• Tel: 858.663.9055
  • SeparatorEmail: info@nsjbio.com
  • Tel: 858.663.9055
  • Email: info@nsjbio.com
Home >> Antibodies >> TRIM29 Antibody Mouse Monoclonal

TRIM29 Antibody Mouse Monoclonal [clone TRIM29/1041] (V2507)

  Catalog No Formulation Size Price (USD)  
Image V2507-100UG 0.2 mg/ml in 1X PBS with 0.1 mg/ml BSA (US sourced) and 0.05% sodium azide 100 ug 559
Image
V2507-20UG 0.2 mg/ml in 1X PBS with 0.1 mg/ml BSA (US sourced) and 0.05% sodium azide 20 ug 259
Image
V2507SAF-100UG 1 mg/ml in 1X PBS; BSA free, sodium azide free 100 ug 559
Image
V2507IHC-7ML Prediluted in 1X PBS with 0.1 mg/ml BSA (US sourced) and 0.05% sodium azide; *For IHC use only* 7 ml 559
Bulk quote request
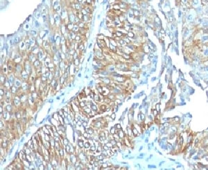
TRIM29 Antibody Mouse Monoclonal Lung Squamous Cell Carcinoma IHC. Immunohistochemistry of TRIM29 antibody mouse monoclonal TRIM29/1041 in human lung squamous cell carcinoma. Formalin-fixed, paraffin-embedded human lung tumor tissue shows HRP-DAB brown chromogenic signal with cytoplasmic and nuclear staining in malignant squamous epithelial cells, while surrounding stromal elements demonstrate minimal staining.
TRIM29 Antibody Mouse Monoclonal Esophageal Carcinoma Immunohistochemistry. IHC: Formalin-fixed, paraffin-embedded human esophageal carcinoma stained with mouse monoclonal TRIM29 antibody (clone TRIM29/1041).
Availability 1-3 business days
Species Reactivity Human
Format Purified
Host Mouse
Clonality Monoclonal (mouse origin)
Isotype Mouse IgG2a, kappa
Clone Name TRIM29/1041
Purity Protein G affinity chromatography
UniProt Q14134
Localization Cytoplasmic & cell surface
Applications ELISA : order BSA/sodium azide-free format for coating
Immunohistochemistry (FFPE) : 1-2ug/ml for 30 min at RT
Limitations This TRIM29 antibody is available for research use only.
Review this product on BioCompare and get a $20 Amazon gift card

Related Products

Description

Tripartite motif-containing protein 29 is a member of the TRIM protein family encoded by the TRIM29 gene and is also known as ATDC or ataxia-telangiectasia group D complementing protein. The TRIM29 Antibody Mouse Monoclonal TRIM29/1041 is developed to detect this epithelial-associated regulatory protein in research applications focused on DNA damage response and tumor biology. TRIM29 is located on chromosome 11q23 and, unlike many other TRIM family members, lacks a canonical RING finger domain while retaining B-box and coiled-coil motifs that support protein-protein interactions and scaffold functions.

TRIM29 has been implicated in modulation of chromatin organization, transcriptional regulation, and cellular responses to genotoxic stress. It interacts with components of the p53 signaling pathway and other regulatory proteins that influence cell cycle progression, apoptosis, and epithelial differentiation. Through these interactions, TRIM29 contributes to maintenance of genomic stability and regulation of stress-adaptive signaling pathways. Subcellular localization studies describe both cytoplasmic and nuclear distribution depending on tissue type and physiologic context.

Expression of TRIM29 is enriched in epithelial tissues including pancreas, lung, skin, and gastrointestinal tract. In cancer research, altered TRIM29 expression has been reported in pancreatic, gastric, lung, breast, and bladder carcinomas. Its biologic role appears context dependent, with evidence suggesting involvement in tumor progression or modulation of stress signaling pathways depending on tumor type. This tissue-specific behavior underscores its importance in epithelial transformation and oncogenic signaling networks.

As part of the tripartite motif protein family, TRIM29 participates in pathways regulating protein stability and cellular stress adaptation. Investigation of TRIM29 expression supports research focused on epithelial integrity, DNA damage response mechanisms, and cancer-associated signaling biology. Clone TRIM29/1041 is a mouse monoclonal antibody designed for specific detection of TRIM29 protein expression in diverse research settings.

For additional TRIM29 and ATDC research antibodies targeting epithelial differentiation and squamous carcinoma-associated signaling pathways, explore the broader TRIM29 Antibody page featuring recombinant rabbit monoclonal clone TRIM29/9256R.

Application Notes

Optimal dilution of the TRIM29 antibody should be determined by the researcher.

1. Staining of formalin/paraffin tissues requires boiling tissue sections in pH 9 10mM Tris with 1mM EDTA for 10-20 min followed by cooling at RT for 20 min.
2. The prediluted format is supplied in a dropper bottle and is optimized for use in IHC. After epitope retrieval step (if required), drip mAb solution onto the tissue section and incubate at RT for 30 min.

Immunogen

A recombinant fragment (126 amino acid residues between aa 1-200) of human TRIM29 protein was used as the immunogen for the TRIM29 antibody mouse monoclonal TRIM29/1041.

Storage

Store the TRIM29 antibody at 2-8oC (with azide) or aliquot and store at -20oC or colder (without azide).

Cross
Bulk Quote Request Form
Name*:
Organization*:
Email*:
Phone Number*:
Catalog No.*:
Comments and Specifics(amount, formulation, etc.)*:
Validation code: Captchapackage Image


Can't read the image? click here to refresh.
    *required field

Your bulk quote request has been submitted successfully!

Please contact us if you have any questions.