• Tel: 858.663.9055
  • SeparatorEmail: info@nsjbio.com
  • Tel: 858.663.9055
  • Email: info@nsjbio.com
Home >> Antibodies >> TRMT61B Antibody / mRNA methyladenosine-N(1)-methyltransferase

TRMT61B Antibody / mRNA methyladenosine-N(1)-methyltransferase (RQ7549)

  Catalog No Formulation Size Price (USD)  
Image RQ7549 0.5mg/ml if reconstituted with 0.2ml sterile DI water 100 ug 449
Bulk quote request
Immunofluorescent staining of FFPE human intestinal cancer tissue with TRMT61B antibody (red) and DAPI nuclear stain (blue). HIER: steam section in pH8 EDTA buffer for 20 min.
IHC staining of FFPE human ovarian cancer tissue with TRMT61B antibody. HIER: boil tissue sections in pH8 EDTA for 20 min and allow to cool before testing.
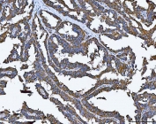
IHC staining of FFPE human colorectal adenocarcinoma tissue with TRMT61B antibody. HIER: boil tissue sections in pH8 EDTA for 20 min and allow to cool before testing.
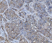
IHC staining of FFPE human liver cancer tissue with TRMT61B antibody. HIER: boil tissue sections in pH8 EDTA for 20 min and allow to cool before testing.
IHC staining of FFPE human spleen tissue with TRMT61B antibody. HIER: boil tissue sections in pH8 EDTA for 20 min and allow to cool before testing.
Western blot testing of human 1) HepG2, 2) HeLa, 3) A549, 4) PC-3, 5) Daudi, 6) SH-SY5Y and 7) A431 cell lysate with TRMT61B antibody. Predicted molecular weight ~53 kDa.
Flow cytometry testing of human 293T cells with TRMT61B antibody at 1ug/million cells (blocked with goat sera); Red=cells alone, Green=isotype control, Blue= TRMT61B antibody.
Availability 1-3 business days
Species Reactivity Human
Format Antigen affinity purified
Host Rabbit
Clonality Polyclonal (rabbit origin)
Isotype Rabbit IgG
Purity Antigen affinity purified
Buffer Lyophilized from 1X PBS with 2% Trehalose
UniProt Q9BVS5
Localization Cytoplasmic (mitochondria)
Applications Western Blot : 0.5-1ug/ml
Immunohistochemistry (FFPE) : 2-5ug/ml
Flow Cytometry : 1-3ug/million cells
Immunofluorescence : 5ug/ml
Direct ELISA : 0.1-0.5ug/ml
Limitations This TRMT61B antibody is available for research use only.
Review this product on BioCompare and get a $20 Amazon gift card

Description

Enables mRNA (adenine-N1-)-methyltransferase activity; rRNA (adenine) methyltransferase activity; and tRNA (adenine-N1-)-methyltransferase activity. Involved in mRNA methylation; mitochondrial tRNA methylation; and protein homooligomerization. Located in mitochondrion.

Application Notes

Optimal dilution of the TRMT61B antibody should be determined by the researcher.

Immunogen

E. coli-derived recombinant human protein (amino acids R7-N477) was used as the immunogen for the TRMT61B antibody.

Storage

After reconstitution, the TRMT61B antibody can be stored for up to one month at 4oC. For long-term, aliquot and store at -20oC. Avoid repeated freezing and thawing.

Cross
Bulk Quote Request Form
Name*:
Organization*:
Email*:
Phone Number*:
Catalog No.*:
Comments and Specifics(amount, formulation, etc.)*:
Validation code: Captchapackage Image


Can't read the image? click here to refresh.
    *required field

Your bulk quote request has been submitted successfully!

Please contact us if you have any questions.