• Tel: 858.663.9055
  • SeparatorEmail: info@nsjbio.com
  • Tel: 858.663.9055
  • Email: info@nsjbio.com
Home >> Antibodies >> TRIM2 Antibody

TRIM2 Antibody (R33630)

  Catalog No Formulation Size Price (USD)  
Image R33630-100UG 0.5 mg/ml in 1X TBS, pH7.3, with 0.5% BSA (US sourced) and 0.02% sodium azide 100 ug 475
Bulk quote request
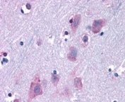
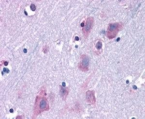
IHC staining of FFPE human cortex with TRIM2 antibody at 6.3ug/ml. HIER: steamed with pH6 citrate buffer, AP-staining.
Western blot testing of rat brain lysate with TRIM2 antibody at 0.5ug/ml. Predicted molecular weight: ~81/84kDa (isoforms 1/2). All three observed bands are blocked by addition of the immunizing peptide.
Availability 1-3 business days
Species Reactivity Human, Mouse, Rat
Predicted Reactivity Cow, Dog
Format Antigen affinity purified
Host Goat
Clonality Polyclonal (goat origin)
Isotype Goat Ig
Purity Antigen affinity
UniProt Q9C040
Gene ID 23321
Applications Western Blot : 0.5-2ug/ml
Immunohistochemistry (FFPE) : 6-12ug/ml
Immunoprecipitation : suitable
ELISA (peptide) LOD : 1:16000
Limitations This TRIM2 antibody is available for research use only.
Review this product on BioCompare and get a $20 Amazon gift card

Related Products

Description

Additional name(s) for this target protein: Tripartite motif-containing 2

Application Notes

Optimal dilution of the TRIM2 antibody should be determined by the researcher.

1. Due to protein homology, this TRIM2 antibody will cross react with TRIM3.

Immunogen

Amino acids DSGNHCFKVYRYLQ were used as the immunogen for this TRIM2 antibody. (1)

Storage

Aliquot and store the TRIM2 antibody at -20oC.

Cross
Bulk Quote Request Form
Name*:
Organization*:
Email*:
Phone Number*:
Catalog No.*:
Comments and Specifics(amount, formulation, etc.)*:
Validation code: Captchapackage Image


Can't read the image? click here to refresh.
    *required field

Your bulk quote request has been submitted successfully!

Please contact us if you have any questions.