER: boil tissue sections in pH6, 10mM citrate buffer, for 10-20 min followed by cooling at RT for 20 min.
IHC staining of FFPE rat brain with UBC9 antibody at 1ug/ml. HIER: boil tissue sections in pH6, 10mM citrate buffer, for 10-20 min followed by cooling at RT for 20 min.
IHC staining of FFPE rat lung with UBC9 antibody at 1ug/ml. HIER: boil tissue sections in pH6, 10mM citrate buffer, for 10-20 min followed by cooling at RT for 20 min.
Availability 1-3 business days
Species Reactivity Human, Mouse, Rat
Format Antigen affinity purified
Host Rabbit
Clonality Polyclonal (rabbit origin)
Isotype Rabbit IgG
Purity Antigen affinity purified
Buffer Lyophilized from 1X PBS with 2% Trehalose and 0.025% sodium azide
UniProt P63279
Localization Nuclear, cytoplasmic
Applications Western Blot : 0.5-1ug/ml
IHC (FFPE) : 1-2ug/ml
Review this product on BioCompare and get a $20 Amazon gift card

Related Products

  • Applications : WB, ELISA
    Reactivity : Human, Mouse
  • Applications : WB, IP
    Reactivity : Human, Mouse, Rat
  • Applications : WB, IHC, ELISA
    Reactivity : Human
    Pred. Reactivity : Chicken, Mouse, Rat, Xenopus, Zebrafish
  • Applications : WB, IHC, ICC, ELISA (peptide)
    Reactivity : Human, Mouse, Rat
    Pred. Reactivity : Dog
  • Applications : WB, IHC, ICC, ELISA (peptide)
    Reactivity : Human, Mouse, Rat
    Pred. Reactivity : Dog
  • Applications : WB, IHC-P, IF, FACS, Direct ELISA
    Reactivity : Human, Mouse, Rat
  • Applications : WB
    Reactivity : Zebrafish

Description

SUMO-conjugating enzyme UBC9 (UBE2I), also called UBC9, is a protein that in humans is encoded by the UBE2I gene. This gene encodes a member of the E2 ubiquitin-conjugating enzyme family. It is mapped to 16p13.3. UBC9 could fully complement the mutant phenotype of a yeast ubc9 mutant strain. This gene may play a similar role via interaction with WT1, which is able to impose a block to cell cycle progression in eukaryotic cells. What�s more, it could support the growth of yeast ubc9 temperature-sensitive mutants at nonpermissive temperatures, indicating that the gene is a functional homolog of yeast ubc9. UBC9 is specifically associated with FHIT, such as FHIT may be involved in cell cycle control through its interaction with UBC9.

Application Notes

Optimal dilution of the UBC9 antibody should be determined by the researcher.

Immunogen

Amino acids NIQDPAQAEAYTIYCQNRVEYEKRVRAQAKKFAPS were used as the immunogen for the UBC9 antibody.

Storage

After reconstitution, the UBC9 antibody can be stored for up to one month at 4oC. For long-term, aliquot and store at -20oC. Avoid repeated freezing and thawing.

Cross
Bulk Quote Request Form
Name*:
Organization*:
Email*:
Phone Number*:
Catalog No.*:
Comments and Specifics(amount, formulation, etc.)*:
Validation code: Captchapackage Image


Can't read the image? click here to refresh.
    *required field

Your bulk quote request has been submitted successfully!

Please contact us if you have any questions.