• Tel: 858.663.9055
  • SeparatorEmail: info@nsjbio.com
  • Tel: 858.663.9055
  • Email: info@nsjbio.com
Home >> Antibodies >> Tripeptidyl-peptidase 2 Antibody / TPP2

Tripeptidyl-peptidase 2 Antibody / TPP2 (RQ7457)

  Catalog No Formulation Size Price (USD)  
Image RQ7457 0.5mg/ml if reconstituted with 0.2ml sterile DI water 100 ug 449
Bulk quote request
Western blot testing of 1) rat liver, 2) rat testis, 3) rat brain, 4) rat RH35, 5) mouse liver, 6) mouse testis, 7) mouse brain and 8) mouse NIH 3T3 cell lysate with Tripeptidyl-peptidase 2 antibody. Predicted molecular weight ~138 kDa.
Western blot testing of human 1) Jurkat, 2) HeLa, 3) HepG2, 4) HEL and 5) K562 cell lysate with Tripeptidyl-peptidase 2 antibody. Predicted molecular weight ~138 kDa.
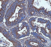
IHC staining of FFPE human colorectal adenocarcinoma tissue with Tripeptidyl-peptidase 2 antibody. HIER: boil tissue sections in pH8 EDTA for 20 min and allow to cool before testing.
IHC staining of FFPE human lung cancer tissue with Tripeptidyl-peptidase 2 antibody. HIER: boil tissue sections in pH8 EDTA for 20 min and allow to cool before testing.
IHC staining of FFPE human liver cancer tissue with Tripeptidyl-peptidase 2 antibody. HIER: boil tissue sections in pH8 EDTA for 20 min and allow to cool before testing.
Immunofluorescent staining of FFPE human A549 cells with Tripeptidyl-peptidase 2 antibody (green) and DAPI nuclear stain (blue). HIER: steam section in pH6 citrate buffer for 20 min.
Flow cytometry testing of human SiHa cells with Tripeptidyl-peptidase 2 antibody at 1ug/million cells (blocked with goat sera); Red=cells alone, Green=isotype control, Blue= Tripeptidyl-peptidase 2 antibody.
Availability 1-3 business days
Species Reactivity Human, Mouse, Rat
Format Antigen affinity purified
Host Rabbit
Clonality Polyclonal (rabbit origin)
Isotype Rabbit IgG
Purity Antigen affinity purified
Buffer Lyophilized from 1X PBS with 2% Trehalose
UniProt P29144
Localization Cytoplasmic, nuclear
Applications Western Blot : 0.5-1ug/ml
Immunohistochemistry (FFPE) : 2-5ug/ml
Immunofluorescence : 5ug/ml
Flow Cytometry : 1-3ug/million cells
Direct ELISA : 0.1-0.5ug/ml
Limitations This Tripeptidyl-peptidase 2 antibody is available for research use only.
Review this product on BioCompare and get a $20 Amazon gift card

Related Products

Description

Tripeptidyl-peptidase 2 is an enzyme that in humans is encoded by the TPP2 gene. This gene encodes a mammalian peptidase that, at neutral pH, removes tripeptides from the N terminus of longer peptides. The protein has a specialized function that is essential for some MHC class I antigen presentation. The protein is a high molecular mass serine exopeptidase; the amino acid sequence surrounding the serine residue at the active site is similar to the peptidases of the subtilisin class rather than the trypsin class.

Application Notes

Optimal dilution of the Tripeptidyl-peptidase 2 antibody should be determined by the researcher.

Immunogen

E. coli-derived recombinant human protein (amino acids E32-K1001) was used as the immunogen for the Tripeptidyl-peptidase 2 antibody.

Storage

After reconstitution, the Tripeptidyl-peptidase 2 antibody can be stored for up to one month at 4oC. For long-term, aliquot and store at -20oC. Avoid repeated freezing and thawing.

Cross
Bulk Quote Request Form
Name*:
Organization*:
Email*:
Phone Number*:
Catalog No.*:
Comments and Specifics(amount, formulation, etc.)*:
Validation code: Captchapackage Image


Can't read the image? click here to refresh.
    *required field

Your bulk quote request has been submitted successfully!

Please contact us if you have any questions.