• Tel: 858.663.9055
  • SeparatorEmail: info@nsjbio.com
  • Tel: 858.663.9055
  • Email: info@nsjbio.com
Home >> Antibodies >> TRNT1 Antibody / tRNA-nucleotidyltransferase 1 / CGI-47

TRNT1 Antibody / tRNA-nucleotidyltransferase 1 / CGI-47 (RQ8213)

  Catalog No Formulation Size Price (USD)  
Image RQ8213 0.5mg/ml if reconstituted with 0.2ml sterile DI water 100 ug 449
Bulk quote request
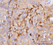
IHC staining of FFPE human lung cancer tissue with TRNT1 antibody. HIER: boil tissue sections in pH8 EDTA for 20 min and allow to cool before testing.
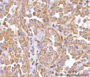
IHC staining of FFPE human rectum adenocarcinoma tissue with TRNT1 antibody. HIER: boil tissue sections in pH8 EDTA for 20 min and allow to cool before testing.
IHC staining of FFPE human tonsil tissue with TRNT1 antibody. HIER: boil tissue sections in pH8 EDTA for 20 min and allow to cool before testing.
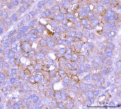
IHC staining of FFPE human liver cancer tissue with TRNT1 antibody. HIER: boil tissue sections in pH8 EDTA for 20 min and allow to cool before testing.
Western blot testing of human 1) MCF7 and 2) HeLa cell lysate with TRNT1 antibody. Predicted molecular weight ~50 kDa.
Availability 1-3 business days
Species Reactivity Human
Format Antigen affinity purified
Host Rabbit
Clonality Polyclonal (rabbit origin)
Isotype Rabbit IgG
Purity Antigen affinity purified
Buffer Lyophilized from 1X PBS with 2% Trehalose
UniProt Q96Q11
Localization Nuclear, cytoplasmic
Applications Western Blot : 0.5-1ug/ml
Immunohistochemistry (FFPE) : 2-5ug/ml
Direct ELISA : 0.1-0.5ug/ml
Limitations This TRNT1 antibody is available for research use only.
Review this product on BioCompare and get a $20 Amazon gift card

Description

tRNA-nucleotidyltransferase 1, is an enzyme that in humans is encoded by the TRNT1 gene. The protein encoded by this gene is a CCA-adding enzyme which belongs to the tRNA nucleotidyltransferase/poly(A) polymerase family. This essential enzyme functions by catalyzing the addition of the conserved nucleotide triplet CCA to the 3' terminus of tRNA molecules. Mutations in this gene result in sideroblastic anemia with B-cell immunodeficiency, periodic fevers, and developmental delay. Alternative splicing results in multiple transcript variants.

Application Notes

Optimal dilution of the TRNT1 antibody should be determined by the researcher.

Immunogen

E. coli-derived recombinant human protein (amino acids M1-Q410) was used as the immunogen for the TRNT1 antibody.

Storage

After reconstitution, the TRNT1 antibody can be stored for up to one month at 4oC. For long-term, aliquot and store at -20oC. Avoid repeated freezing and thawing.

Cross
Bulk Quote Request Form
Name*:
Organization*:
Email*:
Phone Number*:
Catalog No.*:
Comments and Specifics(amount, formulation, etc.)*:
Validation code: Captchapackage Image


Can't read the image? click here to refresh.
    *required field

Your bulk quote request has been submitted successfully!

Please contact us if you have any questions.