• Tel: 858.663.9055
  • SeparatorEmail: info@nsjbio.com
  • Tel: 858.663.9055
  • Email: info@nsjbio.com
Home >> Antibodies >> TTC39B Antibody / C9orf52

TTC39B Antibody / C9orf52 (RQ8251)

  Catalog No Formulation Size Price (USD)  
Image RQ8251 0.5mg/ml if reconstituted with 0.2ml sterile DI water 100 ug 449
Bulk quote request
Flow cytometry testing of fixed and permeabilized human HepG2 cells with TTC39B antibody at 1ug/million cells (blocked with goat sera); Red=cells alone, Green=isotype control, Blue= TTC39B antibody.
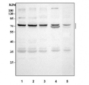
Western blot testing of 1) human 293T, 2) human Raji, 3) human K562, 4) rat testis and 5) mouse testis tissue lysate with TTC39B antibody. Predicted molecular weight: 59-77 kDa, ~23 kDa (multiple isoforms).
Availability 1-3 business days
Species Reactivity Human, Mouse, Rat
Format Antigen affinity purified
Host Rabbit
Clonality Polyclonal (rabbit origin)
Isotype Rabbit IgG
Purity Antigen affinity purified
Buffer Lyophilized from 1X PBS with 2% Trehalose
UniProt Q5VTQ0
Applications Western Blot : 0.5-1ug/ml
Flow Cytometry : 1-3ug/million cells
Direct ELISA : 0.1-0.5ug/ml
Limitations This TTC39B antibody is available for research use only.
Review this product on BioCompare and get a $20 Amazon gift card

Description

Tetratricopeptide repeat protein 39B is a protein that in humans is encoded by the TTC39B gene. TTC39B protein contains two TPR repeats (aa 39 3-426 and 626 -659). TCC39B protein is the product of a high density lipoprotein (HDL) gene that promotes the ubiquitination and degradation of liver X receptor (LXR). TTC39B null or deficient mice challenged with high fat/cholesterol/bile salt diet exhibit increased LX R protein and target gene expression. TTC39B deficiency is reported to stabilize LXR by reducing its polyubiquitination and proteasomal degradation. Hence it reduces the incidence of atherosclerosis and steatohepatitis. TTC39B deficiency mice display higher levels of HDL and Apoplipoprotein A-1 and lower levels of hepatic triglyceride synthesis.However it does not affect glucose tolerance or hepatic gluconeogenesis.

Application Notes

Optimal dilution of the TTC39B antibody should be determined by the researcher.

Immunogen

E. coli-derived recombinant human protein (amino acids K129-D682) was used as the immunogen for the TTC39B antibody.

Storage

After reconstitution, the TTC39B antibody can be stored for up to one month at 4oC. For long-term, aliquot and store at -20oC. Avoid repeated freezing and thawing.

Cross
Bulk Quote Request Form
Name*:
Organization*:
Email*:
Phone Number*:
Catalog No.*:
Comments and Specifics(amount, formulation, etc.)*:
Validation code: Captchapackage Image


Can't read the image? click here to refresh.
    *required field

Your bulk quote request has been submitted successfully!

Please contact us if you have any questions.