• Tel: 858.663.9055
  • SeparatorEmail: info@nsjbio.com
  • Tel: 858.663.9055
  • Email: info@nsjbio.com
Home >> Antibodies >> TrkC Antibody / NTRK3

TrkC Antibody / NTRK3 [clone NTRK3/7140] (V4396)

  Catalog No Formulation Size Price (USD)  
Image V4396-100UG 0.2 mg/ml in 1X PBS with 0.1 mg/ml BSA (US sourced), 0.05% sodium azide 100 ug 559
Image
V4396-20UG 0.2 mg/ml in 1X PBS with 0.1 mg/ml BSA (US sourced), 0.05% sodium azide 20 ug 259
Image
V4396SAF-100UG 1 mg/ml in 1X PBS; BSA free, sodium azide free 100 ug 559
Bulk quote request
IHC staining of TrkC / NTRK3 antibody (clone NTRK3/7140). FFPE human breast cancer tissue shows HRP-DAB brown membranous and cytoplasmic staining in tumor epithelial cells, consistent with receptor tyrosine kinase localization. Staining of formalin-fixed tissues requires boiling tissue sections in pH 9 10mM Tris with 1mM EDTA for 20 min followed by cooling at RT before testing.
IHC staining of FFPE human tonsil with TrkC antibody (clone NTRK3/7140). HIER: boil tissue sections in pH 9 10mM Tris with 1mM EDTA for 20 min and allow to cool before testing.
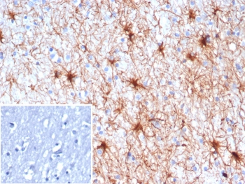
IHC staining of FFPE human brain tissue with TrkC antibody (clone NTRK3/7140). Inset: PBS used in place of primary Ab (secondary Ab negative control). HIER: boil tissue sections in pH 9 10mM Tris with 1mM EDTA for 20 min and allow to cool before testing.
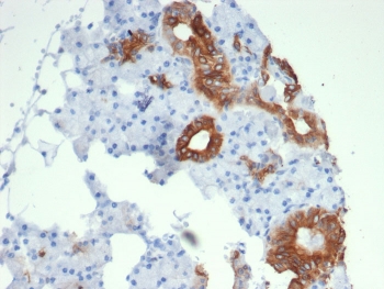
IHC staining of FFPE human salivary gland with TrkC antibody (clone NTRK3/7140). HIER: boil tissue sections in pH 9 10mM Tris with 1mM EDTA for 20 min and allow to cool before testing.
SDS-PAGE analysis of purified, BSA-free TrkC antibody (clone NTRK3/7140) as confirmation of integrity and purity.
Availability 1-3 business days
Species Reactivity Human
Format Purified
Host Mouse
Clonality Monoclonal (mouse origin)
Isotype Mouse IgG1, kappa
Clone Name NTRK3/7140
Purity Protein A/G affinity
UniProt Q16288
Localization Membrane
Applications Immunohistochemistry (FFPE) : 1-2ug/ml for 30 minutes at RT
Limitations This TrkC antibody is available for research use only.
Review this product on BioCompare and get a $20 Amazon gift card

Related Products

Description

TrkC antibody, also known as NTRK3 antibody, recognizes a receptor tyrosine kinase commonly referred to as Neurotrophic tyrosine kinase receptor type 3, Tropomyosin receptor kinase C, and NT-3 receptor. The NTRK3 gene encodes a single-pass transmembrane neurotrophin receptor in the neurotrophic receptor tyrosine kinase family that is predominantly localized to the cell membrane, with ligand-induced internalization to endosomal compartments during signaling. TrkC is best known as the high-affinity receptor for neurotrophin-3 (NT-3), supporting neuronal survival, axon guidance, and synapse development during embryonic and postnatal nervous system maturation. High expression is commonly associated with neuronal lineages, including subsets of sensory neurons and central nervous system populations, with context-dependent expression reported in additional tissues and tumor settings.

Mechanistically, NT-3 binding promotes receptor dimerization and autophosphorylation, engaging canonical pathways such as MAPK-ERK, PI3K-AKT, and PLC-gamma signaling that regulate differentiation, cytoskeletal dynamics, and pro-survival transcriptional programs. Structurally, TrkC contains extracellular immunoglobulin-like domains involved in ligand binding, a transmembrane segment, and an intracellular kinase domain that mediates downstream signaling via adaptor recruitment. NTRK3 is located on human chromosome 15, and alternative splicing can generate receptor variants that differ in signaling capacity and trafficking behavior, which can influence observed staining patterns across cell types and developmental stages.

In cancer biology, NTRK3 is clinically relevant because oncogenic gene fusions involving NTRK3 can produce constitutively active kinase signaling that drives tumor growth in multiple solid tumor contexts. Beyond fusions, altered TrkC expression has been investigated for roles in invasion, differentiation state, and growth factor crosstalk, depending on cellular background and co-receptor networks. Clone NTRK3/7140 is designed to recognize TrkC in research applications and can be used to study NTRK3 expression patterns and neurotrophin pathway biology in relevant experimental models. A TrkC antibody is suitable for detecting receptor distribution and relative expression changes in tissue and cell-based assays used in life science research.

Application Notes

Optimal dilution of the TrkC antibody should be determined by the researcher.

Immunogen

A recombinant partial protein sequence (within amino acids 100-300) from the human protein was used as the immunogen for the TrkC antibody.

Storage

Aliquot the TrkC antibody and store frozen at -20oC or colder. Avoid repeated freeze-thaw cycles.

Cross
Bulk Quote Request Form
Name*:
Organization*:
Email*:
Phone Number*:
Catalog No.*:
Comments and Specifics(amount, formulation, etc.)*:
Validation code: Captchapackage Image


Can't read the image? click here to refresh.
    *required field

Your bulk quote request has been submitted successfully!

Please contact us if you have any questions.