• Tel: 858.663.9055
  • SeparatorEmail: info@nsjbio.com
  • Tel: 858.663.9055
  • Email: info@nsjbio.com
Home >> Antibodies >> TTF-1 Antibody / Pulmonary Epithelial Cell Marker Antibody

TTF-1 Antibody / Pulmonary Epithelial Cell Marker Antibody [clone HBNK2-1] (V7084)

  Catalog No Formulation Size Price (USD)  
Image V7084-100UG 0.2 mg/ml in 1X PBS with 0.1 mg/ml BSA (US sourced) and 0.05% sodium azide 100 ug 559
Image
V7084-20UG 0.2 mg/ml in 1X PBS with 0.1 mg/ml BSA (US sourced) and 0.05% sodium azide 20 ug 259
Image
V7084SAF-100UG 1 mg/ml in 1X PBS; BSA free, sodium azide free 100 ug 559
Image
V7084IHC-7ML Prediluted in 1X PBS with 0.1 mg/ml BSA (US sourced) and 0.05% sodium azide; *For IHC use only* 7 ml 559
Bulk quote request
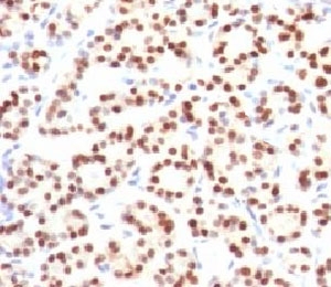
Immunohistochemistry of TTF-1 Antibody / Pulmonary Epithelial Cell Marker Antibody in human thyroid tissue. FFPE human thyroid tissue stained using TTF-1 Antibody / Pulmonary Epithelial Cell Marker Antibody. The mouse monoclonal clone HBNK2-1 antibody demonstrates strong nuclear staining in thyroid follicular epithelial cells, consistent with the nuclear localization of Thyroid transcription factor 1 (NKX2-1). NKX2-1 is a lineage-associated transcription factor expressed in both pulmonary epithelial cells of the respiratory epithelium and thyroid follicular epithelial cells, reflecting the shared developmental origin of these epithelial tissues. Thyroid tissue therefore provides a well-established epithelial lineage control for TTF-1 antibody staining while the protein also serves as a marker of pulmonary epithelial cells, including alveolar epithelial cells within lung tissue. Required HIER: boil FFPE tissue sections in pH6 10mM citrate buffer for 10-20 minutes followed by cooling at RT for 20 minutes.
Immunohistochemistry of TTF-1 Antibody / Pulmonary Epithelial Cell Marker Antibody in human lung tissue. FFPE human lung tissue stained using TTF-1 Antibody / Pulmonary Epithelial Cell Marker Antibody. The mouse monoclonal clone HBNK2-1 antibody demonstrates strong nuclear staining in pulmonary epithelial cells lining the respiratory epithelium, including alveolar epithelial cells consistent with type II pneumocytes. Nuclear immunoreactivity for Thyroid transcription factor 1 (NKX2-1) highlights pulmonary epithelial lineage and identifies epithelial cells of the respiratory epithelium within lung tissue. This staining pattern reflects the established role of TTF-1 as a pulmonary epithelial cell marker used in immunohistochemistry to study alveolar epithelial differentiation and respiratory epithelial cell populations. Required HIER: boil FFPE tissue sections in pH6 10mM citrate buffer for 10-20 minutes followed by cooling at RT for 20 minutes.
Immunohistochemistry of TTF-1 Antibody / Pulmonary Epithelial Cell Marker Antibody in rat lung tissue. FFPE rat lung tissue stained using TTF-1 Antibody / Pulmonary Epithelial Cell Marker Antibody. The mouse monoclonal clone HBNK2-1 antibody demonstrates strong nuclear staining in pulmonary epithelial cells of the respiratory epithelium, including alveolar epithelial cells consistent with type II pneumocytes. Nuclear immunoreactivity for Thyroid transcription factor 1 (NKX2-1) highlights pulmonary epithelial lineage and clearly identifies epithelial cells of the respiratory epithelium within lung tissue. This staining pattern reflects the well-established role of TTF-1 as a pulmonary epithelial cell marker and alveolar epithelial lineage marker used in immunohistochemistry to study respiratory epithelium and pulmonary epithelial differentiation in lung tissue. Required HIER: boil FFPE tissue sections in pH6 10mM citrate buffer for 10-20 minutes followed by cooling at RT for 20 minutes.
Availability 1-3 business days
Species Reactivity Human, Rat
Format Purified
Host Mouse
Clonality Monoclonal (mouse origin)
Isotype Mouse IgG1, kappa
Clone Name HBNK2-1
Purity Protein G affinity chromatography
UniProt P43699
Localization Nuclear
Applications Immunohistochemistry (FFPE) : 1-2ug/ml for 30 min at RT
Prediluted IHC Only Format : incubate for 30 min at RT (1)
Limitations This TTF-1 antibody is available for research use only.
Review this product on BioCompare and get a $20 Amazon gift card

Related Products

Description

Thyroid transcription factor 1 (NKX2-1) is a nuclear homeobox transcription factor that regulates epithelial lineage development in the lung, thyroid, and forebrain. The protein functions as a DNA-binding transcriptional regulator controlling genes required for respiratory epithelial differentiation and pulmonary tissue development. The TTF-1 Antibody / Pulmonary Epithelial Cell Marker Antibody targets this lineage-defining transcription factor, which localizes to the nuclei of pulmonary epithelial cells and plays a central role in establishing pulmonary epithelial lineage identity within the respiratory epithelium.

In lung biology, TTF-1 antibody staining is widely used as a pulmonary epithelial cell marker because NKX2-1 expression is strongly associated with respiratory epithelial cells. Nuclear staining for Thyroid transcription factor 1 is commonly observed in alveolar epithelial cells, particularly type II pneumocytes, as well as bronchiolar epithelial cells that form the lining of the respiratory epithelium. Because of this consistent nuclear expression pattern, TTF-1 antibody immunohistochemistry is frequently used to identify pulmonary epithelial lineage and to study respiratory epithelial cell populations within lung tissue.

TTF-1 antibody, also referred to as NKX2-1 antibody or Thyroid transcription factor 1 antibody in the literature, recognizes a transcription factor that regulates multiple genes required for pulmonary epithelial cell function. NKX2-1 activates lung-specific genes including surfactant proteins and other molecules essential for alveolar epithelial physiology and gas exchange. Through these regulatory activities, the transcription factor supports differentiation of alveolar epithelial cells and helps maintain the structural and functional integrity of the respiratory epithelium.

During embryonic development, NKX2-1 is expressed early within the respiratory diverticulum and plays a critical role in lung bud formation and branching morphogenesis. This early expression establishes NKX2-1 as a master regulator of pulmonary epithelial lineage specification. As lung tissue matures, the transcription factor remains highly expressed in respiratory epithelial cells, particularly alveolar epithelial cells, reinforcing its role as a defining marker of pulmonary epithelial lineage within the respiratory epithelium.

Because NKX2-1 expression remains tightly associated with pulmonary epithelial cells, the protein is widely regarded as an important pulmonary epithelial cell marker and respiratory epithelial lineage marker used in lung biology research. A TTF-1 antibody such as clone HBNK2-1 provides a valuable tool for studies investigating pulmonary epithelial differentiation, alveolar epithelial cell biology, and transcriptional regulation of genes required for respiratory epithelial function.

Application Notes

Titering of the TTF-1 Antibody / Pulmonary Epithelial Cell Marker Antibody may be required for optimal performance.

1. The prediluted format is supplied in a dropper bottle and is optimized for use in IHC. After epitope retrieval step (if required), drip mAb solution onto the tissue section and incubate at RT for 30 min.

Immunogen

Recombinant protein was used as the immunogen for the TTF-1 antibody.

Storage

Store the TTF-1 antibody at 2-8oC (with azide) or aliquot and store at -20oC or colder (without azide).

Alternate Names

NKX2-1 antibody, Thyroid transcription factor 1 antibody, TTF1 antibody, TITF1 antibody, Thyroid transcription factor antibody

Cross
Bulk Quote Request Form
Name*:
Organization*:
Email*:
Phone Number*:
Catalog No.*:
Comments and Specifics(amount, formulation, etc.)*:
Validation code: Captchapackage Image


Can't read the image? click here to refresh.
    *required field

Your bulk quote request has been submitted successfully!

Please contact us if you have any questions.