• Tel: 858.663.9055
  • SeparatorEmail: info@nsjbio.com
  • Tel: 858.663.9055
  • Email: info@nsjbio.com
Home >> Antibodies >> TRIM40 Antibody / Tripartite motif-containing protein 40

TRIM40 Antibody / Tripartite motif-containing protein 40 (FY13289)

  Catalog No Formulation Size Price (USD)  
Image FY13289 Adding 0.2 ml of distilled water will yield a concentration of 500 ug/ml 100 ug 449
Bulk quote request
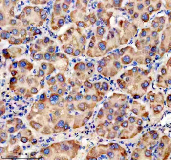
Immunohistochemical staining of TRIM40 using anti-TRIM40 antibody. TRIM40 was detected in a paraffin-embedded section of human liver cancer tissue. Heat mediated antigen retrieval was performed in EDTA buffer (pH 8.0, epitope retrieval solution). The tissue section was blocked with 10% goat serum. The tissue section was then incubated with 2 ug/ml rabbit anti-TRIM40 antibody overnight at 4oC. Peroxidase Conjugated Goat Anti-rabbit IgG was used as secondary antibody and incubated for 30 minutes at 37oC. The tissue section was developed using an HRP secondary and DAB substrate.
Western blot analysis of TRIM40 using anti-TRIM40 antibody. Electrophoresis was performed on a 10% SDS-PAGE gel at 80V (Stacking gel) / 120V (Resolving gel) for 2 hours. Lane 1: human THP-1 whole cell lysates, Lane 2: human HEL whole cell lysates, Lane 3: rat small intestine tissue lysates. After electrophoresis, proteins were transferred to a nitrocellulose membrane at 150 mA for 50-90 minutes. Blocked the membrane with 5% non-fat milk/TBS for 1.5 hour at RT. The membrane was incubated with rabbit anti-TRIM40 antibody at 0.5 ug/ml overnight at 4oC, then washed with TBS-0.1%Tween 3 times with 5 minutes each and probed with a goat anti-rabbit IgG-HRP secondary antibody at a dilution of 1:5000 for 1.5 hour at RT. The signal was developed using an ECL Plus Western Blotting Substrate. A specific band was detected for TRIM40 at approximately 36 kDa. The expected molecular weight of TRIM40 is ~36 kDa.
Immunohistochemical staining of TRIM40 using anti-TRIM40 antibody. TRIM40 was detected in a paraffin-embedded section of human liver tissue. Heat mediated antigen retrieval was performed in EDTA buffer (pH 8.0, epitope retrieval solution). The tissue section was blocked with 10% goat serum. The tissue section was then incubated with 2 ug/ml rabbit anti-TRIM40 antibody overnight at 4oC. Peroxidase Conjugated Goat Anti-rabbit IgG was used as secondary antibody and incubated for 30 minutes at 37oC. The tissue section was developed using an HRP secondary and DAB substrate.
Flow Cytometry analysis of HEL cells using anti-TRIM40 antibody. Overlay histogram showing HEL cells stained with (Blue line). To facilitate intracellular staining, cells were fixed with 4% paraformaldehyde and permeabilized with permeabilization buffer. The cells were blocked with 10% normal goat serum. And then incubated with rabbit anti-TRIM40 antibody (1 ug/million cells) for 30 min at 20oC. DyLight 488 conjugated goat anti-rabbit IgG (5-10 ug/million cells) was used as secondary antibody for 30 minutes at 20oC. Isotype control antibody (Green line) was rabbit IgG (1 ug/million cells) used under the same conditions. Unlabelled sample without incubation with primary antibody and secondary antibody (Red line) was used as a blank control.
Availability 1-2 days
Species Reactivity Human, Rat
Format Lyophilized
Host Rabbit
Clonality Polyclonal (rabbit origin)
Isotype Rabbit IgG
Purity Immunogen affinity purified
Buffer Each vial contains 4 mg Trehalose, 0.9 mg NaCl, 0.2 mg Na2HPO4.
UniProt Q6P9F5
Localization Cytoplasm
Applications Western Blot : 0.25-0.5ug/ml
Immunohistochemistry : 2-5ug/ml
Flow Cytometry : 1-3ug/million cells
ELISA : 0.1-0.5ug/ml
Limitations This TRIM40 antibody is available for research use only.
Review this product on BioCompare and get a $20 Amazon gift card

Related Products

  • Applications : WB, ELISA (peptide)
    Reactivity : Human

Description

TRIM40 antibody detects Tripartite motif-containing protein 40, a member of the TRIM family of E3 ubiquitin ligases that regulate immune signaling, protein degradation, and cellular homeostasis. The TRIM40 gene encodes a cytosolic protein characterized by a RING finger domain, one or two B-box motifs, and a coiled-coil region, which together constitute the tripartite motif typical of this protein family. TRIM40 plays a crucial role in modulating NF-kappaB and interferon signaling pathways, acting as a negative regulator of innate immune responses.

Biochemical studies have demonstrated that TRIM40 mediates ubiquitination and degradation of components within the NF-kappaB pathway, including IKK gamma (NEMO), thereby dampening inflammatory signaling. It is expressed predominantly in gastrointestinal epithelial cells and immune tissues, where it contributes to immune tolerance and inflammation control. TRIM40 also regulates Rho GTPase signaling, maintaining cytoskeletal integrity and epithelial barrier function. Reduced expression or dysregulation of TRIM40 has been associated with inflammatory bowel disease, colorectal cancer, and autoimmune conditions, suggesting its role as a protective modulator of mucosal immunity.

Located on chromosome 6p21.33 within the MHC class I region, the TRIM40 gene is inducible by cytokines and microbial stimuli. The protein's E3 ligase activity enables it to tag target proteins for proteasomal degradation, ensuring tight control of inflammatory pathways. In addition to immune regulation, TRIM40 may influence oncogenic processes by modulating NF-kappaB-driven transcription of genes related to proliferation and survival. Overexpression studies indicate that TRIM40 stabilizes cytoskeletal structures and promotes cell adhesion, counteracting tumor cell invasiveness.

Immunostaining using TRIM40 antibody demonstrates cytoplasmic localization in intestinal epithelium and lymphoid tissues. The antibody serves as a valuable reagent for exploring immune signaling, epithelial cell regulation, and tumor suppression mechanisms. TRIM40 antibody from NSJ Bioreagents can be used in immunohistochemistry, western blotting, and other analytical applications to study the role of TRIM proteins in immune modulation and cancer biology.

Application Notes

Optimal dilution of the TRIM40 antibody should be determined by the researcher.

Immunogen

E.coli-derived human TRIM40 recombinant protein (Position: M1-L258) was used as the immunogen for the TRIM40 antibody.

Storage

After reconstitution, the TRIM40 antibody can be stored for up to one month at 4oC. For long-term, aliquot and store at -20oC. Avoid repeated freezing and thawing.

Cross
Bulk Quote Request Form
Name*:
Organization*:
Email*:
Phone Number*:
Catalog No.*:
Comments and Specifics(amount, formulation, etc.)*:
Validation code: Captchapackage Image


Can't read the image? click here to refresh.
    *required field

Your bulk quote request has been submitted successfully!

Please contact us if you have any questions.