• Tel: 858.663.9055
  • SeparatorEmail: info@nsjbio.com
  • Tel: 858.663.9055
  • Email: info@nsjbio.com
Home >> Antibodies >> TSH beta Antibody / TSHB

TSH beta Antibody / TSHB (F54984)

  Catalog No Formulation Size Price (USD)  
Image F54984-0.4ML In 1X PBS, pH 7.4, with 0.09% sodium azide 0.4 ml 439
Image
F54984-0.08ML In 1X PBS, pH 7.4, with 0.09% sodium azide 0.08 ml 205
Bulk quote request
Flow cytometry testing of human MDA-MB-231 cells with TSH beta antibody; Blue=isotype control, Green= TSH beta antibody.
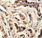
IHC testing of FFPE human breast cancer tissue with TSH beta antibody. HIER: steam section in pH6 citrate buffer for 20 min and allow to cool prior to staining.
Immunofluorescent staining of human MDA-MB-231 cells with TSH beta antibody (green) and DAPI nuclear stain (blue).
Western blot testing of human MDA-MB-231 cell lysate with TSH beta antibody. Predicted molecular weight ~16 kDa.
Availability 1-3 business days
Species Reactivity Human
Format Purified
Host Rabbit
Clonality Polyclonal (rabbit origin)
Isotype Rabbit Ig
Purity Antigen affinity purified
UniProt P01222
Localization Cytoplasmic
Applications Immunofluorescence : 1:10-1:50
Flow Cytometry : 1:10-1:50 (1x10e6 cells)
Immunohistochemistry (FFPE) : 1:50-1:100
Western Blot : 1:500-1:1000
Limitations This TSH beta antibody is available for research use only.
Review this product on BioCompare and get a $20 Amazon gift card

Related Products

Description

TSH beta is indispensable for the control of thyroid structure and metabolism.

Application Notes

The stated application concentrations are suggested starting points. Titration of the TSH beta antibody may be required due to differences in protocols and secondary/substrate sensitivity.

Immunogen

A portion of amino acids 58-86 from the human protein was used as the immunogen for the TSH beta antibody.

Storage

Aliquot the TSH beta antibody and store frozen at -20oC or colder. Avoid repeated freeze-thaw cycles.

Cross
Bulk Quote Request Form
Name*:
Organization*:
Email*:
Phone Number*:
Catalog No.*:
Comments and Specifics(amount, formulation, etc.)*:
Validation code: Captchapackage Image


Can't read the image? click here to refresh.
    *required field

Your bulk quote request has been submitted successfully!

Please contact us if you have any questions.