• Tel: 858.663.9055
  • SeparatorEmail: info@nsjbio.com
  • Tel: 858.663.9055
  • Email: info@nsjbio.com
Home >> Antibodies >> TTF2 Antibody / Transcription termination factor 2

TTF2 Antibody / Transcription termination factor 2 (FY13435)

  Catalog No Formulation Size Price (USD)  
Image FY13435 Adding 0.2 ml of distilled water will yield a concentration of 500 ug/ml 100 ug 449
Bulk quote request
Immunofluorescent staining of FFPE human colon cancer tissue with TTF2 antibody (red) and DAPI nuclear stain (blue). HIER: steam section in pH8 EDTA buffer for 20 min.
Immunohistochemical staining of FFPE human colon cancer tissue with TTF2 antibody, HRP-secondary and DAB substrate. HIER: boil tissue sections in pH8 EDTA for 20 min and allow to cool before testing.
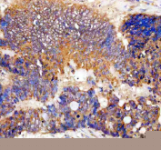
Immunohistochemical staining of FFPE human colon tissue with TTF2 antibody, HRP-secondary and DAB substrate. HIER: boil tissue sections in pH8 EDTA for 20 min and allow to cool before testing.
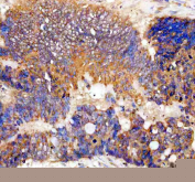
Immunohistochemical staining of FFPE human lung cancer tissue with TTF2 antibody, HRP-secondary and DAB substrate. HIER: boil tissue sections in pH8 EDTA for 20 min and allow to cool before testing.
Western blot analysis of TTF2 using anti-TTF2 antibody. Lane 1: human HeLa whole cell lysate; Lane 2: human Jurkat whole cell lysate; Lane 3: human A431 whole cell lysate; Lane 4: human 293T whole cell lysate. A strong band is detected at approximately 130 kDa, consistent with the expected molecular weight of Transcription termination factor 2. A weaker lower molecular weight band around ~70 kDa can be observed, which may represent a truncated or processed form of TTF2.
Flow cytometry analysis of fixed and permeabilized human Jurkat cells with TTF2 antibody at 1ug/million cells (blocked with goat sera); Red=cells alone, Green=isotype control, Blue= TTF2 antibody.
Availability 1-2 days
Species Reactivity Human, Mouse
Format Lyophilized
Host Rabbit
Clonality Polyclonal (rabbit origin)
Isotype Rabbit IgG
Purity Immunogen affinity purified
Buffer Each vial contains 4 mg Trehalose, 0.9 mg NaCl and 0.2 mg Na2HPO4.
UniProt Q9UNY4
Localization Cytoplasm, Nucleus
Applications Western Blot : 0.25-0.5ug/ml
Immunohistochemistry (FFPE) : 2-5ug/ml
ELISA : 0.1-0.5ug/ml
Immunofluorescence : 5ug/ml
Flow Cytometry : 1-3ug/million cells
Limitations This TTF2 antibody is available for research use only.
Review this product on BioCompare and get a $20 Amazon gift card

Description

TTF2 antibody targets Transcription termination factor 2, encoded by the TTF2 gene. Transcription termination factor 2 is a nuclear protein that plays a central role in regulating transcriptional termination and chromatin dynamics during the cell cycle. TTF2 was originally identified as a factor required for proper release of RNA polymerase II from DNA, and it is now recognized as an important regulator of transcription shutdown, particularly during mitosis. The protein localizes predominantly to the nucleus, where it associates with chromatin and transcriptional machinery.

Functionally, Transcription termination factor 2 promotes dissociation of RNA polymerase II from transcription templates, contributing to global transcriptional silencing during mitotic entry. This activity helps ensure orderly progression through the cell cycle by preventing inappropriate transcription during chromosome condensation. TTF2 has also been implicated in chromatin remodeling processes that facilitate transcriptional reset following mitosis. A TTF2 antibody supports studies focused on transcriptional regulation and cell cycle-dependent control of gene expression.

TTF2 expression is observed across a wide range of cell types, consistent with its fundamental role in transcription regulation. Its activity is tightly linked to cell cycle status, with functional relevance during transitions between interphase and mitosis. TTF2 interacts with components of the transcription machinery and chromatin-associated factors, positioning it at the intersection of transcription control and chromatin organization.

From a disease-relevance perspective, dysregulation of transcription termination and cell cycle control has been implicated in cancer and proliferative disorders. Altered expression or function of Transcription termination factor 2 may contribute to abnormal transcriptional programs and genomic instability. As a result, TTF2 is of interest in studies examining how transcriptional shutdown and reactivation influence disease-associated cellular behavior.

At the molecular level, Transcription termination factor 2 contains conserved regions required for interaction with RNA polymerase II and chromatin-associated proteins. Post-translational regulation and dynamic association with chromatin can influence its apparent behavior in biochemical assays without altering the primary amino acid sequence. TTF2 antibody reagents support research applications focused on transcription termination, chromatin regulation, and cell cycle-dependent gene expression, with NSJ Bioreagents providing reagents intended for research use.

Application Notes

Optimal dilution of the TTF2 antibody should be determined by the researcher.

Immunogen

E.coli-derived human Transcription termination factor 2 recombinant protein (amino acids D130-S1144) was used as the immunogen for the TTF2 antibody.

Storage

After reconstitution, the TTF2 antibody can be stored for up to one month at 4oC. For long-term, aliquot and store at -20oC. Avoid repeated freezing and thawing.

Cross
Bulk Quote Request Form
Name*:
Organization*:
Email*:
Phone Number*:
Catalog No.*:
Comments and Specifics(amount, formulation, etc.)*:
Validation code: Captchapackage Image


Can't read the image? click here to refresh.
    *required field

Your bulk quote request has been submitted successfully!

Please contact us if you have any questions.