• Tel: 858.663.9055
  • SeparatorEmail: info@nsjbio.com
  • Tel: 858.663.9055
  • Email: info@nsjbio.com
Home >> Antibodies >> TSR2 Antibody

TSR2 Antibody (RQ7602)

  Catalog No Formulation Size Price (USD)  
Image RQ7602 0.5mg/ml if reconstituted with 0.2ml sterile DI water 100 ug 449
Bulk quote request
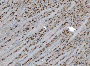
IHC staining of FFPE mouse brain tissue with TSR2 antibody. HIER: boil tissue sections in pH8 EDTA for 20 min and allow to cool before testing.
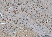
IHC staining of FFPE rat brain tissue with TSR2 antibody. HIER: boil tissue sections in pH8 EDTA for 20 min and allow to cool before testing.
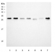
Western blot testing of 1) human HeLa, 2) human 293T, 3) human A549, 4) human MCF7, 5) rat brain, 6) mouse kidney and 7) mouse brain tissue with TSR2 antibody. Predicted molecular weight ~23 kDa, commonly observed at 23-30 kDa.
Availability 1-3 business days
Species Reactivity Human, Mouse, Rat
Format Antigen affinity purified
Host Rabbit
Clonality Polyclonal (rabbit origin)
Isotype Rabbit IgG
Purity Antigen affinity purified
Buffer Lyophilized from 1X PBS with 2% Trehalose
UniProt Q969E8
Localization Nuclear
Applications Western Blot : 0.5-1ug/ml
Immunohistochemistry (FFPE) : 2-5ug/ml
Direct ELISA : 0.1-0.5ug/ml
Limitations This TSR2 antibody is available for research use only.
Review this product on BioCompare and get a $20 Amazon gift card

Description

TSR2 ribosome maturation factor is a protein that in humans is encoded by the TSR2 gene. The protein encoded by this gene appears to repress the transcription of NF-kappaB and may be involved in apoptosis. Defects in this gene are a cause of Diamond-Blackfan anemia.

Application Notes

Optimal dilution of the TSR2 antibody should be determined by the researcher.

Immunogen

E. coli-derived recombinant human protein (amino acids M1-E176) was used as the immunogen for the TSR2 antibody.

Storage

After reconstitution, the TSR2 antibody can be stored for up to one month at 4oC. For long-term, aliquot and store at -20oC. Avoid repeated freezing and thawing.

Cross
Bulk Quote Request Form
Name*:
Organization*:
Email*:
Phone Number*:
Catalog No.*:
Comments and Specifics(amount, formulation, etc.)*:
Validation code: Captchapackage Image


Can't read the image? click here to refresh.
    *required field

Your bulk quote request has been submitted successfully!

Please contact us if you have any questions.