• Tel: 858.663.9055
  • SeparatorEmail: info@nsjbio.com
  • Tel: 858.663.9055
  • Email: info@nsjbio.com
Home >> Antibodies >> TRIM47 Antibody / Tripartite motif-containing protein 47

TRIM47 Antibody / Tripartite motif-containing protein 47 (FY13011)

  Catalog No Formulation Size Price (USD)  
Image FY13011 Adding 0.2 ml of distilled water will yield a concentration of 500 ug/ml 100 ug 449
Bulk quote request
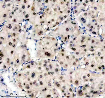
Immunohistochemical staining of TRIM47 using anti-TRIM47 antibody. TRIM47 was detected in a paraffin-embedded section of human liver cancer tissue. Heat mediated antigen retrieval was performed in EDTA buffer (pH 8.0, epitope retrieval solution). The tissue section was blocked with 10% goat serum. The tissue section was then incubated with 2 ug/ml rabbit anti-TRIM47 antibody overnight at 4oC. Peroxidase Conjugated Goat Anti-rabbit IgG was used as secondary antibody and incubated for 30 minutes at 37oC. The tissue section was developed using an HRP secondary and DAB substrate.
Western blot analysis of TRIM47 using anti-TRIM47 antibody. Electrophoresis was performed on a 10% SDS-PAGE gel at 80V (Stacking gel) / 120V (Resolving gel) for 2 hours. Lane 1: human whole cell lysates, Lane 2: human U251 whole cell lysates, Lane 3: human whole cell lysates, Lane 4: rat liver tissue lysates, Lane 5: rat RH35 whole cell lysates, Lane 6: mouse liver tissue lysates, Lane 7: mouse HEPA1-6 whole cell lysates. After electrophoresis, proteins were transferred to a nitrocellulose membrane at 150 mA for 50-90 minutes. Blocked the membrane with 5% non-fat milk/TBS for 1.5 hour at RT. The membrane was incubated with rabbit anti-TRIM47 antibody at 0.5 ug/ml overnight at 4oC, then washed with TBS-0.1%Tween 3 times with 5 minutes each and probed with a goat anti-rabbit IgG-HRP secondary antibody at a dilution of 1:5000 for 1.5 hour at RT. The signal was developed using an ECL Plus Western Blotting Substrate. A major band is observed just above 70 kDa, consistent with full-length TRIM47, and a consistent ~55 kDa band is present across samples. The lower species is consistent with a truncated/processed N-terminal form or shorter isoform of TRIM47, a behavior commonly reported for TRIM E3 ligases.
Immunohistochemical staining of TRIM47 using anti-TRIM47 antibody. TRIM47 was detected in a paraffin-embedded section of human liver tissue. Heat mediated antigen retrieval was performed in EDTA buffer (pH 8.0, epitope retrieval solution). The tissue section was blocked with 10% goat serum. The tissue section was then incubated with 2 ug/ml rabbit anti-TRIM47 antibody overnight at 4oC. Peroxidase Conjugated Goat Anti-rabbit IgG was used as secondary antibody and incubated for 30 minutes at 37oC. The tissue section was developed using an HRP secondary and DAB substrate.
Immunohistochemical staining of TRIM47 using anti-TRIM47 antibody. TRIM47 was detected in a paraffin-embedded section of mouse liver tissue. Heat mediated antigen retrieval was performed in EDTA buffer (pH 8.0, epitope retrieval solution). The tissue section was blocked with 10% goat serum. The tissue section was then incubated with 2 ug/ml rabbit anti-TRIM47 antibody overnight at 4oC. Peroxidase Conjugated Goat Anti-rabbit IgG was used as secondary antibody and incubated for 30 minutes at 37oC. The tissue section was developed using an HRP secondary and DAB substrate.
Immunohistochemical staining of TRIM47 using anti-TRIM47 antibody. TRIM47 was detected in a paraffin-embedded section of rat liver tissue. Heat mediated antigen retrieval was performed in EDTA buffer (pH 8.0, epitope retrieval solution). The tissue section was blocked with 10% goat serum. The tissue section was then incubated with 2 ug/ml rabbit anti-TRIM47 antibody overnight at 4oC. Peroxidase Conjugated Goat Anti-rabbit IgG was used as secondary antibody and incubated for 30 minutes at 37oC. The tissue section was developed using an HRP secondary and DAB substrate.
Immunofluorescent staining of TRIM47 using anti-TRIM47 antibody (green) and anti-Alpha Tubulin antibody (red). TRIM47 was detected in an immunocytochemical section of cells. Enzyme antigen retrieval was performed using IHC enzyme antigen retrieval reagent for 15 mins. The cells were blocked with 10% goat serum. And then incubated with 5 ug/ml rabbit anti-TRIM47 antibody and mouse anti-Beta Tubulin antibody overnight at 4oC. DyLight 488 Conjugated Goat Anti-Rabbit IgG and Cy3 Conjugated Goat Anti-Mouse IgG were used as secondary antibody at 1:500 dilution and incubated for 30 minutes at 37oC. Visualize using a fluorescence microscope and filter sets appropriate for the label used.
Availability 1-2 days
Species Reactivity Human, Mouse, Rat
Format Lyophilized
Host Rabbit
Clonality Polyclonal (rabbit origin)
Isotype Rabbit IgG
Purity Immunogen affinity purified
Buffer Each vial contains 4 mg Trehalose, 0.9 mg NaCl, 0.2 mg Na2HPO4.
UniProt Q96LD4
Localization Nuclear, cytoplasmic
Applications Western Blot : 0.25-0.5ug/ml
Immunohistochemistry : 2-5ug/ml
Immunocytochemistry/Immunofluorescence : 5ug/ml
ELISA : 0.1-0.5ug/ml
Limitations This TRIM47 antibody is available for research use only.
Review this product on BioCompare and get a $20 Amazon gift card

Description

TRIM47 antibody detects Tripartite motif-containing protein 47, an E3 ubiquitin ligase that regulates protein degradation, signal transduction, and immune responses. The UniProt recommended name is Tripartite motif-containing protein 47 (TRIM47). This protein is a member of the TRIM family characterized by the RING finger, B-box, and coiled-coil domains that define its ubiquitin ligase function and protein interaction capacity.

Functionally, TRIM47 antibody identifies a 638-amino-acid cytoplasmic and nuclear protein that facilitates ubiquitination of target substrates, marking them for proteasomal degradation or functional modification. TRIM47 modulates diverse cellular pathways, including interferon signaling, MAPK activation, and cell cycle regulation. Its ligase activity controls turnover of key signaling mediators, contributing to immune homeostasis and stress response.

The TRIM47 gene is located on chromosome 17q24.3 and is expressed in multiple tissues, including brain, kidney, and endothelial cells. TRIM47 interacts with adaptor proteins and kinases to regulate NF-kappaB activation, antiviral defense, and inflammatory signaling. It has also been implicated in the regulation of apoptosis and autophagy, linking ubiquitin signaling to cellular stress adaptation. TRIM47 may influence the degradation of misfolded or damaged proteins during oxidative or inflammatory stress.

In cancer biology, TRIM47 acts as an oncogenic factor in glioma, lung adenocarcinoma, and prostate cancer, where it promotes proliferation and metastasis by modulating MAPK and STAT3 pathways. Overexpression correlates with poor prognosis and enhanced resistance to apoptosis. Conversely, loss of TRIM47 activity may impair innate immune signaling, reducing antiviral defenses and inflammatory gene activation.

TRIM47 antibody is widely used in studies of ubiquitin signaling, innate immunity, and cancer biology. It is suitable for western blotting, immunoprecipitation, and immunofluorescence to examine TRIM47 expression and interactions. In immunology, this antibody supports investigations of antiviral pathways and cytokine regulation. In oncology, TRIM47 serves as a potential biomarker of tumor aggressiveness and therapeutic resistance.

Structurally, TRIM47 contains a RING-type zinc-binding motif conferring E3 ligase activity, B-box domains for stability, and a coiled-coil region for multimerization. Its C-terminal PRY/SPRY domain mediates substrate recognition and specificity. NSJ Bioreagents provides TRIM47 antibody reagents validated for use in ubiquitin signaling, immune regulation, and cancer research.

Application Notes

Optimal dilution of the TRIM47 antibody should be determined by the researcher.

Immunogen

E.coli-derived human TRIM47 recombinant protein (Position: A206-I624) was used as the immunogen for the TRIM47 antibody.

Storage

After reconstitution, the TRIM47 antibody can be stored for up to one month at 4oC. For long-term, aliquot and store at -20oC. Avoid repeated freezing and thawing.

Cross
Bulk Quote Request Form
Name*:
Organization*:
Email*:
Phone Number*:
Catalog No.*:
Comments and Specifics(amount, formulation, etc.)*:
Validation code: Captchapackage Image


Can't read the image? click here to refresh.
    *required field

Your bulk quote request has been submitted successfully!

Please contact us if you have any questions.