• Tel: 858.663.9055
  • SeparatorEmail: info@nsjbio.com
  • Tel: 858.663.9055
  • Email: info@nsjbio.com
Home >> Antibodies >> Trim24 Antibody / Tif1 alpha / Tif1a

Trim24 Antibody / Tif1 alpha / Tif1a (F54747)

  Catalog No Formulation Size Price (USD)  
Image F54747-0.4ML In 1X PBS, pH 7.4, with 0.09% sodium azide 0.4 ml 439
Image
F54747-0.08ML In 1X PBS, pH 7.4, with 0.09% sodium azide 0.08 ml 205
Bulk quote request
Western blot testing of mouse 1) NIH 3T3, 2) spleen, 3) testis and 4) thymus lysate with Trim 24 antibody. Expected molecular weight: 117-140 kDa.
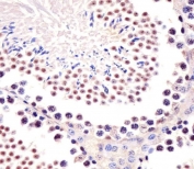
IHC testing of FFPE mouse testis tissue with Trim24 antibody. HIER: steam section in pH6 citrate buffer for 20 min and allow to cool prior to staining.
Immunofluorescent staining of human HeLa cells with Trim24 antibody (green) and anti-Actin (red).
Availability 1-3 business days
Species Reactivity Mouse
Format Purified
Host Rabbit
Clonality Polyclonal (rabbit origin)
Isotype Rabbit Ig
Purity Antigen affinity purified
UniProt Q64127
Localization Cytoplasmic, nuclear
Applications Western Blot : 1:500-1:2000
Immunofluorescence : 1:25
Immunohistochemistry (FFPE) : 1:25
Limitations This Trim24 antibody is available for research use only.
Review this product on BioCompare and get a $20 Amazon gift card

Related Products

Description

Transcriptional coactivator that interacts with numerous nuclear receptors and coactivators and modulates the transcription of target genes. Interacts with chromatin depending on histone H3 modifications, having the highest affinity for histone H3 that is both unmodified at 'Lys-4' (H3K4me0) and acetylated at 'Lys-23' (H3K23ac) (By similarity). Has E3 protein-ubiquitin ligase activity. Promotes ubiquitination and proteasomal degradation of p53/TP53. Plays a role in the regulation of cell proliferation and apoptosis via its effects on p53/TP53 levels. Up-regulates ligand- dependent transcription activation by AR, GCR/NR3C1, thyroid hormone receptor (TR) and ESR1. Modulates transcription activation by retinoic acid (RA) receptors, such as RARA. Plays a role in regulating retinoic acid-dependent proliferation of hepatocytes. Required for normal transition from proliferating neonatal hepatocytes to quiescent adult hepatocytes.

Application Notes

The stated application concentrations are suggested starting points. Titration of the Trim24 antibody may be required due to differences in protocols and secondary/substrate sensitivity.

Immunogen

A portion of amino acids 789-843 from the mouse protein was used as the immunogen for the Trim24 antibody.

Storage

Aliquot the Trim24 antibody and store frozen at -20oC or colder. Avoid repeated freeze-thaw cycles.

Cross
Bulk Quote Request Form
Name*:
Organization*:
Email*:
Phone Number*:
Catalog No.*:
Comments and Specifics(amount, formulation, etc.)*:
Validation code: Captchapackage Image


Can't read the image? click here to refresh.
    *required field

Your bulk quote request has been submitted successfully!

Please contact us if you have any questions.