• Tel: 858.663.9055
  • SeparatorEmail: info@nsjbio.com
  • Tel: 858.663.9055
  • Email: info@nsjbio.com
Home >> Antibodies >> TSHR Antibody (beta chain)

TSHR Antibody (beta chain) [clone TSHRB/1405] (V3446)

  Catalog No Formulation Size Price (USD)  
Image V3446-100UG 0.2 mg/ml in 1X PBS with 0.1 mg/ml BSA (US sourced) and 0.05% sodium azide 100 ug 559
Image
V3446-20UG 0.2 mg/ml in 1X PBS with 0.1 mg/ml BSA (US sourced) and 0.05% sodium azide 20 ug 259
Image
V3446SAF-100UG 1 mg/ml in 1X PBS; BSA free, sodium azide free 100 ug 559
Bulk quote request
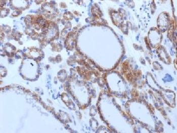
IHC testing of FFPE human thyroid carcinoma with TSHR antibody (clone TSHRB/1405). Required HIER: boil tissue sections in 10mM Tris buffer with 1mM EDTA, pH 8, for 10-20 min followed by cooling at RT for 20 min.
SDS-PAGE Analysis of Purified, BSA-Free TSHR Antibody (clone TSHRA/1405). Confirmation of Integrity and Purity of the Antibody.
Availability 1-3 business days
Species Reactivity Human
Format Purified
Host Mouse
Clonality Monoclonal (mouse origin)
Isotype Mouse IgG2a, kappa
Clone Name TSHRB/1405
Purity Protein G affinity chromatography
Buffer 1X PBS, pH 7.4
UniProt P16473
Localization Cytoplasmic, cell surface
Applications Immunohistochemistry (FFPE) : 1-2ug/ml for 30 min at RT
Limitations This TSHR antibody is available for research use only.
Review this product on BioCompare and get a $20 Amazon gift card

Related Products

Description

Thyroid-stimulating hormone (TSH, also known as thyrotropin) is a glycoprotein involved in the control of thyroid structure and metabolism, which stimulates the release of the thyroid hormones. TSH is regulated by thyroid hormone (T3) and various retinoid compounds. TSH binds to the thyroid-stimulating hormone receptor (TSHR), which is cleaved into two subunits, A and B, and plays a major role in regulating thyroid function. The third cytoplasmic loop of TSHR has been identified as critical for its role in regulating inositol phosphate and cAMP formation. In Graves disease, an autoimmune disorder, TSHR is activated by autoantibodies, which may be stimulated by the cleavage of the A and B subunits.

Application Notes

The concentration stated for each application is a general starting point. Variations in protocols, secondaries and substrates may require the TSHR antibody to be titered up or down for optimal performance.

Immunogen

Recombinant human TSH Receptor beta chain protein was used as the immunogen for this TSHR antibody.

Storage

Store the TSHR antibody at 2-8oC (with azide) or aliquot and store at -20oC or colder (without azide).

Cross
Bulk Quote Request Form
Name*:
Organization*:
Email*:
Phone Number*:
Catalog No.*:
Comments and Specifics(amount, formulation, etc.)*:
Validation code: Captchapackage Image


Can't read the image? click here to refresh.
    *required field

Your bulk quote request has been submitted successfully!

Please contact us if you have any questions.