• Tel: 858.663.9055
  • SeparatorEmail: info@nsjbio.com
  • Tel: 858.663.9055
  • Email: info@nsjbio.com
Home >> Antibodies >> TTC34 Antibody / Tetratricopeptide repeat protein 34

TTC34 Antibody / Tetratricopeptide repeat protein 34 (FY12119)

  Catalog No Formulation Size Price (USD)  
Image FY12119 Adding 0.2 ml of distilled water will yield a concentration of 500 ug/ml 100 ug 449
Bulk quote request
Immunofluorescent staining of TTC34 using anti-TTC34 antibody (green) and anti-Beta Tubulin antibody (red). TTC34 was detected in an immunocytochemical section of U2OS cells. Enzyme antigen retrieval was performed using IHC enzyme antigen retrieval reagent for 15 mins. The cells were blocked with 10% goat serum. And then incubated with 5 ug/ml rabbit anti-TTC34 antibody and mouse anti-Beta Tubulin antibody overnight at 4oC. DyLight 488 Conjugated Goat Anti-Rabbit IgG and DyLight 594 Conjugated Goat Anti-Mouse IgG were used as secondary antibody at 1:500 dilution and incubated for 30 minutes at 37oC. Visualize using a fluorescence microscope and filter sets appropriate for the label used.
Western blot analysis of TTC34 using anti-TTC34 antibody. Lane 1: human Jurkat whole cell lysates, Lane 2: rat testis tissue lysates, Lane 3: rat PC-12 whole cell lysates, Lane 4: rat C6 whole cell lysates, Lane 5: mouse testis tissue lysates, Lane 6: mouse NIH/3T3 whole cell lysates. After electrophoresis, proteins were transferred to a nitrocellulose membrane at 150 mA for 50-90 minutes. Blocked the membrane with 5% non-fat milk/TBS for 1.5 hour at RT. The membrane was incubated with rabbit anti-TTC34 antibody at 0.5 ug/ml overnight at 4oC, then washed with TBS-0.1%Tween 3 times with 5 minutes each and probed with a goat anti-rabbit IgG-HRP secondary antibody at a dilution of 1:5000 for 1.5 hour at RT. The signal was developed using enhanced chemiluminescent. The expected band size for TTC34 is at 61 kDa but it is commonly observed at 48-55 kDa due the proteins TPR-repeat/highly acidic/low SDS-binding regions composition causing it to migrate faster in SDS-PAGE.
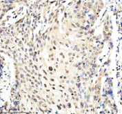
IHC analysis of TTC34 using anti-TTC34 antibody. TTC34 was detected in a paraffin-embedded section of human cervical cancer tissue. Heat mediated antigen retrieval was performed in EDTA buffer (pH 8.0, epitope retrieval solution). The tissue section was blocked with 10% goat serum. The tissue section was then incubated with 2 ug/ml rabbit anti-TTC34 antibody overnight at 4oC. Peroxidase Conjugated Goat Anti-rabbit IgG was used as secondary antibody and incubated for 30 minutes at 37oC. The tissue section was developed using an HRP secondary and DAB substrate.
Flow Cytometry analysis of Jurkat cells using anti-TTC34 antibody. Overlay histogram showing Jurkat cells stained with (Blue line). The cells were fixed with 4% paraformaldehyde and blocked with 10% normal goat serum. And then incubated with rabbit anti-TTC34 antibody (1 ug/million cells) for 30 min at 20oC. DyLight 488 conjugated goat anti-rabbit IgG (5-10 ug/million cells) was used as secondary antibody for 30 minutes at 20oC. Isotype control antibody (Green line) was rabbit IgG (1 ug/million cells) used under the same conditions. Unlabelled sample without incubation with primary antibody and secondary antibody (Red line) was used as a blank control.
Availability 1-2 days
Species Reactivity Human, Mouse, Rat
Format Lyophilized
Host Rabbit
Clonality Polyclonal (rabbit origin)
Isotype Rabbit IgG
Purity Immunogen affinity purified
Buffer Each vial contains 4 mg Trehalose, 0.9 mg NaCl, 0.2 mg Na2HPO4.
UniProt A8MYJ7
Applications Western Blot : 0.25-0.5ug/ml
Immunohistochemistry : 2-5ug/ml
Immunocytochemistry/Immunofluorescence : 5ug/ml
Flow Cytometry : 1-3ug/million cells
ELISA : 0.1-0.5ug/ml
Limitations This TTC34 antibody is available for research use only.
Review this product on BioCompare and get a $20 Amazon gift card

Description

TTC34 antibody detects Tetratricopeptide repeat protein 34, encoded by the TTC34 gene on chromosome 1p31.1. TTC34 belongs to the tetratricopeptide repeat (TPR) family of proteins, which contain arrays of degenerate 34-amino acid motifs forming alpha-helical structures that mediate protein-protein interactions. While the specific functions of TTC34 remain under investigation, TPR-containing proteins are broadly involved in scaffolding multiprotein complexes that regulate diverse processes such as transcription, cell cycle control, mitochondrial dynamics, and chaperone function.

TTC34 expression has been identified in multiple tissues, with notable abundance in brain and reproductive organs, suggesting roles in specialized cellular contexts. The protein is predicted to act as a molecular scaffold, bringing together signaling molecules and enzymes in subcellular compartments. Comparative genomics reveals strong conservation of TTC34 orthologs across vertebrates, supporting its importance in fundamental cellular processes.

Although TTC34 remains relatively uncharacterized, studies suggest possible involvement in centrosomal organization and cytoskeletal regulation. Proteomic analyses indicate potential interactions with kinases, transcription factors, and chromatin regulators. By binding client proteins through TPR motifs, TTC34 may influence stability, localization, or activity of regulatory complexes. TTC34 antibody is therefore an important research tool for identifying TTC34 expression patterns and elucidating its emerging biological roles.

Experimentally, TTC34 antibody is applied in immunoblotting, immunohistochemistry, and immunofluorescence to detect protein distribution in tissues and cultured cells. It provides a means to study expression changes under developmental, stress, or disease conditions. As researchers continue to map the interactome of TTC34, this antibody will facilitate validation of binding partners and characterization of its structural domains. NSJ Bioreagents provides TTC34 antibody to ensure high-specificity detection for advancing knowledge of this poorly studied protein.

Application Notes

Optimal dilution of the TTC34 antibody should be determined by the researcher.

Immunogen

E.coli-derived human TTC34 recombinant protein (Position: M1-Q526) was used as the immunogen for the TTC34 antibody.

Storage

After reconstitution, the TTC34 antibody can be stored for up to one month at 4oC. For long-term, aliquot and store at -20oC. Avoid repeated freezing and thawing.

Cross
Bulk Quote Request Form
Name*:
Organization*:
Email*:
Phone Number*:
Catalog No.*:
Comments and Specifics(amount, formulation, etc.)*:
Validation code: Captchapackage Image


Can't read the image? click here to refresh.
    *required field

Your bulk quote request has been submitted successfully!

Please contact us if you have any questions.