• Tel: 858.663.9055
  • SeparatorEmail: info@nsjbio.com
  • Tel: 858.663.9055
  • Email: info@nsjbio.com
Home >> Antibodies >> TWIST1/2 Antibody

TWIST1/2 Antibody (RQ7509)

  Catalog No Formulation Size Price (USD)  
Image RQ7509 0.5mg/ml if reconstituted with 0.2ml sterile DI water 100 ug 449
Bulk quote request
IHC staining of FFPE rat brain tissue with TWIST1/2 antibody. HIER: boil tissue sections in pH8 EDTA for 20 min and allow to cool before testing.
IHC staining of FFPE mouse brain tissue with TWIST1/2 antibody. HIER: boil tissue sections in pH8 EDTA for 20 min and allow to cool before testing.
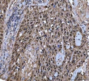
IHC staining of FFPE human penis squamous cell carcinoma tissue with TWIST1/2 antibody. HIER: boil tissue sections in pH8 EDTA for 20 min and allow to cool before testing.
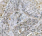
IHC staining of FFPE human lung cancer tissue with TWIST1/2 antibody. HIER: boil tissue sections in pH8 EDTA for 20 min and allow to cool before testing.
IHC staining of FFPE human lung squamous cell carcinoma tissue with TWIST1/2 antibody. HIER: boil tissue sections in pH8 EDTA for 20 min and allow to cool before testing.
Western blot testing of 1) rat brain, 2) rat ovary, 3) mouse brain and 4) mouse ovary tissue lysate with TWIST1/2 antibody. Predicted molecular weight ~21 kDa, commonly observed at 25-30 kDa.
Flow cytometry testing of human ThP-1 cells with TWIST1/2 antibody at 1ug/million cells (blocked with goat sera); Red=cells alone, Green=isotype control, Blue= TWIST1/2 antibody.
Flow cytometry testing of mouse RAW264.7 cells with TWIST1/2 antibody at 1ug/million cells (blocked with goat sera); Red=cells alone, Green=isotype control, Blue= TWIST1/2 antibody.
Flow cytometry testing of rat RH35 cells with TWIST1/2 antibody at 1ug/million cells (blocked with goat sera); Red=cells alone, Green=isotype control, Blue= TWIST1/2 antibody.
Availability 1-3 business days
Species Reactivity Human, Mouse, Rat
Format Antigen affinity purified
Host Rabbit
Clonality Polyclonal (rabbit origin)
Isotype Rabbit IgG
Purity Antigen affinity purified
Buffer Lyophilized from 1X PBS with 2% Trehalose
UniProt Q15672 , Q8WVJ9
Localization Nuclear
Applications Western Blot : 0.5-1ug/ml
Immunohistochemistry (FFPE) : 2-5ug/ml
Flow Cytometry : 1-3ug/million cells
Limitations This TWIST1/2 antibody is available for research use only.
Review this product on BioCompare and get a $20 Amazon gift card

Related Products

Description

Twist-related protein 1 (TWIST1) also known as class A basic helix-loop-helix protein 38 (bHLHa38) is a basic helix-loop-helix transcription factor that in humans is encoded by the TWIST1 gene. This gene encodes a basic helix-loop-helix (bHLH) transcription factor that plays an important role in embryonic development. The encoded protein forms both homodimers and heterodimers that bind to DNA E box sequences and regulate the transcription of genes involved in cranial suture closure during skull development. This protein may also regulate neural tube closure, limb development and brown fat metabolism. This gene is hypermethylated and overexpressed in multiple human cancers, and the encoded protein promotes tumor cell invasion and metastasis, as well as metastatic recurrence. Mutations in this gene cause Saethre-Chotzen syndrome in human patients, which is characterized by craniosynostosis, ptosis and hypertelorism.

Application Notes

Optimal dilution of the TWIST1/2 antibody should be determined by the researcher.

Immunogen

Amino acids KIIPTLPSDKLSKIQTLKLAARY from the human protein were used as the immunogen for the TWIST1/2 antibody.

Storage

After reconstitution, the TWIST1/2 antibody can be stored for up to one month at 4oC. For long-term, aliquot and store at -20oC. Avoid repeated freezing and thawing.

Cross
Bulk Quote Request Form
Name*:
Organization*:
Email*:
Phone Number*:
Catalog No.*:
Comments and Specifics(amount, formulation, etc.)*:
Validation code: Captchapackage Image


Can't read the image? click here to refresh.
    *required field

Your bulk quote request has been submitted successfully!

Please contact us if you have any questions.