• Tel: 858.663.9055
  • SeparatorEmail: info@nsjbio.com
  • Tel: 858.663.9055
  • Email: info@nsjbio.com
Home >> Antibodies >> TSC1 Antibody (Hamartin)

TSC1 Antibody (Hamartin) (R31119)

  Catalog No Formulation Size Price (USD)  
Image R31119 0.5mg/ml if reconstituted with 0.2ml sterile DI water 100 ug 449
Bulk quote request
Western blot testing of TSC1 antbody and rat samples: 1. skeletal muscle; 2. heart; 3. brain; 4. lung; and human samples: 5. 293T; 6. HeLa; 7. HT1080; 8. SMMC-7721. Expected/observed molecular weight: 130~150 kDa.
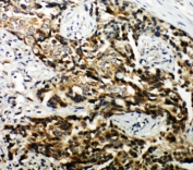
IHC-P: TSC1 antibody testing of human breast cancer tissue
IHC-P: TSC1 antibody testing of rat brain tissue
Availability 1-3 business days
Species Reactivity Human, Mouse, Rat
Format Antigen affinity purified
Host Rabbit
Clonality Polyclonal (rabbit origin)
Isotype Rabbit IgG
Purity Antigen affinity
Buffer Lyophilized from 1X PBS with 2.5% BSA and 0.025% sodium azide/thimerosal
UniProt Q92574
Applications Western Blot : 0.5-1ug/ml
Immunohistochemistry (FFPE) : 0.5-1ug/ml
Limitations This TSC1 antibody is available for research use only.
Review this product on BioCompare and get a $20 Amazon gift card

Related Products

Description

TSC1 (Tuberous Sclerosis 1), also called Hamartin, is a human protein and gene. As part of a comprehensive strategy to identify the gene mutant in tuberous sclerosis-1, van Slegtenhorst et al.(1997) developed an overlapping contig of clones from the 1.4-Mb TSC1 region on chromosome 9. Benvenuto et al.(2000) showed that overexpression of the TSC1 gene in rat fibroblasts inhibits growth and causes changes in cell morphology. Van Slegtenhorst et al.(1998) showed that hamartin and tuberin associate physically in vivo, however, and that the interaction is mediated by predicted coiled-coil domains.

Application Notes

The stated application concentrations are suggested starting amounts. Titration of the TSC1 antibody may be required due to differences in protocols and secondary/substrate sensitivity.

Immunogen

An amino acid sequence from the C-terminus of human Tuberous Sclerosis 1 (QLHIMDYNETHHEHS) was used as the immunogen for this TSC1 antibody (100% rat homology).

Storage

After reconstitution, the TSC1 antibody can be stored for up to one month at 4oC. For long-term, aliquot and store at -20oC. Avoid repeated freezing and thawing.

Cross
Bulk Quote Request Form
Name*:
Organization*:
Email*:
Phone Number*:
Catalog No.*:
Comments and Specifics(amount, formulation, etc.)*:
Validation code: Captchapackage Image


Can't read the image? click here to refresh.
    *required field

Your bulk quote request has been submitted successfully!

Please contact us if you have any questions.