• Tel: 858.663.9055
  • SeparatorEmail: info@nsjbio.com
  • Tel: 858.663.9055
  • Email: info@nsjbio.com
Home >> Antibodies >> TSP5 Antibody / COMP

TSP5 Antibody / COMP (F54435)

  Catalog No Formulation Size Price (USD)  
Image F54435-0.4ML In 1X PBS, pH 7.4, with 0.09% sodium azide 0.4 ml 439
Image
F54435-0.08ML In 1X PBS, pH 7.4, with 0.09% sodium azide 0.08 ml 205
Bulk quote request
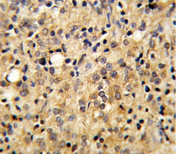
IHC testing of FFPE human prostate carcinoma tissue with TSP5 antibody. HIER: steam section in pH6 citrate buffer for 20 min and allow to cool prior to staining.
Western blot testing of 1) human skeletal muscle, 2) mouse ATDC5, 3) HUVEC, 4) human Jurkat, 5) human MG-63 and 6) human U-2 OS lysate with TSP5 antibody. Expected molecular weight: 83-100 kDa depending on glycosylation level.
Western blot testing of rat skeletal muscle lysate with TSP5 antibody. Expected molecular weight: 83-100 kDa depending on glycosylation level.
Flow cytometry testing of fixed and permeabilized human HepG2 cells with TSP5 antibody; Blue=isotype control, Green= TSP5 antibody.
Availability 1-3 business days
Species Reactivity Human
Format Purified
Host Rabbit
Clonality Polyclonal (rabbit origin)
Isotype Rabbit Ig
Purity Antigen affinity purified
UniProt P49747
Localization Secreted
Applications Immunohistochemistry (FFPE) : 1:25
Western Blot : 1:500-1:2000
Flow Cytometry : 1:25 (1x10e6 cells)
Limitations This TSP5 antibody is available for research use only.
Review this product on BioCompare and get a $20 Amazon gift card

Related Products

Description

COMP/TSP5 is a noncollagenous extracellular matrix (ECM) protein. It consists of five identical glycoprotein subunits, each with EGF-like and calcium-binding (thrombospondin-like) domains. Oligomerization results from formation of a five-stranded coiled coil and disulfides. Binding to other ECM proteins such as collagen appears to depend on divalent cations.

Application Notes

The stated application concentrations are suggested starting points. Titration of the TSP5 antibody may be required due to differences in protocols and secondary/substrate sensitivity.

Immunogen

A portion of amino acids 314-343 from the human protein was used as the immunogen for the TSP5 antibody.

Storage

Aliquot the TSP5 antibody and store frozen at -20oC or colder. Avoid repeated freeze-thaw cycles.

Cross
Bulk Quote Request Form
Name*:
Organization*:
Email*:
Phone Number*:
Catalog No.*:
Comments and Specifics(amount, formulation, etc.)*:
Validation code: Captchapackage Image


Can't read the image? click here to refresh.
    *required field

Your bulk quote request has been submitted successfully!

Please contact us if you have any questions.