• Tel: 858.663.9055
  • SeparatorEmail: info@nsjbio.com
  • Tel: 858.663.9055
  • Email: info@nsjbio.com
Home >> Antibodies >> TRIM25 Antibody / EFP

TRIM25 Antibody / EFP (RQ6013)

  Catalog No Formulation Size Price (USD)  
Image RQ6013 0.5mg/ml if reconstituted with 0.2ml sterile DI water 100 ug 449
Bulk quote request
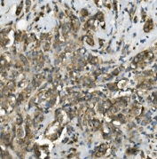
IHC staining of FFPE human pancreatic cancer with TRIM25 antibody. HIER: boil tissue sections in pH8 EDTA for 20 min and allow to cool before testing.
IHC staining of FFPE human breast cancer with TRIM25 antibody. HIER: boil tissue sections in pH8 EDTA for 20 min and allow to cool before testing.
IHC staining of FFPE human breast cancer with TRIM25 antibody. HIER: boil tissue sections in pH8 EDTA for 20 min and allow to cool before testing.
Immunofluorescent staining of FFPE human U-2 OS cells with TRIM25 antibody (green) and DAPI nuclear stain (blue). HIER: steam section in pH6 citrate buffer for 20 min.
Western blot testing of human 1) HepG2, 2) HeLa, 3) K562, 4) Caco-2 and T-47D lysate with TRIM25 antibody. Predicted molecular weight ~71 kDa.
Flow cytometry testing of human U937 cells with TRIM25 antibody at 1ug/million cells (blocked with goat sera); Red=cells alone, Green=isotype control, Blue= TRIM25 antibody.
Availability 1-3 business days
Species Reactivity Human
Format Antigen affinity purified
Host Rabbit
Clonality Polyclonal (rabbit origin)
Isotype Rabbit IgG
Purity Affinity purified
Buffer Lyophilized from 1X PBS with 2% Trehalose and 0.025% sodium azide
UniProt Q14258
Localization Nuclear, cytoplasmic
Applications Western Blot : 0.5-1ug/ml
Immunohistochemistry : 1-2ug/ml
Immunofluorescence : 2-4ug/ml
Flow Cytometry : 1-3ug/million cells
Direct ELISA : 0.1-0.5ug/ml
Limitations This TRIM25 antibody is available for research use only.
Review this product on BioCompare and get a $20 Amazon gift card

Related Products

  • Applications : WB, IHC-P, IF, FACS, Direct ELISA
    Reactivity : Mouse, Rat

Description

Tripartite motif-containing protein 25, also called 'Estrogen-responsive finger protein' or 'EFP,' is a protein that in humans is encoded by the TRIM25 gene. It is mapped to 17q22. The protein encoded by this gene is a member of the tripartite motif (TRIM) family. The TRIM motif includes three zinc-binding domains, a RING, a B-box type 1 and a B-box type 2, and a coiled-coil region. The protein localizes to the cytoplasm. The presence of potential DNA-binding and dimerization-transactivation domains suggests that this protein may act as a transcription factor, similar to several other members of the TRIM family. Expression of the gene is upregulated in response to estrogen, and it is thought to mediate estrogen actions in breast cancer as a primary response gene.

Application Notes

Optimal dilution of the TRIM25 antibody should be determined by the researcher.

Immunogen

Recombinant human protein (amino acids M1-A610) was used as the immunogen for the TRIM25 antibody.

Storage

After reconstitution, the TRIM25 antibody can be stored for up to one month at 4oC. For long-term, aliquot and store at -20oC. Avoid repeated freezing and thawing.

Cross
Bulk Quote Request Form
Name*:
Organization*:
Email*:
Phone Number*:
Catalog No.*:
Comments and Specifics(amount, formulation, etc.)*:
Validation code: Captchapackage Image


Can't read the image? click here to refresh.
    *required field

Your bulk quote request has been submitted successfully!

Please contact us if you have any questions.