• Tel: 858.663.9055
  • SeparatorEmail: info@nsjbio.com
  • Tel: 858.663.9055
  • Email: info@nsjbio.com
Home >> Antibodies >> TRPM4 Antibody

TRPM4 Antibody (R32286)

  Catalog No Formulation Size Price (USD)  
Image R32286 0.5mg/ml if reconstituted with 0.2ml sterile DI water 100 ug 449
Bulk quote request
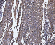
IHC staining of FFPE human prostate cancer tissue with TRPM4 antibody. HIER: boil tissue sections in pH8 EDTA for 20 min and allow to cool before testing.
IHC staining of FFPE human squamous cell carcinoma of cervix tissue with TRPM4 antibody. HIER: boil tissue sections in pH8 EDTA for 20 min and allow to cool before testing.
Western blot testing of human HeLa cell lysate with TRPM4 antibody. Predicted molecular weight: 116/134/119 kDa,(TRPM4a/b/c).
Availability 1-3 business days
Species Reactivity Human
Format Antigen affinity purified
Host Rabbit
Clonality Polyclonal (rabbit origin)
Isotype Rabbit IgG
Purity Antigen affinity
Buffer Lyophilized from 1X PBS with 2% Trehalose
UniProt Q8TD43
Localization Cytoplasmic, membranous
Applications Western Blot : 0.5-1ug/ml
Immunohistochemistry (FFPE) : 2-5ug/ml
Limitations This TRPM4 antibody is available for research use only.
Review this product on BioCompare and get a $20 Amazon gift card

Related Products

Description

Transient receptor potential cation channel subfamily M member 4 (hTRPM4), also known as melastatin-4, is a protein that in humans is encoded by the TRPM4 gene. It is mapped to 19q13.33. The protein encoded by this gene is a calcium-activated nonselective ion channel that mediates transport of monovalent cations across membranes, thereby depolarizing the membrane. The activity of the encoded protein increases with increasing intracellular calcium concentration, but this channel does not transport calcium. Two transcript variants encoding different isoforms have been found for this gene.

Application Notes

Optimal dilution of the TRPM4 antibody should be determined by the researcher.

Immunogen

Amino acids 1079-1214 of human TRPM4 were used as the immunogen for the TRPM4 antibody.

Storage

After reconstitution, the TRPM4 antibody can be stored for up to one month at 4oC. For long-term, aliquot and store at -20oC. Avoid repeated freezing and thawing.

Cross
Bulk Quote Request Form
Name*:
Organization*:
Email*:
Phone Number*:
Catalog No.*:
Comments and Specifics(amount, formulation, etc.)*:
Validation code: Captchapackage Image


Can't read the image? click here to refresh.
    *required field

Your bulk quote request has been submitted successfully!

Please contact us if you have any questions.