• Tel: 858.663.9055
  • SeparatorEmail: info@nsjbio.com
  • Tel: 858.663.9055
  • Email: info@nsjbio.com
Home >> Antibodies >> TTF-1 Antibody / Lung and Thyroid Diagnostic Marker Antibody

TTF-1 Antibody / Lung and Thyroid Diagnostic Marker Antibody [clone 8G7G3/1 + NX2.1/690] (V2895)

  Catalog No Formulation Size Price (USD)  
Image V2895-100UG 0.2 mg/ml in 1X PBS with 0.1 mg/ml BSA (US sourced) and 0.05% sodium azide 100 ug 559
Image
V2895-20UG 0.2 mg/ml in 1X PBS with 0.1 mg/ml BSA (US sourced) and 0.05% sodium azide 20 ug 259
Image
V2895SAF-100UG 1 mg/ml in 1X PBS; BSA free, sodium azide free 100 ug 559
Image
V2895IHC-7ML Prediluted in 1X PBS with 0.1 mg/ml BSA (US sourced) and 0.05% sodium azide; *For IHC use only* 7 ml 559
Bulk quote request
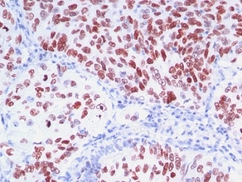
Immunohistochemistry of TTF-1 Antibody / Lung and Thyroid Diagnostic Marker Antibody in human lung carcinoma. Formalin-fixed, paraffin-embedded human lung carcinoma stained using TTF-1 Antibody / Lung and Thyroid Diagnostic Marker Antibody. The mouse monoclonal clones 8G7G3/1 + NX2.1/690 antibodies demonstrate strong nuclear staining in malignant pulmonary epithelial cells, consistent with the nuclear localization of Thyroid transcription factor 1 (NKX2-1). Nuclear TTF-1 immunoreactivity is widely used in surgical pathology as a diagnostic marker for tumors of pulmonary epithelial origin, particularly pulmonary adenocarcinoma and small cell lung carcinoma. Because NKX2-1 expression is associated with epithelial cells of lung and thyroid lineage, TTF-1 antibody staining is routinely incorporated into immunohistochemistry tumor panels to assist in determining tumor origin and to help distinguish primary lung carcinoma from metastatic carcinomas involving the lung.
Immunohistochemistry of TTF-1 Antibody / Lung and Thyroid Diagnostic Marker Antibody in human thyroid tissue. Formalin-fixed, paraffin-embedded human thyroid stained using TTF-1 Antibody / Lung and Thyroid Diagnostic Marker Antibody. The mouse monoclonal clones 8G7G3/1 + NX2.1/690 antibodies demonstrate strong nuclear staining in thyroid follicular epithelial cells lining thyroid follicles, consistent with the nuclear localization of Thyroid transcription factor 1 (NKX2-1). Nuclear TTF-1 immunoreactivity highlights thyroid follicular epithelial lineage and reflects the established use of this marker in diagnostic immunohistochemistry for identifying tumors derived from thyroid epithelium. Because NKX2-1 is expressed in epithelial cells of both lung and thyroid origin, TTF-1 antibody staining is routinely included in surgical pathology tumor panels to assist in determining tumor lineage and distinguishing primary thyroid tumors from metastatic carcinomas.
Availability 1-3 business days
Species Reactivity Human, Mouse, and Rat
Format Purified
Host Mouse
Clonality Monoclonal (mouse origin)
Isotype Mouse IgG1, kappa
Clone Name 8G7G3/1 + NX2.1/690
Purity Protein G affinity chromatography
UniProt P43699
Localization Nuclear
Applications Flow Cytometry : 0.5-1ug/10^6 cells
Immunofluorescence : 0.5-1ug/ml
Immunohistochemistry (FFPE) : 0.5-1ug/ml for 30 min at RT
Limitations This TTF-1 antibody cocktail is available for research use only.
Review this product on BioCompare and get a $20 Amazon gift card

Description

Thyroid transcription factor 1 (NKX2-1) is a nuclear homeobox transcription factor that regulates epithelial lineage development in the lung and thyroid gland. The protein functions as a DNA-binding transcriptional regulator controlling genes required for pulmonary epithelial differentiation and thyroid follicular epithelial development. The TTF-1 Antibody / Lung and Thyroid Diagnostic Marker Antibody targets this lineage-defining transcription factor, which localizes to the nuclei of epithelial cells within respiratory epithelium and thyroid follicular epithelium.

In surgical pathology, TTF-1 antibody staining is widely used as a lung and thyroid diagnostic marker in immunohistochemistry panels. Nuclear immunoreactivity for Thyroid transcription factor 1 is frequently observed in pulmonary adenocarcinoma and small cell lung carcinoma, as well as in tumors derived from thyroid follicular epithelium. Because NKX2-1 expression is strongly associated with epithelial cells of lung and thyroid origin, TTF-1 antibody staining is routinely used to help determine tumor origin in diagnostic pathology.

TTF-1 antibody, also referred to as NKX2-1 antibody or Thyroid transcription factor 1 antibody in the literature, plays an important role in immunohistochemical tumor panels used to classify carcinomas. In lung tumor diagnostics, nuclear TTF-1 staining supports pulmonary epithelial origin and helps distinguish primary lung adenocarcinoma from metastatic carcinomas involving the lung. In thyroid pathology, nuclear staining highlights thyroid follicular epithelial lineage and assists in confirming tumors arising from thyroid epithelial cells.

Because of its highly characteristic nuclear staining pattern, TTF-1 antibody is frequently incorporated into diagnostic immunohistochemistry panels together with markers such as Napsin A, cytokeratins, and other epithelial lineage markers when evaluating lung tumors. Similarly, TTF-1 antibody staining may be used alongside thyroid markers such as thyroglobulin and PAX8 when assessing thyroid tumors. These diagnostic marker panels allow pathologists to determine tumor lineage and identify the likely tissue of origin in carcinomas.

Clones 8G7G3/1 and NX2.1/690 antibodies are mouse monoclonal antibodies developed to detect nuclear NKX2-1 protein in epithelial cells derived from lung and thyroid tissues. A TTF-1 antibody such as clones 8G7G3/1 + NX2.1/690 therefore provides a valuable diagnostic immunohistochemistry marker for studies focused on tumor origin identification, lung carcinoma classification, and thyroid tumor pathology.

Application Notes

Optimal dilution of the TTF-1 Antibody / Lung and Thyroid Diagnostic Marker Antibody should be determined by the researcher.

1. Staining of formalin/paraffin tissues requires boiling tissue sections in 10mM Citrate buffer, pH 6.0, for 10-20 min followed by cooling at RT for 20 min.
2. The prediluted format is supplied in a dropper bottle and is optimized for use in IHC. After epitope retrieval step (if required), drip mAb solution onto the tissue section and incubate at RT for 30 min.

Immunogen

Recombinant protein was used as the immunogen for the TTF-1 antibody cocktail.

Storage

Store the TTF-1 antibody cocktail at 2-8oC (with azide) or aliquot and store at -20oC or colder (without azide).

Alternate Names

NKX2-1 antibody, Thyroid transcription factor 1 antibody, TTF1 antibody, TITF1 antibody, Thyroid transcription factor antibody

Cross
Bulk Quote Request Form
Name*:
Organization*:
Email*:
Phone Number*:
Catalog No.*:
Comments and Specifics(amount, formulation, etc.)*:
Validation code: Captchapackage Image


Can't read the image? click here to refresh.
    *required field

Your bulk quote request has been submitted successfully!

Please contact us if you have any questions.