• Tel: 858.663.9055
  • SeparatorEmail: info@nsjbio.com
  • Tel: 858.663.9055
  • Email: info@nsjbio.com
Home >> Antibodies >> TTF-1 Antibody / Nuclear Homeobox Transcription Factor Antibody

TTF-1 Antibody / Nuclear Homeobox Transcription Factor Antibody [clone TTF1/8430] (V4344)

  Catalog No Formulation Size Price (USD)  
Image V4344-100UG 0.2 mg/ml in 1X PBS with 0.1 mg/ml BSA (US sourced), 0.05% sodium azide 100 ug 559
Image
V4344-20UG 0.2 mg/ml in 1X PBS with 0.1 mg/ml BSA (US sourced), 0.05% sodium azide 20 ug 259
Image
V4344SAF-100UG 1 mg/ml in 1X PBS; BSA free, sodium azide free 100 ug 559
Bulk quote request
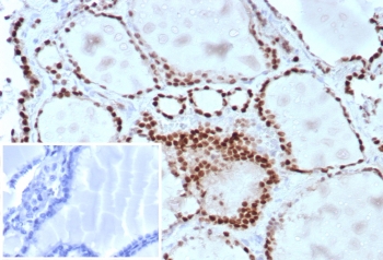
Immunohistochemistry of TTF-1 Antibody / Nuclear Homeobox Transcription Factor Antibody in human lung adenocarcinoma tissue. FFPE human lung adenocarcinoma stained using TTF-1 Antibody / Nuclear Homeobox Transcription Factor Antibody. The mouse monoclonal clone TTF1/8430 antibody demonstrates strong nuclear staining in malignant pulmonary epithelial cells, consistent with the nuclear localization of Thyroid transcription factor 1 (NKX2-1). NKX2-1 is a DNA-binding nuclear homeobox transcription factor that regulates gene expression programs involved in epithelial lineage specification and cellular differentiation. Nuclear immunoreactivity highlights transcription factor localization within tumor cell nuclei and reflects the role of NKX2-1 as a nuclear regulator of epithelial gene expression. Inset: PBS used in place of primary antibody (secondary antibody negative control). HIER: boil tissue sections in pH9 10mM Tris with 1mM EDTA for 20 min and allow to cool before testing.
SDS-PAGE analysis of purified, BSA-free TTF-1 Antibody / Nuclear Homeobox Transcription Factor Antibody (clone TTF1/8430) as confirmation of integrity and purity.
Availability 1-3 business days
Species Reactivity Human
Format Purified
Host Mouse
Clonality Monoclonal (mouse origin)
Isotype Mouse IgG1, kappa
Clone Name TTF1/8430
Purity Protein A/G affinity
UniProt P43699
Localization Nucleus
Applications Immunohistochemistry (FFPE) : 1-2ug/ml for 30 minutes at RT
Limitations This TTF-1 antibody is available for research use only.
Review this product on BioCompare and get a $20 Amazon gift card

Related Products

Description

Thyroid transcription factor 1 (NKX2-1) is a nuclear homeobox transcription factor belonging to the NKX2 family of DNA-binding transcriptional regulators that control gene expression programs during tissue development and epithelial lineage specification. The protein contains a conserved homeobox DNA-binding domain that enables sequence-specific interaction with regulatory regions of target genes. The TTF-1 Antibody / Nuclear Homeobox Transcription Factor Antibody recognizes this nuclear transcription factor, which localizes to the nucleus where it regulates transcription of genes involved in epithelial differentiation and organ development.

TTF-1 antibody, also referred to as NKX2-1 antibody or Thyroid transcription factor 1 antibody in the literature, detects a nuclear homeobox transcription factor that functions as a transcriptional regulator of tissue-specific gene expression. Homeobox transcription factors represent a major class of developmental regulators that control cellular identity by activating or repressing gene transcription. NKX2-1 operates within the nucleus as a DNA-binding transcription factor that modulates expression of genes involved in epithelial lineage determination and tissue-specific differentiation.

As a member of the NKX2 transcription factor family, NKX2-1 participates in transcriptional regulatory networks that coordinate gene expression programs during organogenesis. The protein binds promoter and enhancer regions of target genes and recruits transcriptional regulatory complexes that control transcriptional activity. Through these mechanisms, NKX2-1 acts as a nuclear transcription factor that governs developmental signaling pathways and regulates epithelial gene expression programs.

During embryonic development, NKX2-1 expression appears early within developing lung and thyroid primordia and plays an essential role in establishing epithelial lineage identity in these tissues. The transcription factor regulates genes associated with respiratory epithelial differentiation as well as thyroid-specific gene expression. Because NKX2-1 functions as a nuclear homeobox transcription factor, it remains a key regulator of transcriptional programs that define epithelial cell identity.

Because of its role in transcriptional regulation, NKX2-1 is widely studied as a nuclear homeobox transcription factor controlling developmental gene expression and epithelial lineage specification. A TTF-1 antibody such as clone TTF1/8430 provides a valuable tool for research focused on nuclear transcription factor biology, homeobox gene regulation, and transcriptional control of epithelial differentiation pathways.

Application Notes

Optimal dilution of the TTF-1 Antibody / Nuclear Homeobox Transcription Factor Antibody should be determined by the researcher.

Immunogen

Recombinant human TTF-1 protein was used as the immunogen for the TTF-1 antibody.

Storage

Aliquot the TTF-1 antibody and store frozen at -20oC or colder. Avoid repeated freeze-thaw cycles.

Alternate Names

NKX2-1 antibody, Thyroid transcription factor 1 antibody, TTF1 antibody, TITF1 antibody, Thyroid transcription factor antibody

Cross
Bulk Quote Request Form
Name*:
Organization*:
Email*:
Phone Number*:
Catalog No.*:
Comments and Specifics(amount, formulation, etc.)*:
Validation code: Captchapackage Image


Can't read the image? click here to refresh.
    *required field

Your bulk quote request has been submitted successfully!

Please contact us if you have any questions.