• Tel: 858.663.9055
  • SeparatorEmail: info@nsjbio.com
  • Tel: 858.663.9055
  • Email: info@nsjbio.com
Home >> Antibodies >> TRPV3 Antibody

TRPV3 Antibody (RQ5541)

  Catalog No Formulation Size Price (USD)  
Image RQ5541 0.5mg/ml if reconstituted with 0.2ml sterile DI water 100 ug 449
Bulk quote request
Western blot testing of human 1) MDA-MB-453, 2) Caco-2, 3) PC-3 and 4) HeLa lysate with TRPV3 antibody. Predicted molecular weight ~90 kDa.
IHC staining of FFPE human breast cancer with TRPV3 antibody. HIER: boil tissue sections in pH6, 10mM citrate buffer, for 20 min and allow to cool before testing.
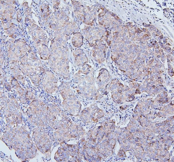
IHC staining of FFPE human intestinal cancer with TRPV3 antibody. HIER: boil tissue sections in pH6, 10mM citrate buffer, for 20 min and allow to cool before testing.
Flow cytometry testing of human Caco-2 cells with TRPV3 antibody at 1ug/million cells (blocked with goat sera); Red=cells alone, Green=isotype control, Blue= TRPV3 antibody.
Flow cytometry testing of human A431 cells with TRPV3 antibody at 1ug/million cells (blocked with goat sera); Red=cells alone, Green=isotype control, Blue= TRPV3 antibody.
Availability 1-3 business days
Species Reactivity Human
Format Antigen affinity purified
Host Rabbit
Clonality Polyclonal (rabbit origin)
Isotype Rabbit IgG
Purity Affinity purified
Buffer Lyophilized from 1X PBS with 2% Trehalose and 0.025% sodium azide
UniProt Q8NET8
Applications Western Blot : 0.25-0.5ug/ml
Immunohistochemistry (FFPE) : 1-2ug/ml
Flow Cytometry : 1-3ug/million cells
Direct ELISA : 0.1-0.5ug/ml
Limitations This TRPV3 antibody is available for research use only.
Review this product on BioCompare and get a $20 Amazon gift card

Related Products

  • Applications : WB
    Reactivity : Human
  • Applications : WB, IHC, ELISA
    Reactivity : Human
  • Applications : WB, IHC, ELISA
    Reactivity : Human, Mouse
  • Applications : WB
    Reactivity : Human

Description

TRPV3 (Transient Receptor Potential Cation Channel Subfamily V Member 3), also known as VRL3, is a human gene encoding the protein of the same name. The TRPV3 protein belongs to a family of nonselective cation channels that function in a variety of processes, including temperature sensation and vasoregulation. Peier et al. localized the TRPV3 gene to a BAC clone mapped to chromosome 17p13. They mapped the mouse gene to chromosome 11B4. Peier et al. stably expressed mouse Trpv3 in Chinese hamster ovary cells and assayed electrophysiologic activity by whole cell voltage-clamp techniques. They determined that Trpv3 is a cation-permeable channel activated by warm and hot temperatures. Xu et al. showed that increasing temperature from approximately 22 to 40 degrees Celsius in mammalian cells transfected with human TRPV3 elevated intracellular calcium by activating a nonselective cationic conductance.

Application Notes

Optimal dilution of the TRPV3 antibody should be determined by the researcher.

Immunogen

A human recombinant protein (amino acids E28-V790) was used as the immunogen for the TRPV3 antibody.

Storage

After reconstitution, the TRPV3 antibody can be stored for up to one month at 4oC. For long-term, aliquot and store at -20oC. Avoid repeated freezing and thawing.

Cross
Bulk Quote Request Form
Name*:
Organization*:
Email*:
Phone Number*:
Catalog No.*:
Comments and Specifics(amount, formulation, etc.)*:
Validation code: Captchapackage Image


Can't read the image? click here to refresh.
    *required field

Your bulk quote request has been submitted successfully!

Please contact us if you have any questions.