• Tel: 858.663.9055
  • SeparatorEmail: info@nsjbio.com
  • Tel: 858.663.9055
  • Email: info@nsjbio.com
Home >> Antibodies >> TYRO3 Antibody / TYRO3 protein tyrosine kinase

TYRO3 Antibody / TYRO3 protein tyrosine kinase (FY12193)

  Catalog No Formulation Size Price (USD)  
Image FY12193 Adding 0.2 ml of distilled water will yield a concentration of 500 ug/ml 100 ug 449
Bulk quote request
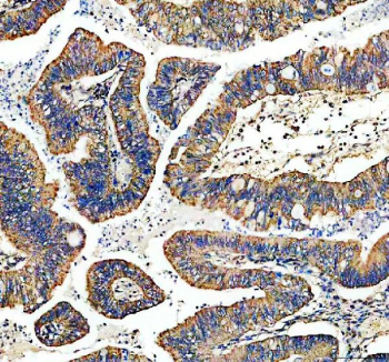
Immunohistochemical staining of TYRO3 using anti-TYRO3 antibody. TYRO3 was detected in a paraffin-embedded section of human colon cancer tissue. Heat mediated antigen retrieval was performed in EDTA buffer (pH 8.0, epitope retrieval solution). The tissue section was blocked with 10% goat serum. The tissue section was then incubated with 2 ug/ml rabbit anti-TYRO3 antibody overnight at 4oC. Peroxidase Conjugated Goat Anti-rabbit IgG was used as secondary antibody and incubated for 30 minutes at 37oC. The tissue section was developed using an HRP secondary and DAB substrate.
Western blot analysis of TYRO3 using anti-TYRO3 antibody. Electrophoresis was performed on a 8% SDS-PAGE gel at 80V (Stacking gel) / 120V (Resolving gel) for 2 hours. Lane 1: human Hela whole cell lysates, Lane 2: human K562 whole cell lysates, Lane 3: human Caco-2 whole cell lysates, Lane 4: human REH whole cell lysates, Lane 5: rat C6 whole cell lysates, Lane 6: mouse Neuro-2a whole cell lysates. After electrophoresis, proteins were transferred to a nitrocellulose membrane at 150 mA for 50-90 minutes. Blocked the membrane with 5% non-fat milk/TBS for 1.5 hour at RT. The membrane was incubated with rabbit anti-TYRO3 antibody at 0.5 ug/ml overnight at 4oC, then washed with TBS-0.1%Tween 3 times with 5 minutes each and probed with a goat anti-rabbit IgG-HRP secondary antibody at a dilution of 1:5000 for 1.5 hour at RT. The signal was developed using an ECL Plus Western Blotting Substrate. The expected band size for TYRO3 is at 97 kDa but may be observed at higher molecular weights as a differentially glycosylated doublet.
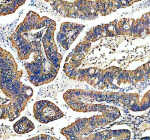
Immunohistochemical staining of TYRO3 using anti-TYRO3 antibody. TYRO3 was detected in a paraffin-embedded section of human stomach cancer tissue. Heat mediated antigen retrieval was performed in EDTA buffer (pH 8.0, epitope retrieval solution). The tissue section was blocked with 10% goat serum. The tissue section was then incubated with 2 ug/ml rabbit anti-TYRO3 antibody overnight at 4oC. Peroxidase Conjugated Goat Anti-rabbit IgG was used as secondary antibody and incubated for 30 minutes at 37oC. The tissue section was developed using an HRP secondary and DAB substrate.
Availability 1-2 days
Species Reactivity Human, Mouse, Rat
Format Lyophilized
Host Rabbit
Clonality Polyclonal (rabbit origin)
Isotype Rabbit IgG
Purity Immunogen affinity purified
Buffer Each vial contains 4 mg Trehalose, 0.9 mg NaCl, 0.2 mg Na2HPO4.
UniProt Q06418
Applications Western Blot : 0.25-0.5ug/ml
Immunohistochemistry : 2-5ug/ml
ELISA : 0.1-0.5ug/ml
Limitations This TYRO3 antibody is available for research use only.
Review this product on BioCompare and get a $20 Amazon gift card

Description

TYRO3 antibody detects TYRO3 protein tyrosine kinase, encoded by the TYRO3 gene on chromosome 15q15.1. TYRO3 antibody is widely applied in studies of receptor tyrosine kinase signaling, cell survival, and immune regulation. TYRO3 is part of the TAM receptor family, which also includes AXL and MERTK. It functions as a receptor for ligands such as Gas6 and Protein S, activating intracellular signaling pathways that regulate cell proliferation, survival, phagocytosis, and immune modulation. Expression is broad, with high levels in brain, reproductive tissues, and immune cells.

Structurally, TYRO3 is a type I transmembrane protein with extracellular immunoglobulin-like domains that mediate ligand binding, followed by fibronectin type III domains, a single transmembrane helix, and an intracellular tyrosine kinase domain. Upon ligand binding, TYRO3 undergoes autophosphorylation and recruits signaling molecules including PI3K, GRB2, and SRC family kinases. These interactions activate pathways such as PI3K-AKT and MAPK, promoting survival and proliferation.

Functionally, TYRO3 contributes to tissue homeostasis by supporting cell survival, clearance of apoptotic cells, and regulation of immune responses. In neurons, it promotes survival and myelination. In immune cells, TYRO3 suppresses excessive inflammatory responses, maintaining tolerance and preventing autoimmunity. In reproductive biology, it supports spermatogenesis and fertility. Knockout models show neurological defects, immune dysregulation, and reproductive impairment. Researchers use TYRO3 antibody to study tyrosine kinase signaling, neural survival, and immune regulation.

Clinically, TYRO3 dysregulation is linked to cancer, autoimmune disease, and neurodegeneration. Overexpression of TYRO3 supports survival and drug resistance in cancers such as melanoma, glioblastoma, and breast cancer. In contrast, reduced TYRO3 signaling contributes to multiple sclerosis and lupus, where clearance of apoptotic cells is impaired. TYRO3 also has neuroprotective roles, with reduced activity associated with Parkinson's and Alzheimer's disease. NSJ Bioreagents offers TYRO3 antibody as a validated reagent for oncology, neurobiology, and immunology research.

Experimentally, TYRO3 antibody is applied in western blotting to detect the ~140 kDa protein, in immunohistochemistry to assess expression in tumors or brain tissue, and in immunofluorescence microscopy to study receptor localization. Immunoprecipitation with TYRO3 antibody reveals signaling complexes with ligands and kinases, providing insight into downstream pathways.

Application Notes

Optimal dilution of the TYRO3 antibody should be determined by the researcher.

Immunogen

E.coli-derived human TYRO3 recombinant protein (Position: A48-Q882) was used as the immunogen for the TYRO3 antibody.

Storage

After reconstitution, the TYRO3 antibody can be stored for up to one month at 4oC. For long-term, aliquot and store at -20oC. Avoid repeated freezing and thawing.

Cross
Bulk Quote Request Form
Name*:
Organization*:
Email*:
Phone Number*:
Catalog No.*:
Comments and Specifics(amount, formulation, etc.)*:
Validation code: Captchapackage Image


Can't read the image? click here to refresh.
    *required field

Your bulk quote request has been submitted successfully!

Please contact us if you have any questions.