• Tel: 858.663.9055
  • SeparatorEmail: info@nsjbio.com
  • Tel: 858.663.9055
  • Email: info@nsjbio.com
Home >> Antibodies >> TRIOBP Antibody / Trio and F-actin-binding protein

TRIOBP Antibody / Trio and F-actin-binding protein (FY12233)

  Catalog No Formulation Size Price (USD)  
Image FY12233 Adding 0.2 ml of distilled water will yield a concentration of 500 ug/ml 100 ug 449
Bulk quote request
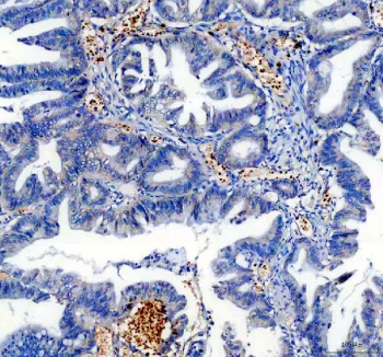
Immunohistochemical staining of TRIOBP using anti-TRIOBP antibody. TRIOBP was detected in a paraffin-embedded section of human colon cancer tissue. Heat mediated antigen retrieval was performed in EDTA buffer (pH 8.0, epitope retrieval solution). The tissue section was blocked with 10% goat serum. The tissue section was then incubated with 2 ug/ml rabbit anti-TRIOBP antibody overnight at 4oC. Peroxidase Conjugated Goat Anti-rabbit IgG was used as secondary antibody and incubated for 30 minutes at 37oC. The tissue section was developed using an HRP secondary and DAB substrate.
Western blot analysis of TRIOBP using anti-TRIOBP antibody. Electrophoresis was performed on a 10% SDS-PAGE gel at 80V (Stacking gel) / 120V (Resolving gel) for 2 hours. Lane 1: human 293T whole cell lysates, Lane 2: human Hela whole cell lysates, Lane 3: human MCF-7 whole cell lysates, Lane 4: human HepG2 whole cell lysates, Lane 5: rat PC-12 whole cell lysates, Lane 6: mouse NIH/3T3 whole cell lysates. After electrophoresis, proteins were transferred to a nitrocellulose membrane at 150 mA for 50-90 minutes. Blocked the membrane with 5% non-fat milk/TBS for 1.5 hour at RT. The membrane was incubated with rabbit anti-TRIOBP antibody at 0.5 ug/ml overnight at 4oC, then washed with TBS-0.1%Tween 3 times with 5 minutes each and probed with a goat anti-rabbit IgG-HRP secondary antibody at a dilution of 1:5000 for 1.5 hour at RT. The signal was developed using an ECL Plus Western Blotting Substrate. The TRIOBP protein has numerous isoforms at 48-261 kDa, including an ~70 kDa form referred to as 'TRIOBP-1,' Tara,' and 'TAP68.'
Immunofluorescent staining of TRIOBP using anti-TRIOBP antibody (red). TRIOBP was detected in a paraffin-embedded section of human colon cancer tissue. Heat mediated antigen retrieval was performed in EDTA buffer (pH 8.0, epitope retrieval solution). The tissue section was blocked with 10% goat serum. The tissue section was then incubated with 5 ug/ml rabbit anti-TRIOBP antibody overnight at 4oC. Cy3 Conjugated Goat Anti-Rabbit IgG was used as secondary antibody at 1:500 dilution and incubated for 30 minutes at 37oC. The section was counterstained with DAPI nuclear stain (blue). Visualize using a fluorescence microscope and filter sets appropriate for the label used.
Immunoprecipitating TRIOBP in Hela whole cell lysate. Western blot analysis of TRIOBP using anti-TRIOBP antibody. Lane 1: Hela whole cell lysates (30ug), Lane 2: Rabbit control IgG instead of anti-TRIOBP antibody in Hela whole cell lysate, Lane 3: anti-TRIOBP antibody (2ug) + Hela whole cell lysate (500ug). After electrophoresis, proteins were transferred to a membrane. Then the membrane was incubated with rabbit anti-TRIOBP antibody at a dilution of 0.5 ug/ml and probed with a goat anti-rabbit IgG-HRP secondary antibody. The signal is developed using ECL Plus Western Blotting Substrate. A specific band was detected for TRIOBP at approximately 75 kDa. The expected band size for TRIOBP is at 261 kDa.
Flow Cytometry analysis of 293T cells using anti-TRIOBP antibody. Overlay histogram showing 293T cells stained with (Blue line). To facilitate intracellular staining, cells were fixed with 4% paraformaldehyde and permeabilized with permeabilization buffer. The cells were blocked with 10% normal goat serum. And then incubated with rabbit anti-TRIOBP antibody (1 ug/million cells) for 30 min at 20oC. DyLight 488 conjugated goat anti-rabbit IgG (5-10 ug/million cells) was used as secondary antibody for 30 minutes at 20oC. Isotype control antibody (Green line) was rabbit IgG (1 ug/million cells) used under the same conditions. Unlabelled sample without incubation with primary antibody and secondary antibody (Red line) was used as a blank control.
Availability 1-2 days
Species Reactivity Human, Mouse, Rat
Format Lyophilized
Host Rabbit
Clonality Polyclonal (rabbit origin)
Isotype Rabbit IgG
Purity Immunogen affinity purified
Buffer Each vial contains 4 mg Trehalose, 0.9 mg NaCl, 0.2 mg Na2HPO4.
UniProt Q9H2D6
Applications Western Blot : 0.25-0.5ug/ml
Immunohistochemistry : 2-5ug/ml
Immunofluorescence : 5ug/ml
Immunoprecipitation : 2-4ug/500ug of lysate
Flow Cytometry : 1-3ug/million cells
ELISA : 0.1-0.5ug/ml
Limitations This TRIOBP antibody is available for research use only.
Review this product on BioCompare and get a $20 Amazon gift card

Description

TRIOBP antibody detects Trio and F-actin-binding protein, encoded by the TRIOBP gene on chromosome 22q13.1. TRIOBP antibody is widely used in studies of cytoskeletal dynamics, hearing, and neurodevelopment. TRIOBP is an actin-binding protein involved in organizing filamentous actin into stable bundles, regulating cell shape, adhesion, and structural integrity. Isoforms of TRIOBP have tissue-specific functions, particularly in the inner ear where they are essential for stereocilia architecture in sensory hair cells.

Structurally, TRIOBP is a large protein of ~236 kDa in its longest isoform, but smaller isoforms such as TRIOBP-1 and TRIOBP-4 exist due to alternative splicing. It contains coiled-coil regions and actin-binding motifs, which facilitate F-actin crosslinking. The presence of multiple isoforms allows functional diversity, with long forms stabilizing actin filaments and shorter ones regulating cytoskeletal assembly dynamics.

Functionally, TRIOBP stabilizes actin bundles in stereocilia of cochlear hair cells, supporting mechanotransduction required for hearing. Knockdown or mutation of TRIOBP results in stereocilia disorganization and deafness. In neurons, TRIOBP contributes to dendritic spine morphology and synaptic plasticity. It is also implicated in stress fiber formation and cancer cell invasion. Researchers use TRIOBP antibody to study actin regulation, auditory biology, and neuronal development.

Clinically, TRIOBP mutations cause autosomal recessive nonsyndromic deafness (DFNB28), reflecting its essential role in stereocilia maintenance. Variants are also associated with psychiatric disorders including schizophrenia, likely due to its influence on synaptic architecture. Dysregulated TRIOBP expression has been observed in cancers, particularly glioblastoma, where it promotes invasion and survival. NSJ Bioreagents provides TRIOBP antibody for cytoskeletal biology, auditory research, and cancer studies.

Experimentally, TRIOBP antibody is used in western blotting to detect isoforms of varying sizes, in immunofluorescence to visualize actin bundle association, and in immunohistochemistry to analyze cochlear and neural tissue. Co-immunoprecipitation with TRIOBP antibody identifies actin and cytoskeletal regulators as interaction partners.

Application Notes

Optimal dilution of the TRIOBP antibody should be determined by the researcher.

Immunogen

E.coli-derived human TRIOBP recombinant protein (Position: H1079-E2365) was used as the immunogen for the TRIOBP antibody.

Storage

After reconstitution, the TRIOBP antibody can be stored for up to one month at 4oC. For long-term, aliquot and store at -20oC. Avoid repeated freezing and thawing.

Cross
Bulk Quote Request Form
Name*:
Organization*:
Email*:
Phone Number*:
Catalog No.*:
Comments and Specifics(amount, formulation, etc.)*:
Validation code: Captchapackage Image


Can't read the image? click here to refresh.
    *required field

Your bulk quote request has been submitted successfully!

Please contact us if you have any questions.