• Tel: 858.663.9055
  • SeparatorEmail: info@nsjbio.com
  • Tel: 858.663.9055
  • Email: info@nsjbio.com
Home >> Antibodies >> UBA2 Antibody / SUMO-activating enzyme subunit 2 / SAE2

UBA2 Antibody / SUMO-activating enzyme subunit 2 / SAE2 (RQ4241)

  Catalog No Formulation Size Price (USD)  
Image RQ4241 0.5mg/ml if reconstituted with 0.2ml sterile DI water 100 ug 449
Bulk quote request
Western blot testing of human 1) HeLa 2) placenta, 3) MCF7, 4) A549, 5) SK-OV-3, 6) 22RV1, 7) A431 and 8) COLO320 lysate with UBA2 antibody at 0.5ug/ml. Predicted molecular weight: ~72 kDa but routinely observed at ~90 kDa.
Western blot testing of rat 1) brain 2) lung, 3) liver and mouse 4) brain, 5) lung, 6) liver, 7) testis lysate with UBA2 antibody at 0.5ug/ml. Predicted molecular weight: ~72 kDa but routinely observed at ~90 kDa.
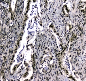
IHC testing of FFPE human colon cancer tissue with UBA2 antibody at 1ug/ml. Required HIER: steam section in pH6 citrate buffer for 20 min and allow to cool prior to staining.
IHC testing of FFPE human breast cancer tissue with UBA2 antibody at 1ug/ml. Required HIER: steam section in pH6 citrate buffer for 20 min and allow to cool prior to staining.
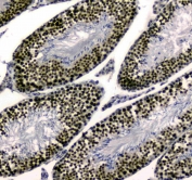
IHC testing of FFPE mouse testis tissue with UBA2 antibody at 1ug/ml. Required HIER: steam section in pH6 citrate buffer for 20 min and allow to cool prior to staining.
IHC testing of FFPE rat testis tissue with UBA2 antibody at 1ug/ml. Required HIER: steam section in pH6 citrate buffer for 20 min and allow to cool prior to staining.
IF/ICC staining of FFPE human A431 cells with UBA2 antibody (green) at 2ug/ml and DAPI nuclear stain (blue). Required HIER: steam section in pH6 citrate buffer for 20 min and allow to cool prior to staining.
Flow cytometry testing of human A431 cells with UBA2 antibody at 1ug/10^6 cells (blocked with goat sera); Red=cells alone, Green=isotype control, Blue= UBA2 antibody.
Availability 1-3 business days
Species Reactivity Human, Mouse, Rat
Format Antigen affinity purified
Host Rabbit
Clonality Polyclonal (rabbit origin)
Isotype Rabbit IgG
Purity Antigen affinity purified
Buffer Lyophilized from 1X PBS with 2% Trehalose and 0.025% sodium azide
UniProt Q9UBT2
Localization Nuclear
Applications Western Blot : 0.5-1ug/ml
IHC (FFPE) : 1-2ug/ml
IF/ICC (FFPE) : 2-4ug/ml
Flow Cytometry : 1-3ug/10^6 cells
Direct ELISA : 0.1-0.5ug/ml
Limitations This UBA2 antibody is available for research use only.
Review this product on BioCompare and get a $20 Amazon gift card

Related Products

Description

Ubiquitin-like 1-activating enzyme E1B (UBLE1B) also known as SUMO-activating enzyme subunit 2 (SAE2) is an enzyme that in humans is encoded by the UBA2 gene. Posttranslational modification of proteins by the addition of the small protein SUMO, or sumoylation, regulates protein structure and intracellular localization. SAE1 and UBA2 form a heterodimer that functions as a SUMO-activating enzyme for the sumoylation of proteins

Application Notes

Optimal dilution of the UBA2 antibody should be determined by the researcher.

Immunogen

A recombinant human protein corresponding to amino acids E449-K564 was used as the immunogen for the SAE2 antibody.

Storage

After reconstitution, the UBA2 antibody can be stored for up to one month at 4oC. For long-term, aliquot and store at -20oC. Avoid repeated freezing and thawing.

Cross
Bulk Quote Request Form
Name*:
Organization*:
Email*:
Phone Number*:
Catalog No.*:
Comments and Specifics(amount, formulation, etc.)*:
Validation code: Captchapackage Image


Can't read the image? click here to refresh.
    *required field

Your bulk quote request has been submitted successfully!

Please contact us if you have any questions.