• Tel: 858.663.9055
  • SeparatorEmail: info@nsjbio.com
  • Tel: 858.663.9055
  • Email: info@nsjbio.com
Home >> Antibodies >> TRPM6 Antibody

TRPM6 Antibody (F50991)

  Catalog No Formulation Size Price (USD)  
Image F50991-0.4ML In 1X PBS, pH 7.4, with 0.09% sodium azide 0.4 ml 439
Image
F50991-0.08ML In 1X PBS, pH 7.4, with 0.09% sodium azide 0.08 ml 205
Bulk quote request
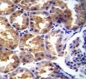
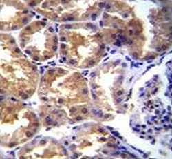
TRPM6 antibody immunohistochemistry analysis in formalin fixed and paraffin embedded human kidney tissue.
TRPM6 antibody western blot analysis in CEM lysate
Availability 1-3 business days
Species Reactivity Human
Format Antigen affinity purified
Host Rabbit
Clonality Polyclonal (rabbit origin)
Isotype Rabbit Ig
Purity Antigen affinity
UniProt Q9BX84
Applications Western Blot : 1:1000
IHC (Paraffin) : 1:10-1:50
Limitations This TRPM6 antibody is available for research use only.
Review this product on BioCompare and get a $20 Amazon gift card

Description

CHAK2 is a member of the ion channel proteins. It regulates the calcium concentration in cells, which is imperative for such functions as muscle contractions and neuronal firing. It is also upregulated in certain forms of cancer and could play a role in diabetes.

Application Notes

Titration of the TRPM6 antibody may be required due to differences in protocols and secondary/substrate sensitivity.

Immunogen

A portion of amino acids 317-348 from the human protein was used as the immunogen for this TRPM6 antibody.

Storage

Aliquot the TRPM6 antibody and store frozen at -20oC or colder. Avoid repeated freeze-thaw cycles.

Cross
Bulk Quote Request Form
Name*:
Organization*:
Email*:
Phone Number*:
Catalog No.*:
Comments and Specifics(amount, formulation, etc.)*:
Validation code: Captchapackage Image


Can't read the image? click here to refresh.
    *required field

Your bulk quote request has been submitted successfully!

Please contact us if you have any questions.