• Tel: 858.663.9055
  • SeparatorEmail: info@nsjbio.com
  • Tel: 858.663.9055
  • Email: info@nsjbio.com
Home >> Antibodies >> TTF-1 Antibody Clone 8G7G3/1 / NKX2.1

TTF-1 Antibody Clone 8G7G3/1 / NKX2.1 [clone 8G7G3/1] (V2274)

  Catalog No Formulation Size Price (USD)  
Image V2274-100UG 0.2 mg/ml in 1X PBS with 0.1 mg/ml BSA (US sourced) and 0.05% sodium azide 100 ug 559
Image
V2274-20UG 0.2 mg/ml in 1X PBS with 0.1 mg/ml BSA (US sourced) and 0.05% sodium azide 20 ug 259
Image
V2274SAF-100UG 1 mg/ml in 1X PBS; BSA free, sodium azide free 100 ug 559
Image
V2274IHC-7ML Prediluted in 1X PBS with 0.1 mg/ml BSA (US sourced) and 0.05% sodium azide; *For IHC use only* 7 ml 559
Bulk quote request
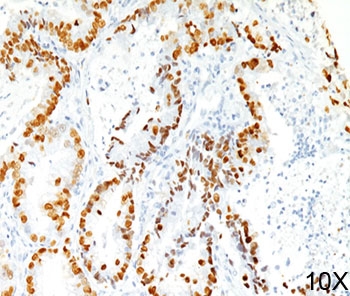
TTF-1 Antibody Clone 8G7G3/1 immunohistochemistry of human lung adenocarcinoma tissue. Human lung adenocarcinoma stained using TTF-1 Antibody Clone 8G7G3/1 demonstrates strong nuclear immunoreactivity for Thyroid transcription factor 1 (NKX2-1) in malignant pulmonary epithelial cells. Nuclear staining highlights tumor cells of pulmonary epithelial origin and reflects the well-established use of clone 8G7G3/1 antibody as a diagnostic immunohistochemistry marker for pulmonary adenocarcinoma. TTF-1 expression in tumor cell nuclei assists pathologists in identifying lung adenocarcinoma and distinguishing primary pulmonary carcinoma from metastatic tumors involving the lung.
TTF-1 Antibody Clone 8G7G3/1 immunohistochemistry of human lung adenocarcinoma tissue. Human lung adenocarcinoma stained using TTF-1 Antibody Clone 8G7G3/1 shows strong nuclear staining for Thyroid transcription factor 1 (NKX2-1) in malignant pulmonary epithelial cells. Nuclear immunoreactivity highlights pulmonary epithelial tumor cells and reflects the diagnostic role of clone 8G7G3/1 antibody in immunohistochemistry panels used for lung adenocarcinoma evaluation. Detection of nuclear NKX2-1 expression supports pulmonary epithelial lineage and helps distinguish primary lung carcinoma from metastatic malignancies.
Species Reactivity Human, Mouse, and Rat
Format Purified
Host Mouse
Clonality Monoclonal (mouse origin)
Isotype Mouse IgG1, kappa
Clone Name 8G7G3/1
Purity Protein G affinity chromatography
Buffer 1X PBS, pH 7.4
Gene ID 7080
Localization Nuclear
Applications Flow Cytometry : 0.5-1ug/million cells
Immunofluorescence : 0.5-1ug/ml
Immunohistochemistry (FFPE) : 0.5-1ug/ml for 30 min at RT
Limitations This TTF-1 antibody is available for research use only.
Review this product on BioCompare and get a $20 Amazon gift card

Related Products

Description

Thyroid transcription factor 1 (NKX2-1) is a nuclear homeobox transcription factor that regulates epithelial lineage development in the lung, thyroid gland, and forebrain. The protein functions as a DNA-binding transcriptional regulator controlling genes involved in epithelial differentiation and organ development. TTF-1 Antibody Clone 8G7G3/1 targets this lineage-defining transcription factor, which localizes to the nucleus where it regulates transcriptional programs that establish epithelial lineage identity in respiratory epithelium and thyroid follicular epithelium.

TTF-1 antibody, also referred to as NKX2-1 antibody or Thyroid transcription factor 1 antibody in the literature, detects a nuclear transcription factor expressed in pulmonary epithelial cells and thyroid follicular epithelial cells. Clone 8G7G3/1 antibody is one of the most widely recognized monoclonal antibodies used to detect NKX2-1 in immunohistochemistry and has been extensively used in studies examining lung and thyroid epithelial lineage markers. Because NKX2-1 localizes to the nucleus, TTF-1 antibody staining typically produces strong nuclear immunoreactivity in epithelial cells expressing this transcription factor.

In lung tissue, NKX2-1 regulates genes associated with respiratory epithelial differentiation, including surfactant proteins expressed by alveolar epithelial cells. Nuclear expression of TTF-1 is commonly observed in pulmonary adenocarcinoma and small cell lung carcinoma, making TTF-1 clone 8G7G3/1 antibody an important marker in immunohistochemical tumor panels used for evaluating lung tumors and identifying pulmonary epithelial origin.

In thyroid tissue, NKX2-1 regulates genes involved in thyroid hormone biosynthesis and supports differentiation of thyroid follicular epithelial cells. Nuclear staining with clone 8G7G3/1 antibody highlights thyroid follicular epithelial lineage and helps confirm tumors derived from thyroid epithelial cells in diagnostic pathology. Because NKX2-1 expression is associated with epithelial cells of lung and thyroid origin, TTF-1 antibody staining is widely used in surgical pathology tumor panels to assist in determining tumor lineage.

Due to its consistent nuclear staining pattern and extensive use in published research, clone 8G7G3/1 antibody remains one of the most widely cited monoclonal antibodies for detecting Thyroid transcription factor 1. A TTF-1 antibody such as clone 8G7G3/1 provides a valuable tool for studies focused on epithelial lineage biology, transcription factor localization, and diagnostic evaluation of lung and thyroid tumors.

Application Notes

The concentration stated for each application is a general starting point. Variations in protocols, secondaries and substrates may require the TTF-1 Antibody Clone 8G7G3/1 to be titered up or down for optimal performance.

1. Staining of formalin-fixed tissues requires boiling tissue sections in 10mM citrate buffer, pH 6.0, for 10-20 min followed by cooling at RT for 20 minutes.
2. The prediluted format is supplied in a dropper bottle and is optimized for use in IHC. After epitope retrieval step (if required), drip mAb solution onto the tissue section and incubate at RT for 30 min.

Immunogen

Rat full length recombinant protein was used as the immunogen for this TTF-1 antibody.

Storage

Store the TTF-1 antibody at 2-8oC (with azide) or aliquot and store at -20oC or colder (without azide).

Alternate Names

NKX2-1 antibody, Thyroid transcription factor 1 antibody, TTF1 antibody, TITF1 antibody, Thyroid transcription factor antibody

Cross
Bulk Quote Request Form
Name*:
Organization*:
Email*:
Phone Number*:
Catalog No.*:
Comments and Specifics(amount, formulation, etc.)*:
Validation code: Captchapackage Image


Can't read the image? click here to refresh.
    *required field

Your bulk quote request has been submitted successfully!

Please contact us if you have any questions.