• Tel: 858.663.9055
  • SeparatorEmail: info@nsjbio.com
  • Tel: 858.663.9055
  • Email: info@nsjbio.com
Home >> Antibodies >> TRPC6 Antibody

TRPC6 Antibody (R30847)

  Catalog No Formulation Size Price (USD)  
Image R30847 0.5mg/ml if reconstituted with 0.2ml sterile DI water 100 ug 449
Bulk quote request
Western blot testing of TRPC6 antibody and Lane 1: rat lung; 2: human 293T cell lysate. Predicted molecular weight: ~106 kDa.
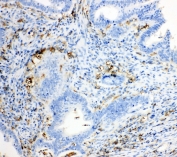
IHC-P: TRPC6 antibody testing of human intestinal cancer tissue
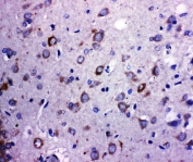
IHC-P: TRPC6 antibody testing of rat brain tissue
Western blot testing of mouse lung lysate with TRPC6 antibody. Predicted molecular weight: ~106 kDa.
Availability 1-3 business days
Species Reactivity Human, Mouse, Rat
Format Antigen affinity purified
Host Rabbit
Clonality Polyclonal (rabbit origin)
Isotype Rabbit IgG
Purity Antigen affinity
Buffer Lyophilized from 1X PBS with 2.5% BSA, 0.025% sodium azide/thimerosal
UniProt Q9Y210
Applications Western Blot : 0.5-1ug/ml
Immunohistochemistry (FFPE) : 0.5-1ug/ml
Limitations This TRPC6 antibody is available for research use only.
Review this product on BioCompare and get a $20 Amazon gift card

Related Products

  • Applications : IHC-P
    Reactivity : Human
  • Applications : IHC-P
    Reactivity : Human
  • Applications : WB, ELISA (peptide)
    Reactivity : Human
    Pred. Reactivity : Cow
  • Applications : WB
    Reactivity : Mouse, Rat
    Pred. Reactivity : Human

Description

Transient receptor potential cation channel, subfamily C, member 6, also known as TRP6, is a transient receptor potentialion channel. Northern blot analysis revealed that TRPC6 is expressed primarily in placenta, lung, spleen, ovary, and small intestine. The protein is a nonselective cation channel that is activated by diacylglycerol (DAG) in a membrane-delimited fashion, independently of protein kinase C. Although TRPC3, the closest structural relative of TRPC6, is activated in the same manner, human TRPC1 and mouse Trpc4 and Trpc5 were unresponsive to DAG. Immunofluorescence studies showed that most TRPC6 expression is confined to podocytes. It is also expressed in glomerular endothelial cells. Cardiac-specific overexpression of the protein in transgenic mice resulted in heightened sensitivity to stress, a propensity for lethal cardiac growth and heart failure, and an increase in Nfat-dependent expression of beta-myosin heavy chain(MYH7), a marker for pathologic hypertrophy. Studies of Trpc6 -/- mice showed that it has a role in regulation of smooth muscle tone in blood vessels and lung.

Application Notes

The stated application concentrations are suggested starting amounts. Titration of the TRPC6 antibody may be required due to differences in protocols and secondary/substrate sensitivity.

Immunogen

An amino acid sequence from the middle region of human TRPC6 (HDYFCKCNDCNQKQKHD) was used as the immunogen for this TRPC6 antibody.

Storage

After reconstitution, the TRPC6 antibody can be stored for up to one month at 4oC. For long-term, aliquot and store at -20oC. Avoid repeated freezing and thawing.

Cross
Bulk Quote Request Form
Name*:
Organization*:
Email*:
Phone Number*:
Catalog No.*:
Comments and Specifics(amount, formulation, etc.)*:
Validation code: Captchapackage Image


Can't read the image? click here to refresh.
    *required field

Your bulk quote request has been submitted successfully!

Please contact us if you have any questions.