• Tel: 858.663.9055
  • SeparatorEmail: info@nsjbio.com
  • Tel: 858.663.9055
  • Email: info@nsjbio.com
Home >> Antibodies >> TTF-1 Antibody / Thyroid Tumor Marker Antibody

TTF-1 Antibody / Thyroid Tumor Marker Antibody [clone NX2.1/690] (V2894)

  Catalog No Formulation Size Price (USD)  
Image V2894-100UG 0.2 mg/ml in 1X PBS with 0.1 mg/ml BSA (US sourced) and 0.05% sodium azide 100 ug 559
Image
V2894-20UG 0.2 mg/ml in 1X PBS with 0.1 mg/ml BSA (US sourced) and 0.05% sodium azide 20 ug 259
Image
V2894SAF-100UG 1 mg/ml in 1X PBS; BSA free, sodium azide free 100 ug 559
Image
V2894IHC-7ML Prediluted in 1X PBS with 0.1 mg/ml BSA (US sourced) and 0.05% sodium azide; *For IHC use only* 7 ml 559
Bulk quote request
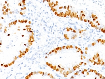
Immunohistochemistry of TTF-1 Antibody / Thyroid Tumor Marker Antibody in human lung adenocarcinoma. Formalin-fixed, paraffin-embedded human lung adenocarcinoma stained using TTF-1 Antibody / Thyroid Tumor Marker Antibody. The mouse monoclonal clone NX2.1/690 antibody demonstrates strong nuclear staining in malignant pulmonary epithelial cells, consistent with the nuclear localization of Thyroid transcription factor 1 (NKX2-1). Nuclear TTF-1 expression is a characteristic feature of many pulmonary adenocarcinomas and is widely used in diagnostic immunohistochemistry to support identification of tumors of pulmonary epithelial origin. Because NKX2-1 is expressed in both pulmonary epithelium and thyroid follicular cells, TTF-1 antibody staining is commonly included in tumor marker panels used to distinguish primary lung adenocarcinoma from metastatic carcinomas involving the lung.
Immunohistochemistry of TTF-1 Antibody / Thyroid Tumor Marker Antibody in human thyroid tissue. Formalin-fixed, paraffin-embedded human thyroid tissue stained using TTF-1 Antibody / Thyroid Tumor Marker Antibody. The mouse monoclonal clone NX2.1/690 antibody shows strong nuclear staining in thyroid follicular epithelial cells lining the thyroid follicles. Nuclear immunoreactivity for Thyroid transcription factor 1 (NKX2-1) is characteristic of thyroid follicular epithelium and supports the use of this antibody as a thyroid tumor marker in immunohistochemistry. This staining pattern highlights thyroid epithelial lineage and reflects the established role of TTF-1 as a diagnostic marker used in endocrine pathology to identify thyroid follicular tumors and thyroid carcinoma in surgical pathology panels.
Immunohistochemistry of TTF-1 Antibody / Thyroid Tumor Marker Antibody in rat lung tissue. Formalin-fixed, paraffin-embedded rat lung stained using TTF-1 Antibody / Thyroid Tumor Marker Antibody. The mouse monoclonal clone NX2.1/690 antibody shows nuclear staining in pulmonary epithelial cells consistent with the nuclear localization of Thyroid transcription factor 1 (NKX2-1), a transcription factor expressed in respiratory epithelium and thyroid follicular cells. In lung tissue, NKX2-1 expression highlights pulmonary epithelial lineage, particularly alveolar epithelial cells, reflecting the role of TTF-1 as a key regulator of lung epithelial differentiation and respiratory epithelial identity.
Availability 1-3 business days
Species Reactivity Human, Mouse, and Rat
Format Purified
Host Mouse
Clonality Monoclonal (mouse origin)
Isotype Mouse IgG1, kappa
Clone Name NX2.1/690
Purity Protein G affinity chromatography
UniProt P43699
Localization Nuclear
Applications Flow Cytometry : 0.5-1ug/10^6 cells
Immunofluorescence : 0.5-1ug/ml
Immunohistochemistry (FFPE) : 0.5-1ug/ml for 30 min at RT
Limitations This TTF-1 antibody is available for research use only.
Review this product on BioCompare and get a $20 Amazon gift card

Related Products

Description

Thyroid transcription factor 1 (NKX2-1) is a nuclear homeobox transcription factor that regulates epithelial lineage specification in the thyroid gland, lung, and forebrain. The protein functions as a DNA-binding transcriptional regulator controlling genes required for thyroid follicular epithelial differentiation and endocrine gland development. The TTF-1 Antibody / Thyroid Tumor Marker Antibody targets this lineage-defining transcription factor, which localizes to the nuclei of thyroid follicular epithelial cells and plays a central role in maintaining thyroid epithelial identity and endocrine lineage commitment.

In endocrine pathology, TTF-1 antibody staining is widely used as a thyroid tumor marker because NKX2-1 expression is strongly associated with thyroid follicular epithelial cells and thyroid-derived tumors. Nuclear staining for Thyroid transcription factor 1 is frequently observed in thyroid neoplasms, including papillary thyroid carcinoma and follicular thyroid carcinoma. Because of this characteristic nuclear staining pattern, TTF-1 antibody immunohistochemistry is commonly used to confirm thyroid epithelial lineage and to support the diagnosis of primary thyroid tumors. Clone NX2.1/690 antibody is a mouse monoclonal antibody designed to detect nuclear NKX2-1 protein in thyroid epithelial cells and thyroid carcinoma specimens.

TTF-1 antibody, also referred to as NKX2-1 antibody or Thyroid transcription factor 1 antibody in the literature, recognizes a transcription factor that regulates genes involved in thyroid hormone synthesis and endocrine epithelial differentiation. NKX2-1 activates thyroid-specific genes including thyroglobulin and thyroid peroxidase, which are essential for thyroid hormone biosynthesis and thyroid follicular cell function. Through these regulatory activities, the transcription factor helps establish the specialized endocrine phenotype of thyroid follicular epithelial cells and supports thyroid gland development.

In surgical pathology practice, TTF-1 antibody staining patterns are particularly valuable when evaluating thyroid tumors. Strong nuclear immunoreactivity supports thyroid follicular epithelial differentiation and helps distinguish primary thyroid carcinoma from metastatic carcinomas involving the thyroid gland. For this reason, TTF-1 antibody is commonly included in immunohistochemical tumor panels used for endocrine tumor evaluation and thyroid carcinoma diagnosis.

Because NKX2-1 remains tightly associated with thyroid epithelial lineage, the protein is widely regarded as an important thyroid tumor marker and endocrine epithelial differentiation marker. A TTF-1 antibody such as clone NX2.1/690 provides a valuable tool for research focused on thyroid carcinoma biology, thyroid epithelial differentiation, and transcriptional regulation of endocrine epithelial lineage identity.

Application Notes

Optimal dilution of the TTF-1 Antibody / Thyroid Tumor Marker Antibody should be determined by the researcher.

1. Staining of formalin/paraffin tissues requires boiling tissue sections in 10mM Citrate buffer, pH 6.0, for 10-20 min followed by cooling at RT for 20 min.
2. The prediluted format is supplied in a dropper bottle and is optimized for use in IHC. After epitope retrieval step (if required), drip mAb solution onto the tissue section and incubate at RT for 30 min.

Immunogen

Recombinant protein was used as the immunogen for the TTF-1 antibody.

Storage

Store the TTF-1 antibody at 2-8oC (with azide) or aliquot and store at -20oC or colder (without azide).

Alternate Names

NKX2-1 antibody, Thyroid transcription factor 1 antibody, TTF1 antibody, TITF1 antibody, Thyroid transcription factor antibody

Cross
Bulk Quote Request Form
Name*:
Organization*:
Email*:
Phone Number*:
Catalog No.*:
Comments and Specifics(amount, formulation, etc.)*:
Validation code: Captchapackage Image


Can't read the image? click here to refresh.
    *required field

Your bulk quote request has been submitted successfully!

Please contact us if you have any questions.