• Tel: 858.663.9055
  • SeparatorEmail: info@nsjbio.com
  • Tel: 858.663.9055
  • Email: info@nsjbio.com
Home >> Antibodies >> TRIM16 Antibody / Tripartite motif-containing protein 16

TRIM16 Antibody / Tripartite motif-containing protein 16 (RQ7582)

  Catalog No Formulation Size Price (USD)  
Image RQ7582 0.5mg/ml if reconstituted with 0.2ml sterile DI water 100 ug 449
Bulk quote request
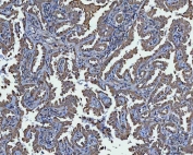
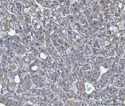
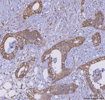
IHC staining of FFPE human colorectal adenocarcinoma tissue with TRIM16 antibody. HIER: boil tissue sections in pH8 EDTA for 20 min and allow to cool before testing.
IHC staining of FFPE human ovarian serous adenocarcinoma tissue with TRIM16 antibody. HIER: boil tissue sections in pH8 EDTA for 20 min and allow to cool before testing.
IHC staining of FFPE human lung cancer tissue with TRIM16 antibody. HIER: boil tissue sections in pH8 EDTA for 20 min and allow to cool before testing.
IHC staining of FFPE human liver cancer tissue with TRIM16 antibody. HIER: boil tissue sections in pH8 EDTA for 20 min and allow to cool before testing.
IHC staining of FFPE human cervical cancer tissue with TRIM16 antibody. HIER: boil tissue sections in pH8 EDTA for 20 min and allow to cool before testing.
IHC staining of FFPE human prostate cancer tissue with TRIM16 antibody. HIER: boil tissue sections in pH8 EDTA for 20 min and allow to cool before testing.
IHC staining of FFPE rat colon tissue with TRIM16 antibody. HIER: boil tissue sections in pH8 EDTA for 20 min and allow to cool before testing.
Western blot testing of human 1) RT4 and 2) HeLa cell lysate with TRIM16 antibody. Predicted molecular weight: 54-63 kDa (multiple isoforms).
Flow cytometry testing of fixed and permeabilized human Daudi cells with TRIM16 antibody at 1ug/million cells (blocked with goat sera); Red=cells alone, Green=isotype control, Blue= TRIM16 antibody.
Immunofluorescent staining of FFPE human A549 cells with TRIM16 antibody (green) and DAPI nuclear stain (blue). HIER: steam section in pH6 citrate buffer for 20 min.
Availability 1-3 business days
Species Reactivity Human, Rat
Format Antigen affinity purified
Host Rabbit
Clonality Polyclonal (rabbit origin)
Isotype Rabbit IgG
Purity Antigen affinity purified
Buffer Lyophilized from 1X PBS with 2% Trehalose
UniProt O95361
Localization Cytoplasmic
Applications Western Blot : 0.5-1ug/ml
Immunohistochemistry (FFPE) : 2-5ug/ml
Flow Cytometry : 1-3ug/million cells
Immunofluorescence : 5ug/ml
Direct ELISA : 0.1-0.5ug/ml
Limitations This TRIM16 antibody is available for research use only.
Review this product on BioCompare and get a $20 Amazon gift card

Related Products

Description

TRIM16 (Tripartite motif-containing protein 16) is a member of the TRIM family, characterized by the presence of a RING finger, one or two B-box domains, and a coiled-coil region. Unlike many TRIM proteins, TRIM16 lacks intrinsic E3 ubiquitin ligase activity but is believed to modulate ubiquitin-dependent processes through interactions with other TRIM family members and signaling proteins. It is implicated in the regulation of cell growth, differentiation, and stress responses.

TRIM16 is expressed in a variety of tissues and has been associated with processes such as epithelial cell migration, wound healing, and regulation of oxidative stress. It is also thought to play roles in transcriptional regulation and intracellular trafficking, making it of interest in studies exploring cellular homeostasis and protein network modulation.

The TRIM16 antibody is a high-quality reagent for detecting TRIM16 in applications including western blot, immunofluorescence, and immunohistochemistry. Researchers use the TRIM16 antibody from NSJ Bioreagents to investigate protein localization, study its role in cell signaling, and explore its involvement in regulatory protein complexes. With strong specificity and reproducibility, the TRIM16 antibody supports diverse research areas in molecular biology, cell biology, and protein interaction studies.

Application Notes

Optimal dilution of the TRIM16 antibody should be determined by the researcher.

Immunogen

E. coli-derived recombinant human protein (amino acids M1-Q218) was used as the immunogen for the TRIM16 antibody.

Storage

After reconstitution, the TRIM16 antibody can be stored for up to one month at 4oC. For long-term, aliquot and store at -20oC. Avoid repeated freezing and thawing.

Cross
Bulk Quote Request Form
Name*:
Organization*:
Email*:
Phone Number*:
Catalog No.*:
Comments and Specifics(amount, formulation, etc.)*:
Validation code: Captchapackage Image


Can't read the image? click here to refresh.
    *required field

Your bulk quote request has been submitted successfully!

Please contact us if you have any questions.