• Tel: 858.663.9055
  • SeparatorEmail: info@nsjbio.com
  • Tel: 858.663.9055
  • Email: info@nsjbio.com
Home >> Antibodies >> TRPM8 Antibody

TRPM8 Antibody (F41678)

  Catalog No Formulation Size Price (USD)  
Image F41678-0.4ML In 1X PBS, pH 7.4, with 0.09% sodium azide 0.4 ml 439
Image
F41678-0.08ML In 1X PBS, pH 7.4, with 0.09% sodium azide 0.08 ml 205
Bulk quote request
Western blot analysis of lysate from LNCaP cell line using TRPM8 antibody at 1:1000. Predicted molecular weight ~128 kDa.
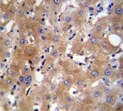
TRPM8 antibody immunohistochemistry analysis in formalin fixed and paraffin embedded human liver tissue.
Confocal immunofluorescent analysis of TRPM8 antibody with A375 cells followed by Alexa Fluor 488-conjugated goat anti-rabbit lgG (green). DAPI was used as a nuclear counterstain (blue).
Availability 1-3 business days
Species Reactivity Human
Format Purified
Host Rabbit
Clonality Polyclonal (rabbit origin)
Isotype Rabbit Ig
Purity Purified
UniProt Q7Z2W7
Applications Western Blot : 1:1000
IHC (Paraffin) : 1:50-1:100
Immunofluorescence : 1:10-1:50
Limitations This TRPM8 antibody is available for research use only.
Review this product on BioCompare and get a $20 Amazon gift card

Related Products

  • Applications : WB, IHC, ELISA
    Reactivity : Human
  • Applications : WB, IHC, ELISA
    Reactivity : Human
    Pred. Reactivity : Rat
  • Applications : WB, IHC, ELISA
    Reactivity : Human
  • Applications : WB, IHC, ELISA
    Reactivity : Human
    Pred. Reactivity : Mouse
  • Applications : WB
    Reactivity : Human

Description

Receptor-activated non-selective cation channel involved in detection of sensations such as coolness, by being activated by cold temperature below 25 degrees Celsius. Activated by icilin, eucalyptol, menthol, cold and modulation of intracellular pH. Involved in menthol sensation. Permeable for monovalent cations sodium, potassium, and cesium and divalent cation calcium. Temperature sensing is tightly linked to voltage-dependent gating. Activated upon depolarization, changes in temperature resulting in graded shifts of its voltage-dependent activation curves. The chemical agonists menthol functions as a gating modifier, shifting activation curves towards physiological membrane potentials. Temperature sensitivity arises from a tenfold difference in the activation energies associated with voltage-dependent opening and closing.

Application Notes

Titration of the TRPM8 antibody may be required due to differences in protocols and secondary/substrate sensitivity.

Immunogen

A portion of amino acids 263-292 from the human protein was used as the immunogen for this TRPM8 antibody.

Storage

Aliquot the TRPM8 antibody and store frozen at -20oC or colder. Avoid repeated freeze-thaw cycles.

Cross
Bulk Quote Request Form
Name*:
Organization*:
Email*:
Phone Number*:
Catalog No.*:
Comments and Specifics(amount, formulation, etc.)*:
Validation code: Captchapackage Image


Can't read the image? click here to refresh.
    *required field

Your bulk quote request has been submitted successfully!

Please contact us if you have any questions.