• Tel: 858.663.9055
  • SeparatorEmail: info@nsjbio.com
  • Tel: 858.663.9055
  • Email: info@nsjbio.com
Home >> Antibodies >> TRIM28 Antibody / KAP1

TRIM28 Antibody / KAP1 [clone 9E3.] (RQ5933)

  Catalog No Formulation Size Price (USD)  
Image RQ5933 0.5mg/ml if reconstituted with 0.2ml sterile DI water 100 ug 449
Bulk quote request
IHC staining of FFPE human breast cancer with TRIM28 antibody. HIER: boil tissue sections in pH8 EDTA for 20 min and allow to cool before testing.
IHC staining of FFPE human rectal cancer with TRIM28 antibody. HIER: boil tissue sections in pH8 EDTA for 20 min and allow to cool before testing.
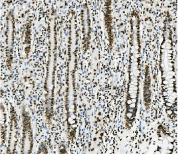
IHC staining of FFPE rat intestine with TRIM28 antibody. HIER: boil tissue sections in pH8 EDTA for 20 min and allow to cool before testing.
IHC staining of frozen human placenta with TRIM28 antibody.
Immunofluorescent staining of FFPE human rectal cancer with TRIM28 antibody (green). HIER: steam section in pH8 EDTA for 20 min.
Immunofluorescent staining of FFPE human U-2 OS cells with TRIM28 antibody (green) and DAPI nuclear stain (blue). HIER: steam section in pH6 citrate buffer for 20 min.
Western blot testing of human 1) HeLa, 2) PC-3, 3) HEK293, 4) A549, 5) Jurkat, 6) ThP-1, 7) rat PC-12 and 8) mouse NIH 3T3 lysate with TRIM28 antibody. Observed molecular weight: 88~110 kDa depending on sumoylation.
Flow cytometry testing of human A549 cells with TRIM28 antibody at 1ug/million cells (blocked with goat sera); Red=cells alone, Green=isotype control, Blue= TRIM28 antibody.
Availability 1-3 business days
Species Reactivity Human, Mouse, Rat
Format Antigen affinity purified
Host Mouse
Clonality Monoclonal (mouse origin)
Isotype Mouse IgG2a
Clone Name 9E3.
Purity Affinity purified
Buffer Lyophilized from 1X PBS with 2% Trehalose and 0.025% sodium azide
UniProt Q13263
Localization Nuclear
Applications Western Blot : 0.5-1ug/ml
Immunohistochemistry (FFPE And Frozen) : 1-2ug/ml
Immunofluorescence : 2-4ug/ml
Flow Cytometry : 1-3ug/million cells
Limitations This TRIM28 antibody is available for research use only.
Review this product on BioCompare and get a $20 Amazon gift card

Related Products

  • Applications : WB, IHC-P, IHC-F, IF, FACS
    Reactivity : Human, Mouse, Rat
  • Applications : WB, ELISA (peptide)
    Reactivity : Human
    Pred. Reactivity : Dog, Mouse, Rat
  • Applications : IHC, ELISA (peptide)
    Reactivity : Human
    Pred. Reactivity : Mouse
  • Applications : WB, IHC-P, FACS, IF
    Reactivity : Human, Mouse, Rat
  • Applications : IF, IHC-P, WB
    Reactivity : Human

Description

Tripartite motif-containing 28 (TRIM28), also known as transcriptional intermediary factor 1 beta (TIF1b) and KAP1 (KRAB-associated protein-1), is a protein that in humans is encoded by the TRIM28 gene. The protein encoded by this gene mediates transcriptional control by interaction with the Kruppel-associated box repression domain found in many transcription factors. The protein localizes to the nucleus and is thought to associate with specific chromatin regions. KAP1 is a ubiquitously expressed protein involved in many critical functions including: transcriptional regulation, cellular differentiation and proliferation, DNA damage repair, viral suppression, and apoptosis. Its functionality is dependent upon post-translational modifications. Phosphorylation of KAP1 acts as a deactivator of the protein in many of its mechanisms while sumoylation acts as an activator.

Application Notes

Optimal dilution of the TRIM28 antibody should be determined by the researcher.

Immunogen

Recombinant human protein (amino acids A699-P835) was used as the immunogen for the TRIM28 antibody.

Storage

After reconstitution, the TRIM28 antibody can be stored for up to one month at 4oC. For long-term, aliquot and store at -20oC. Avoid repeated freezing and thawing.

Cross
Bulk Quote Request Form
Name*:
Organization*:
Email*:
Phone Number*:
Catalog No.*:
Comments and Specifics(amount, formulation, etc.)*:
Validation code: Captchapackage Image


Can't read the image? click here to refresh.
    *required field

Your bulk quote request has been submitted successfully!

Please contact us if you have any questions.