• Tel: 858.663.9055
  • SeparatorEmail: info@nsjbio.com
  • Tel: 858.663.9055
  • Email: info@nsjbio.com
Home >> Antibodies >> U1 snRNP C Antibody / SNRPC

U1 snRNP C Antibody / SNRPC (RQ7736)

  Catalog No Formulation Size Price (USD)  
Image RQ7736 0.5mg/ml if reconstituted with 0.2ml sterile DI water 100 ug 449
Bulk quote request
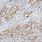
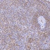
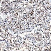
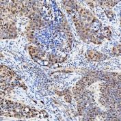
IHC staining of FFPE human prostate adenocarcinoma tissue with U1 snRNP C antibody. HIER: boil tissue sections in pH8 EDTA for 20 min and allow to cool before testing.
IHC staining of FFPE human glioblastoma tissue with U1 snRNP C antibody. HIER: boil tissue sections in pH8 EDTA for 20 min and allow to cool before testing.
IHC staining of FFPE human spleen tissue with U1 snRNP C antibody. HIER: boil tissue sections in pH8 EDTA for 20 min and allow to cool before testing.
IHC staining of FFPE human urothelial carcinoma tissue with U1 snRNP C antibody. HIER: boil tissue sections in pH8 EDTA for 20 min and allow to cool before testing.
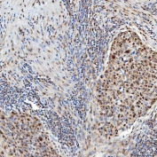
IHC staining of FFPE human thyroid papillary carcinoma tissue with U1 snRNP C antibody. HIER: boil tissue sections in pH8 EDTA for 20 min and allow to cool before testing.
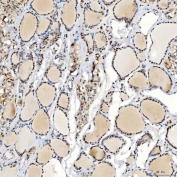
IHC staining of FFPE human right renal oncocytoma tissue with U1 snRNP C antibody. HIER: boil tissue sections in pH8 EDTA for 20 min and allow to cool before testing.
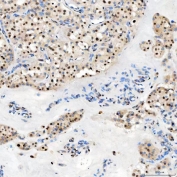
IHC staining of FFPE human lung adenocarcinoma tissue with U1 snRNP C antibody. HIER: boil tissue sections in pH8 EDTA for 20 min and allow to cool before testing.
IHC staining of FFPE human appendix adenocarcinoma tissue with U1 snRNP C antibody. HIER: boil tissue sections in pH8 EDTA for 20 min and allow to cool before testing.
IHC staining of FFPE human esophageal squamous carcinoma tissue with U1 snRNP C antibody. HIER: boil tissue sections in pH8 EDTA for 20 min and allow to cool before testing.
IHC staining of FFPE human colon adenocarcinoma tissue with U1 snRNP C antibody. HIER: boil tissue sections in pH8 EDTA for 20 min and allow to cool before testing.
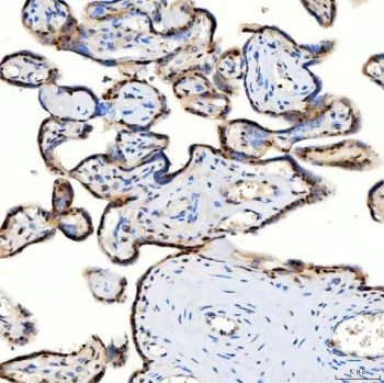
IHC staining of FFPE human placental tissue with U1 snRNP C antibody. HIER: boil tissue sections in pH8 EDTA for 20 min and allow to cool before testing.
Immunofluorescent staining of FFPE human breast cancer tissue with U1 snRNP C antibody (green) and DAPI nuclear stain (blue). HIER: steam section in pH8 EDTA buffer for 20 min.
Immunofluorescent staining of FFPE human A549 cells with U1 snRNP C antibody (red) and Beta Tubulin mAb (green). HIER: steam section in pH6 citrate buffer for 20 min.
Western blot testing of 1) human HEL, 2) human HepG2 and 3) mouse thymus tissue lysate with U1 snRNP C antibody. Predicted molecular weight ~17 kDa.
Flow cytometry testing of human ThP-1 cells with U1 snRNP C antibody at 1ug/million cells (blocked with goat sera); Red=cells alone, Green=isotype control, Blue= U1 snRNP C antibody.
Availability 1-3 business days
Species Reactivity Human, Mouse, Rat
Format Antigen affinity purified
Host Rabbit
Clonality Polyclonal (rabbit origin)
Isotype Rabbit IgG
Purity Antigen affinity purified
Buffer Lyophilized from 1X PBS with 2% Trehalose
UniProt P09234
Localization Nuclear
Applications Western Blot : 0.5-1ug/ml
Immunohistochemistry (FFPE) : 2-5ug/ml
Immunofluorescence : 5ug/ml
Flow Cytometry : 1-3ug/million cells
Direct ELISA : 0.1-0.5ug/ml
Limitations This U1 snRNP C antibody is available for research use only.
Review this product on BioCompare and get a $20 Amazon gift card

Description

U1 small nuclear ribonucleoprotein C is a protein that in humans is encoded by the SNRPC gene. This gene encodes one of the specific protein components of the U1 small nuclear ribonucleoprotein (snRNP) particle required for the formation of the spliceosome. The encoded protein participates in the processing of nuclear precursor messenger RNA splicing. snRNP particles are attacked by autoantibodies frequently produced by patients with connective tissue diseases. The genome contains several pseudogenes of this functional gene. Alternative splicing results in a non-coding transcript variant.

Application Notes

Optimal dilution of the U1 snRNP C antibody should be determined by the researcher.

Immunogen

E. coli-derived recombinant human protein (amino acids M1-R159) was used as the immunogen for the U1 snRNP C antibody.

Storage

After reconstitution, the U1 snRNP C antibody can be stored for up to one month at 4oC. For long-term, aliquot and store at -20oC. Avoid repeated freezing and thawing.

Cross
Bulk Quote Request Form
Name*:
Organization*:
Email*:
Phone Number*:
Catalog No.*:
Comments and Specifics(amount, formulation, etc.)*:
Validation code: Captchapackage Image


Can't read the image? click here to refresh.
    *required field

Your bulk quote request has been submitted successfully!

Please contact us if you have any questions.