• Tel: 858.663.9055
  • SeparatorEmail: info@nsjbio.com
  • Tel: 858.663.9055
  • Email: info@nsjbio.com
Home >> Antibodies >> TRIM32 Antibody / Tripartite motif-containing protein 32

TRIM32 Antibody / Tripartite motif-containing protein 32 (FY12651)

  Catalog No Formulation Size Price (USD)  
Image FY12651 Adding 0.2 ml of distilled water will yield a concentration of 500 ug/ml 100 ug 449
Bulk quote request
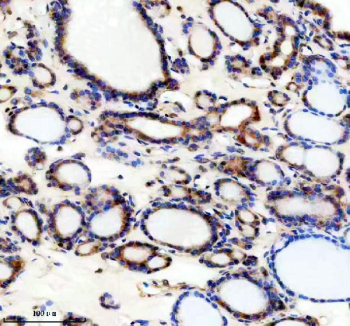
Immunohistochemical staining of TRIM32 using anti-TRIM32 antibody. TRIM32 was detected in a paraffin-embedded section of human thyroid cancer tissue. Heat mediated antigen retrieval was performed in EDTA buffer (pH 8.0, epitope retrieval solution). The tissue section was blocked with 10% goat serum. The tissue section was then incubated with 2 ug/ml rabbit anti-TRIM32 antibody overnight at 4oC. Peroxidase Conjugated Goat Anti-rabbit IgG was used as secondary antibody and incubated for 30 minutes at 37oC. The tissue section was developed using an HRP secondary and DAB substrate.
Western blot analysis of TRIM32 using anti-TRIM32 antibody. Electrophoresis was performed on a 10% SDS-PAGE gel at 80V (Stacking gel) / 120V (Resolving gel) for 2 hours. Lane 1: human Hela whole cell lysates, Lane 2: human PC-3 whole cell lysates, Lane 3: rat brain tissue lysates, Lane 4: rat PC-12 whole cell lysates, Lane 5: mouse brain tissue lysates, Lane 6: mouse Neuro-2a whole cell lysates. After electrophoresis, proteins were transferred to a nitrocellulose membrane at 150 mA for 50-90 minutes. Blocked the membrane with 5% non-fat milk/TBS for 1.5 hour at RT. The membrane was incubated with rabbit anti-TRIM32 antibody at 0.5 ug/ml overnight at 4oC, then washed with TBS-0.1%Tween 3 times with 5 minutes each and probed with a goat anti-rabbit IgG-HRP secondary antibody at a dilution of 1:5000 for 1.5 hour at RT. The signal was developed using an ECL Plus Western Blotting Substrate. A specific band was detected for TRIM32 at approximately 72 kDa. The expected molecular weight of TRIM32 is ~72 kDa.
Immunohistochemical staining of TRIM32 using anti-TRIM32 antibody. TRIM32 was detected in a paraffin-embedded section of human colon cancer tissue. Heat mediated antigen retrieval was performed in EDTA buffer (pH 8.0, epitope retrieval solution). The tissue section was blocked with 10% goat serum. The tissue section was then incubated with 2 ug/ml rabbit anti-TRIM32 antibody overnight at 4oC. Peroxidase Conjugated Goat Anti-rabbit IgG was used as secondary antibody and incubated for 30 minutes at 37oC. The tissue section was developed using an HRP secondary and DAB substrate.
Immunohistochemical staining of TRIM32 using anti-TRIM32 antibody. TRIM32 was detected in a paraffin-embedded section of rat brain tissue. Heat mediated antigen retrieval was performed in EDTA buffer (pH 8.0, epitope retrieval solution). The tissue section was blocked with 10% goat serum. The tissue section was then incubated with 2 ug/ml rabbit anti-TRIM32 antibody overnight at 4oC. Peroxidase Conjugated Goat Anti-rabbit IgG was used as secondary antibody and incubated for 30 minutes at 37oC. The tissue section was developed using an HRP secondary and DAB substrate.
Immunohistochemical staining of TRIM32 using anti-TRIM32 antibody. TRIM32 was detected in a paraffin-embedded section of rat brain tissue. Heat mediated antigen retrieval was performed in EDTA buffer (pH 8.0, epitope retrieval solution). The tissue section was blocked with 10% goat serum. The tissue section was then incubated with 2 ug/ml rabbit anti-TRIM32 antibody overnight at 4oC. Peroxidase Conjugated Goat Anti-rabbit IgG was used as secondary antibody and incubated for 30 minutes at 37oC. The tissue section was developed using an HRP secondary and DAB substrate.
Flow Cytometry analysis of 293T cells using anti-TRIM32 antibody. Overlay histogram showing 293T cells stained with (Blue line). To facilitate intracellular staining, cells were fixed with 4% paraformaldehyde and permeabilized with permeabilization buffer. The cells were blocked with 10% normal goat serum. And then incubated with rabbit anti-TRIM32 antibody (1 ug/million cells) for 30 min at 20oC. DyLight 488 conjugated goat anti-rabbit IgG (5-10 ug/million cells) was used as secondary antibody for 30 minutes at 20oC. Isotype control antibody (Green line) was rabbit IgG (1 ug/million cells) used under the same conditions. Unlabelled sample without incubation with primary antibody and secondary antibody (Red line) was used as a blank control.
Flow Cytometry analysis of RT4 cells using anti-TRIM32 antibody. Overlay histogram showing RT4 cells stained with (Blue line). To facilitate intracellular staining, cells were fixed with 4% paraformaldehyde and permeabilized with permeabilization buffer. The cells were blocked with 10% normal goat serum. And then incubated with rabbit anti-TRIM32 antibody (1 ug/million cells) for 30 min at 20oC. DyLight 488 conjugated goat anti-rabbit IgG (5-10 ug/million cells) was used as secondary antibody for 30 minutes at 20oC. Isotype control antibody (Green line) was rabbit IgG (1 ug/million cells) used under the same conditions. Unlabelled sample without incubation with primary antibody and secondary antibody (Red line) was used as a blank control.
Availability 1-2 days
Species Reactivity Human, Mouse, Rat
Format Lyophilized
Host Rabbit
Clonality Polyclonal (rabbit origin)
Isotype Rabbit IgG
Purity Immunogen affinity purified
Buffer Each vial contains 4 mg Trehalose, 0.9 mg NaCl, 0.2 mg Na2HPO4.
UniProt Q13049
Applications Western Blot : 0.25-0.5ug/ml
Immunohistochemistry : 2-5ug/ml
Flow Cytometry : 1-3ug/million cells
ELISA : 0.1-0.5ug/ml
Limitations This TRIM32 antibody is available for research use only.
Review this product on BioCompare and get a $20 Amazon gift card

Description

TRIM32 antibody detects Tripartite motif-containing protein 32, an E3 ubiquitin ligase that regulates protein turnover, muscle differentiation, and cellular signaling. TRIM32 is part of the TRIM family of RING finger proteins that mediate ubiquitin-dependent degradation and transcriptional regulation. The TRIM32 antibody is widely used in muscle biology, neurodegeneration, and oncology research to study ubiquitination, differentiation, and signaling regulation.

TRIM32 is encoded by the TRIM32 gene located on human chromosome 9q33.1. The protein is approximately 653 amino acids long and contains a RING domain, one or two B-box domains, and a coiled-coil region that mediates protein-protein interactions, followed by a C-terminal NHL repeat domain responsible for substrate recognition. TRIM32 localizes to the cytoplasm, nucleus, and occasionally to cytoskeletal structures, depending on cell type and activity state.

The TRIM32 antibody detects an 80 kilodalton protein by western blot and shows punctate cytoplasmic staining under immunofluorescence microscopy. TRIM32 functions as an E3 ubiquitin ligase that targets a variety of substrates involved in differentiation, including actin regulators, transcription factors, and signaling molecules. In skeletal muscle, TRIM32 promotes myogenesis by ubiquitinating inhibitors of differentiation such as NDRG2 and MyoD regulators. In neurons, TRIM32 modulates synaptic plasticity and axonal growth by regulating cytoskeletal remodeling and degradation of synaptic proteins.

Mutations in TRIM32 cause Limb-Girdle Muscular Dystrophy type 2H and Bardet-Biedl syndrome, disorders characterized by muscle weakness, retinal degeneration, and developmental defects. These mutations often impair E3 ligase activity or disrupt substrate binding, leading to accumulation of misfolded or damaged proteins. TRIM32 is also implicated in tumorigenesis, acting as either a tumor suppressor or oncogene depending on cellular context. Its ubiquitination of MYC and p53 pathway components links it directly to cancer cell proliferation and apoptosis.

Because TRIM32 integrates ubiquitin signaling with cellular differentiation and homeostasis, it serves as an essential node in protein quality control and tissue development. NSJ Bioreagents provides a validated TRIM32 antibody optimized for western blot, immunofluorescence, and ubiquitination assays, supporting research into muscle physiology, neurodegeneration, and cancer signaling.

Application Notes

Optimal dilution of the TRIM32 antibody should be determined by the researcher.

Immunogen

E.coli-derived human TRIM32 recombinant protein (Position: S216-R586) was used as the immunogen for the TRIM32 antibody.

Storage

After reconstitution, the TRIM32 antibody can be stored for up to one month at 4oC. For long-term, aliquot and store at -20oC. Avoid repeated freezing and thawing.

Cross
Bulk Quote Request Form
Name*:
Organization*:
Email*:
Phone Number*:
Catalog No.*:
Comments and Specifics(amount, formulation, etc.)*:
Validation code: Captchapackage Image


Can't read the image? click here to refresh.
    *required field

Your bulk quote request has been submitted successfully!

Please contact us if you have any questions.