• Tel: 858.663.9055
  • SeparatorEmail: info@nsjbio.com
  • Tel: 858.663.9055
  • Email: info@nsjbio.com
Home >> Antibodies >> TRIM65 Antibody

TRIM65 Antibody (F54616)

  Catalog No Formulation Size Price (USD)  
Image F54616-0.4ML In 1X PBS, pH 7.4, with 0.09% sodium azide 0.4 ml 439
Image
F54616-0.08ML In 1X PBS, pH 7.4, with 0.09% sodium azide 0.08 ml 205
Bulk quote request
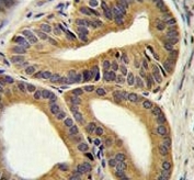
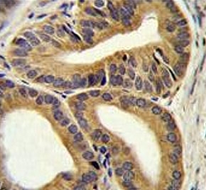
IHC testing of FFPE human prostate carcinoma tissue with TRIM65 antibody. HIER: steam section in pH6 citrate buffer for 20 min and allow to cool prior to staining.
Immunofluorescent staining of human NCI-H460 cells with TRIM65 antibody (green), DAPI nuclear stain (blue) and anti-Actin (red).
Western blot testing of human NCI-H460 cell lysate with TRIM65 antibody. Predicted molecular weight ~57 kDa.
Flow cytometry testing of human NCI-H460 cells with TRIM65 antibody; Blue=isotype control, Green= TRIM65 antibody.
Availability 1-3 business days
Species Reactivity Human
Format Purified
Host Rabbit
Clonality Polyclonal (rabbit origin)
Isotype Rabbit Ig
Purity Antigen affinity purified
UniProt Q6PJ69
Localization Cytoplasmic, nuclear
Applications Flow Cytometry : 1:25 (1x10e6 cells)
Immunofluorescence : 1:25
Immunohistochemistry (FFPE) : 1:25
Western Blot : 1:500-1:2000
Limitations This TRIM65 antibody is available for research use only.
Review this product on BioCompare and get a $20 Amazon gift card

Description

TRIM65 belongs to the TRIM/RBCC family. It contains one B box-type zinc finger, one B30.2/SPRY domain and one RING-type zinc finger.

Application Notes

The stated application concentrations are suggested starting points. Titration of the TRIM65 antibody may be required due to differences in protocols and secondary/substrate sensitivity.

Immunogen

A portion of amino acids 327-355 from the human protein was used as the immunogen for the TRIM65 antibody.

Storage

Aliquot the TRIM65 antibody and store frozen at -20oC or colder. Avoid repeated freeze-thaw cycles.

Cross
Bulk Quote Request Form
Name*:
Organization*:
Email*:
Phone Number*:
Catalog No.*:
Comments and Specifics(amount, formulation, etc.)*:
Validation code: Captchapackage Image


Can't read the image? click here to refresh.
    *required field

Your bulk quote request has been submitted successfully!

Please contact us if you have any questions.