• Tel: 858.663.9055
  • SeparatorEmail: info@nsjbio.com
  • Tel: 858.663.9055
  • Email: info@nsjbio.com
Home >> Antibodies >> TWSG1 Antibody / Twisted gastrulation protein homolog 1

TWSG1 Antibody / Twisted gastrulation protein homolog 1 (FY13220)

  Catalog No Formulation Size Price (USD)  
Image FY13220 Adding 0.2 ml of distilled water will yield a concentration of 500 ug/ml 100 ug 439
Bulk quote request
Immunofluorescent staining of TWSG1 using anti-TWSG1 antibody (red). TWSG1 was detected in a paraffin-embedded section of human bladder cancer tissue. Heat mediated antigen retrieval was performed in EDTA buffer (pH 8.0, epitope retrieval solution). The tissue section was blocked with 10% goat serum. The tissue section was then incubated with 5 ug/ml rabbit anti-TWSG1 antibody overnight at 4oC. Cy3 Conjugated Goat Anti-Rabbit IgG was used as secondary antibody at 1:500 dilution and incubated for 30 minutes at 37oC. The section was counterstained with DAPI nuclear stain (blue). Visualize using a fluorescence microscope and filter sets appropriate for the label used.
Western blot analysis of TWSG1 using anti-TWSG1 antibody. Electrophoresis was performed on a 12% SDS-PAGE gel at 80V (Stacking gel) / 120V (Resolving gel) for 2 hours. Lane 1: human whole cell lysates, Lane 2: human SiHa whole cell lysates, Lane 3: human U251 whole cell lysates, Lane 4: rat lung tissue lysates, Lane 5: mouse lung tissue lysates. After electrophoresis, proteins were transferred to a nitrocellulose membrane at 150 mA for 50-90 minutes. Blocked the membrane with 5% non-fat milk/TBS for 1.5 hour at RT. The membrane was incubated with rabbit anti-TWSG1 antibody at 0.5 ug/ml overnight at 4oC, then washed with TBS-0.1%Tween 3 times with 5 minutes each and probed with a goat anti-rabbit IgG-HRP secondary antibody at a dilution of 1:5000 for 1.5 hour at RT. The signal was developed using an ECL Plus Western Blotting Substrate. Western blot detection of TWSG1 shows a band at ~33 kDa with a tissue-specific doublet in mouse and rat lung. Although the predicted mass is ~25-26 kDa, TWSG1 commonly migrates larger due to N-glycosylation and maturation, yielding multiple closely spaced species.
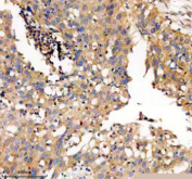
Immunohistochemical staining of TWSG1 using anti-TWSG1 antibody. TWSG1 was detected in a paraffin-embedded section of human bladder cancer tissue. Heat mediated antigen retrieval was performed in EDTA buffer (pH 8.0, epitope retrieval solution). The tissue section was blocked with 10% goat serum. The tissue section was then incubated with 2 ug/ml rabbit anti-TWSG1 antibody overnight at 4oC. Peroxidase Conjugated Goat Anti-rabbit IgG was used as secondary antibody and incubated for 30 minutes at 37oC. The tissue section was developed using an HRP secondary and DAB substrate.
Flow Cytometry analysis of RT4 cells using anti-TWSG1 antibody. Overlay histogram showing RT4 cells stained with (Blue line). The cells were fixed with 4% paraformaldehyde and blocked with 10% normal goat serum. And then incubated with rabbit anti-TWSG1 antibody (1 ug/million cells) for 30 min at 20oC. DyLight 488 conjugated goat anti-rabbit IgG (5-10 ug/million cells) was used as secondary antibody for 30 minutes at 20oC. Isotype control antibody (Green line) was rabbit IgG (1 ug/million cells) used under the same conditions. Unlabelled sample without incubation with primary antibody and secondary antibody (Red line) was used as a blank control.
Availability 1-2 days
Species Reactivity Human, Mouse, Rat
Format Lyophilized
Clonality Polyclonal (rabbit origin)
Isotype Rabbit IgG
Purity Immunogen affinity purified
Buffer Each vial contains 4 mg Trehalose, 0.9 mg NaCl, 0.2 mg Na2HPO4.
UniProt Q9GZX9
Localization Cytoplasm
Applications Western Blot : 0.25-0.5ug/ml
Immunohistochemistry : 2-5ug/ml
Immunofluorescence : 5ug/ml
Flow Cytometry : 1-3ug/million cells
ELISA : 0.1-0.5ug/ml
Limitations This TWSG1 antibody is available for research use only.
Review this product on BioCompare and get a $20 Amazon gift card

Description

TWSG1 antibody detects Twisted gastrulation protein homolog 1, a secreted modulator of bone morphogenetic protein (BMP) signaling that plays essential roles in embryonic development, tissue morphogenesis, and extracellular matrix regulation. The UniProt recommended name is Twisted gastrulation protein homolog 1 (TWSG1). This glycoprotein interacts with BMP ligands and antagonists to fine-tune morphogen gradients during organogenesis and cellular differentiation.

Functionally, TWSG1 antibody identifies a 223-amino-acid secreted protein that forms complexes with Chordin and BMPs (including BMP2, BMP4, and BMP7), modulating the bioavailability and receptor binding of BMP ligands. TWSG1 can either inhibit or enhance BMP signaling depending on tissue context, concentration, and association with proteases such as tolloid metalloproteinases. It contributes to dorsoventral patterning, skeletal formation, and hematopoietic stem cell maintenance by maintaining optimal BMP activity levels during development.

The TWSG1 gene is located on chromosome 18p11.21 and is expressed in a variety of embryonic and adult tissues including brain, kidney, bone, and reproductive organs. Expression is dynamically regulated by growth factors, Wnt signaling, and retinoic acid, ensuring coordinated morphogenic signaling across developing tissues.

Pathologically, mutations or reduced expression of TWSG1 cause craniofacial malformations and developmental defects due to disrupted BMP gradients. Altered TWSG1 signaling has also been implicated in cancer, fibrosis, and abnormal bone remodeling. Overexpression may contribute to tumor progression by influencing extracellular matrix deposition and epithelial-mesenchymal transition. Research using TWSG1 antibody supports studies in developmental biology, morphogen signaling, and cancer research.

TWSG1 antibody is validated for western blotting, immunohistochemistry, and ELISA to detect secreted morphogen modulators. NSJ Bioreagents provides TWSG1 antibody reagents optimized for studies in BMP signaling, embryogenesis, and tissue differentiation.

Structurally, Twisted gastrulation protein homolog 1 contains two cysteine-rich domains stabilized by disulfide bonds, essential for ligand binding and signaling modulation. These domains enable interactions with both BMPs and their inhibitors, allowing TWSG1 to function as a molecular switch in morphogen networks. This antibody enables exploration of TWSG1's role in extracellular signaling, organ patterning, and skeletal formation.

Application Notes

Optimal dilution of the TWSG1 antibody should be determined by the researcher.

Immunogen

E.coli-derived human TWSG1 recombinant protein (Position: E22-A199) was used as the immunogen for the TWSG1 antibody.

Storage

After reconstitution, the TWSG1 antibody can be stored for up to one month at 4oC. For long-term, aliquot and store at -20oC. Avoid repeated freezing and thawing.

Cross
Bulk Quote Request Form
Name*:
Organization*:
Email*:
Phone Number*:
Catalog No.*:
Comments and Specifics(amount, formulation, etc.)*:
Validation code: Captchapackage Image


Can't read the image? click here to refresh.
    *required field

Your bulk quote request has been submitted successfully!

Please contact us if you have any questions.