• Tel: 858.663.9055
  • SeparatorEmail: info@nsjbio.com
  • Tel: 858.663.9055
  • Email: info@nsjbio.com
Home >> Antibodies >> TRPM7 Antibody

TRPM7 Antibody (F40171)

  Catalog No Formulation Size Price (USD)  
Image F40171-0.4ML In 1X PBS, pH 7.4, with 0.09% sodium azide 0.4 ml 439
Image
F40171-0.08ML In 1X PBS, pH 7.4, with 0.09% sodium azide 0.08 ml 205
Bulk quote request
Western blot analysis of CHAK1 / TRPM7 antibody and mouse kidney tissue lysate.
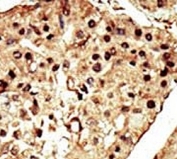
IHC analysis of FFPE human hepatocarcinoma stained with the TRPM7 antibody
TRPM7 antibody western blot analysis in 293 lysate
Availability 1-3 business days
Species Reactivity Human, Mouse
Format Purified
Host Rabbit
Clonality Polyclonal (rabbit origin)
Isotype Rabbit Ig
Purity Purified
UniProt Q96QT4
Applications Western Blot : 1:1000
IHC (Paraffin) : 1:50-1:100
Limitations This TRPM7 antibody is available for research use only.
Review this product on BioCompare and get a $20 Amazon gift card

Related Products

  • Applications : IHC, ELISA (peptide)
    Reactivity : Mouse
    Pred. Reactivity : Dog, Human, Pig, Rat
  • Applications : WB, IF, FACS, Direct ELISA
    Reactivity : Human

Description

TRPCs, mammalian homologs of the Drosophila transient receptor potential (trp) protein, are ion channels that are thought to mediate capacitative calcium entry into the cell. TRP-PLIK is a protein that is both an ion channel and a kinase. As a channel, it conducts calcium and monovalent cations to depolarize cells and increase intracellular calcium. As a kinase, it is capable of phosphorylating itself and other substrates. The kinase activity is necessary for channel function, as shown by its dependence on intracellular ATP and by the kinase mutants.[supplied by OMIM]

Application Notes

Titration of the TRPM7 antibody may be required due to differences in protocols and secondary/substrate sensitivity.

Immunogen

A portion of amino acids 1821-1850 from the human protein was used as the immunogen for this TRPM7 antibody.

Storage

Aliquot the TRPM7 antibody and store frozen at -20oC or colder. Avoid repeated freeze-thaw cycles.

Cross
Bulk Quote Request Form
Name*:
Organization*:
Email*:
Phone Number*:
Catalog No.*:
Comments and Specifics(amount, formulation, etc.)*:
Validation code: Captchapackage Image


Can't read the image? click here to refresh.
    *required field

Your bulk quote request has been submitted successfully!

Please contact us if you have any questions.