• Tel: 858.663.9055
  • SeparatorEmail: info@nsjbio.com
  • Tel: 858.663.9055
  • Email: info@nsjbio.com
Home >> Antibodies >> TTLL1 Antibody / Tubulin-tyrosine ligase-like protein 1

TTLL1 Antibody / Tubulin-tyrosine ligase-like protein 1 (FY12437)

  Catalog No Formulation Size Price (USD)  
Image FY12437 Adding 0.2 ml of distilled water will yield a concentration of 500 ug/ml 100 ug 449
Bulk quote request
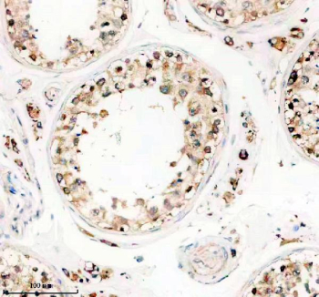
Immunohistochemical staining of TTLL1 using anti-TTLL1 antibody. TTLL1 was detected in a paraffin-embedded section of human testis tissue. Heat mediated antigen retrieval was performed in EDTA buffer (pH 8.0, epitope retrieval solution). The tissue section was blocked with 10% goat serum. The tissue section was then incubated with 2 ug/ml rabbit anti-TTLL1 antibody overnight at 4oC. Peroxidase Conjugated Goat Anti-rabbit IgG was used as secondary antibody and incubated for 30 minutes at 37oC. The tissue section was developed using an HRP secondary and DAB substrate.
Western blot analysis of TTLL1 using anti-TTLL1 antibody. Electrophoresis was performed on a 10% SDS-PAGE gel at 80V (Stacking gel) / 120V (Resolving gel) for 2 hours. Lane 1: human Jurkat whole cell lysates, Lane 2: human THP-1 whole cell lysates, Lane 3: human SH-SY5Y whole cell lysates, Lane 4: human 293T whole cell lysates, Lane 5: rat brain tissue lysates, Lane 6: rat heart tissue lysates, Lane 7: mouse brain tissue lysates, Lane 8: mouse heart tissue lysates. After electrophoresis, proteins were transferred to a nitrocellulose membrane at 150 mA for 50-90 minutes. Blocked the membrane with 5% non-fat milk/TBS for 1.5 hour at RT. The membrane was incubated with rabbit anti-TTLL1 antibody at 0.5 ug/ml overnight at 4oC, then washed with TBS-0.1%Tween 3 times with 5 minutes each and probed with a goat anti-rabbit IgG-HRP secondary antibody at a dilution of 1:5000 for 1.5 hour at RT. The signal was developed using an ECL Plus Western Blotting Substrate. The expected molecular weight of TTLL1 is ~40 kDa.
Availability 1-2 days
Species Reactivity Human, Mouse, Rat
Format Lyophilized
Host Rabbit
Clonality Polyclonal (rabbit origin)
Isotype Rabbit IgG
Purity Immunogen affinity purified
Buffer Each vial contains 4 mg Trehalose, 0.9 mg NaCl, 0.2 mg Na2HPO4.
UniProt O95922
Localization Cytoplasm
Applications Western Blot : 0.25-0.5ug/ml
Immunohistochemistry : 2-5ug/ml
ELISA : 0.1-0.5ug/ml
Limitations This TTLL1 antibody is available for research use only.
Review this product on BioCompare and get a $20 Amazon gift card

Description

The TTLL1 antibody targets Tubulin-tyrosine ligase-like protein 1, an enzyme encoded by the TTLL1 gene that catalyzes the polyglutamylation of tubulin. Tubulin-tyrosine ligase-like protein 1 modifies the C-terminal tails of alpha-tubulin, generating polyglutamate side chains that regulate microtubule stability, interactions with motor proteins, and axonal transport. The TTLL1 antibody enables researchers to study post-translational modification of microtubules and the functional specialization of the cytoskeleton in neuronal and ciliary systems.

Tubulin-tyrosine ligase-like protein 1 belongs to the tubulin tyrosine ligase-like family, a group of enzymes that mediate tubulin polyglutamylation and polyglycylation. It primarily acts on alpha-tubulin within stable microtubule arrays such as those found in neurons and cilia. The TTLL1 antibody supports visualization of enzyme expression in neuronal soma and axons, reflecting its enrichment in brain tissue and importance for neural function. Loss of TTLL1 leads to reduced tubulin polyglutamylation, defective neuronal transport, and abnormal ciliary movement.

Polyglutamylation modulates the binding of microtubule-associated proteins (MAPs) and molecular motors including kinesin and dynein. The TTLL1 antibody provides a valuable reagent for analyzing this regulatory layer of cytoskeletal control. Dysregulation of TTLL1 activity contributes to neurodegenerative and ciliopathy phenotypes due to altered microtubule organization. TTLL1-dependent modification also influences mitotic spindle assembly and chromosome segregation.

Tubulin-tyrosine ligase-like protein 1 localizes to the cytoplasm and is often concentrated at centrosomes and ciliary bases. The TTLL1 antibody supports localization studies revealing its participation in microtubule-anchoring regions. Mutations in TTLL1 have been associated with human developmental disorders involving cerebellar atrophy and cognitive delay, reinforcing its essential role in neuronal microtubule regulation.

The TTLL1 antibody performs effectively in western blotting, immunofluorescence, and immunohistochemistry, yielding distinct cytoplasmic and centrosomal staining. NSJ Bioreagents provides this antibody as a validated, high-specificity reagent for cytoskeleton, neurobiology, and cilia research. By enabling precise detection of Tubulin-tyrosine ligase-like protein 1, the TTLL1 antibody supports studies of microtubule modification, axonal transport, and cellular architecture maintenance.

Application Notes

Optimal dilution of the TTLL1 antibody should be determined by the researcher.

Immunogen

E.coli-derived human TTLL1 recombinant protein (Position: V26-Q402) was used as the immunogen for the TTLL1 antibody.

Storage

After reconstitution, the TTLL1 antibody can be stored for up to one month at 4oC. For long-term, aliquot and store at -20oC. Avoid repeated freezing and thawing.

Cross
Bulk Quote Request Form
Name*:
Organization*:
Email*:
Phone Number*:
Catalog No.*:
Comments and Specifics(amount, formulation, etc.)*:
Validation code: Captchapackage Image


Can't read the image? click here to refresh.
    *required field

Your bulk quote request has been submitted successfully!

Please contact us if you have any questions.