• Tel: 858.663.9055
  • SeparatorEmail: info@nsjbio.com
  • Tel: 858.663.9055
  • Email: info@nsjbio.com
Home >> Antibodies >> TUSC1 Antibody / Tumor suppressor candidate 1

TUSC1 Antibody / Tumor suppressor candidate 1 (FY12146)

  Catalog No Formulation Size Price (USD)  
Image FY12146 Adding 0.2 ml of distilled water will yield a concentration of 500 ug/ml 100 ug 449
Bulk quote request
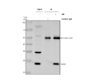
Immunoprecipitating TUSC1 in Hela whole cell lysate. Western blot analysis of TUSC1 using anti-TUSC1 antibody. Lane 1: Hela whole cell lysates (30ug), Lane 2: Rabbit control IgG instead of anti-TUSC1 antibody in Hela whole cell lysate, Lane 3: anti-TUSC1 antibody (2ug) + Hela whole cell lysate (500ug). After electrophoresis, proteins were transferred to a membrane. Then the membrane was incubated with rabbit anti-TUSC1 antibody at a dilution of 0.5 ug/ml and probed with a goat anti-rabbit IgG-HRP secondary antibody. The signal is developed using ECL Plus Western Blotting Substrate. A specific band was detected for TUSC1 at approximately 25 kDa. The expected band size for TUSC1 is at 23 kDa.
Western blot analysis of TUSC1 using anti-TUSC1 antibody. Electrophoresis was performed on a 12% SDS-PAGE gel at 80V (Stacking gel) / 120V (Resolving gel) for 2 hours. Lane 1: human HEL whole cell lysates, Lane 2: human Hela whole cell lysates, Lane 3: human THP-1 whole cell lysates, Lane 4: human U2OS whole cell lysates, Lane 5: rat testis tissue lysates, Lane 6: mouse testis tissue lysates. After electrophoresis, proteins were transferred to a nitrocellulose membrane at 150 mA for 50-90 minutes. Blocked the membrane with 5% non-fat milk/TBS for 1.5 hour at RT. The membrane was incubated with rabbit anti-TUSC1 antibody at 0.5 ug/ml overnight at 4oC, then washed with TBS-0.1%Tween 3 times with 5 minutes each and probed with a goat anti-rabbit IgG-HRP secondary antibody at a dilution of 1:5000 for 1.5 hour at RT. The signal was developed using an ECL Plus Western Blotting Substrate. The expected band size for TUSC1 is at 23 kDa.
Availability 1-2 days
Species Reactivity Human, Mouse, Rat
Format Lyophilized
Host Rabbit
Clonality Polyclonal (rabbit origin)
Isotype Rabbit IgG
Purity Immunogen affinity purified
Buffer Each vial contains 4 mg Trehalose, 0.9 mg NaCl, 0.2 mg Na2HPO4.
UniProt Q2TAM9
Applications Western Blot : 0.25-0.5ug/ml
Immunoprecipitation : 2-4ug/500ug of lysate
ELISA : 0.1-0.5ug/ml
Limitations This TUSC1 antibody is available for research use only.
Review this product on BioCompare and get a $20 Amazon gift card

Description

TUSC1 antibody detects Tumor suppressor candidate 1, encoded by the TUSC1 gene on chromosome 9p21. TUSC1 antibody is widely used to study this protein, originally identified in lung cancer research as part of a genomic region frequently deleted in tumors. Although not fully characterized biochemically, TUSC1 is strongly implicated as a tumor suppressor, participating in cell cycle regulation, apoptosis, and maintenance of genomic stability. Its expression pattern across tissues and frequent inactivation in cancers highlight its importance in normal growth control and oncogenesis.

Structurally, TUSC1 encodes a small cytoplasmic and nuclear protein with predicted coiled-coil regions that may serve as scaffolding modules. These domains suggest potential roles in mediating protein-protein interactions and stabilizing regulatory complexes. Despite lacking enzymatic motifs, TUSC1 likely influences signaling pathways indirectly by modulating the activity of other proteins or transcriptional regulators. Subcellular fractionation studies show that TUSC1 can shuttle between the nucleus and cytoplasm, further broadening its regulatory potential.

Functionally, TUSC1 acts as a negative regulator of cell growth. Studies demonstrate that cells lacking TUSC1 exhibit increased proliferation, while reintroduction suppresses colony formation in vitro and tumor growth in xenograft models. TUSC1 has been associated with activation of apoptotic pathways, possibly by facilitating mitochondrial apoptotic signaling and caspase activation. Its ability to influence both cell cycle and apoptosis highlights its tumor suppressor characteristics. Researchers use TUSC1 antibody to investigate expression changes between normal and malignant tissues, particularly in lung, ovarian, renal, and brain cancers.

Clinically, deletions or reduced expression of TUSC1 are observed in non-small cell lung carcinoma and multiple other tumors. Mechanistically, loss of TUSC1 often occurs through chromosomal deletion of 9p21, a locus that also contains CDKN2A, another tumor suppressor gene. Epigenetic silencing via promoter hypermethylation has been reported, adding another layer of regulation. Clinical studies suggest that TUSC1 status may correlate with prognosis, with low expression linked to more aggressive tumor phenotypes. Restoration of TUSC1 in cancer cell models increases sensitivity to chemotherapy and radiation, highlighting its therapeutic potential.

Beyond oncology, TUSC1 may also influence development and tissue homeostasis. Animal studies show tissue-specific expression during embryogenesis, suggesting developmental roles that remain underexplored. Transcriptomic data indicate potential involvement in neuronal pathways, though further research is needed. These diverse associations make TUSC1 an appealing target for continued study. NSJ Bioreagents supplies TUSC1 antibody as a reliable reagent for cancer research, molecular biology, and developmental studies.

Application Notes

Optimal dilution of the TUSC1 antibody should be determined by the researcher.

Immunogen

E.coli-derived human TUSC1 recombinant protein (Position: A54-L209) was used as the immunogen for the TUSC1 antibody.

Storage

After reconstitution, the TUSC1 antibody can be stored for up to one month at 4oC. For long-term, aliquot and store at -20oC. Avoid repeated freezing and thawing.

Cross
Bulk Quote Request Form
Name*:
Organization*:
Email*:
Phone Number*:
Catalog No.*:
Comments and Specifics(amount, formulation, etc.)*:
Validation code: Captchapackage Image


Can't read the image? click here to refresh.
    *required field

Your bulk quote request has been submitted successfully!

Please contact us if you have any questions.