• Tel: 858.663.9055
  • SeparatorEmail: info@nsjbio.com
  • Tel: 858.663.9055
  • Email: info@nsjbio.com
Home >> Antibodies >> TRPV5 Antibody

TRPV5 Antibody (RQ5559)

  Catalog No Formulation Size Price (USD)  
Image RQ5559 0.5mg/ml if reconstituted with 0.2ml sterile DI water 100 ug 449
Bulk quote request
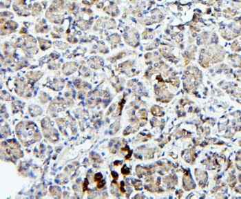
IHC staining of FFPE human pancreatic cancer with TRPV5 antibody. HIER: boil tissue sections in pH6, 10mM citrate buffer, for 20 min and allow to cool before testing.
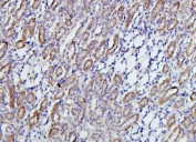
IHC staining of FFPE mouse kidney with TRPV5 antibody. HIER: boil tissue sections in pH6, 10mM citrate buffer, for 20 min and allow to cool before testing.
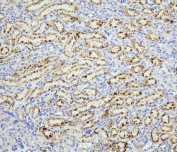
IHC staining of FFPE rat kidney with TRPV5 antibody. HIER: boil tissue sections in pH6, 10mM citrate buffer, for 20 min and allow to cool before testing.
Western blot testing of 1) monkey COS-7, 2) human U-87 MG, 3) human HeLa and 4) human HepG2 lysate with TRPV5 antibody. Western blot testing of human pancreas lysate with TRPV5 antibody at 1ug/ml. Predicted/observed molecular weight: ~85 kDa.
Flow cytometry testing of human U-87 MG cells with TRPV5 antibody at 1ug/million cells (blocked with goat sera); Red=cells alone, Green=isotype control, Blue= TRPV5 antibody.
Flow cytometry testing of human HepG2 cells with TRPV5 antibody at 1ug/million cells (blocked with goat sera); Red=cells alone, Green=isotype control, Blue= TRPV5 antibody.
Availability 1-3 business days
Species Reactivity Human, Mouse, Rat
Format Antigen affinity purified
Host Rabbit
Clonality Polyclonal (rabbit origin)
Isotype Rabbit IgG
Purity Affinity purified
Buffer Lyophilized from 1X PBS with 2% Trehalose and 0.025% sodium azide
UniProt Q9NQA5
Applications Western Blot : 0.25-0.5ug/ml
Immunohistochemistry (FFPE) : 1-2ug/ml
Flow Cytometry : 1-3ug/million cells
Direct ELISA : 0.1-0.5ug/ml
Limitations This TRPV5 antibody is available for research use only.
Review this product on BioCompare and get a $20 Amazon gift card

Related Products

  • Applications : WB, ELISA
    Reactivity : Human
  • Applications : WB, ICC, IF, ELISA (peptide)
    Reactivity : Human
    Pred. Reactivity : Cow, Dog, Mouse, Pig, Rat
  • Applications : WB
    Reactivity : Human, Rat
  • Applications : WB, ICC, IF, ELISA (peptide)
    Reactivity : Human
    Pred. Reactivity : Cow, Dog, Mouse, Pig, Rat

Description

Transient receptor potential cation channel subfamily V member 5 is a protein that in humans is encoded by the TRPV5 gene. This gene is a member of the transient receptor family and the TrpV subfamily. The calcium-selective channel encoded by this gene has 6 transmembrane-spanning domains, multiple potential phosphorylation sites, an N-linked glycosylation site, and 5 ANK repeats. And this protein forms homotetramers or heterotetramers and is activated by a low internal calcium level. In addition, TRPV5 is mainly expressed in kidney epithelial cells, where it plays an important role in the reabsorption of Ca2+. Genetic deletion of TRPV5 in mice leads to Ca2+loss in the urine, and consequential hyperparathyroidism, and bone loss.

Application Notes

Optimal dilution of the TRPV5 antibody should be determined by the researcher.

Immunogen

Human recombinant proteins (amino acids Q14-Q74 + H636-F729) were used as the immunogen for the TRPV5 antibody.

Storage

After reconstitution, the TRPV5 antibody can be stored for up to one month at 4oC. For long-term, aliquot and store at -20oC. Avoid repeated freezing and thawing.

Cross
Bulk Quote Request Form
Name*:
Organization*:
Email*:
Phone Number*:
Catalog No.*:
Comments and Specifics(amount, formulation, etc.)*:
Validation code: Captchapackage Image


Can't read the image? click here to refresh.
    *required field

Your bulk quote request has been submitted successfully!

Please contact us if you have any questions.