• Tel: 858.663.9055
  • SeparatorEmail: info@nsjbio.com
  • Tel: 858.663.9055
  • Email: info@nsjbio.com
Home >> Antibodies >> TRIM11 Antibody

TRIM11 Antibody (R33330)

  Catalog No Formulation Size Price (USD)  
Image R33330-100UG 0.5 mg/ml in 1X TBS, pH7.3, with 0.5% BSA (US sourced) and 0.02% sodium azide 100 ug 449
Bulk quote request
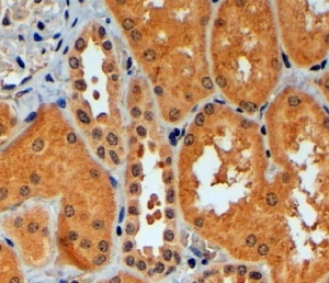
IHC testing of FFPE human kidney with TRIM11 antibody at 4ug/ml. HIER: steamed with pH6 citrate buffer, HRP-staining.
Availability 1-3 business days
Species Reactivity Human
Format Antigen affinity purified
Clonality Polyclonal (goat origin)
Isotype Goat Ig
Purity Antigen affinity
Gene ID 81559
Applications Immunohistochemistry (FFPE) : 4-6ug/ml
ELISA (peptide) LOD : 1:32000
Limitations This TRIM11 antibody is available for research use only.
Review this product on BioCompare and get a $20 Amazon gift card

Related Products

  • Applications : WB, ELISA (peptide)
    Reactivity : Human
    Pred. Reactivity : Cow, Pig

Description

Additional name(s) for this target protein: Tripartite motif-containing 11

Application Notes

Optimal dilution of the TRIM11 antibody should be determined by the researcher.

Immunogen

Amino acids CRPKGGSGDTLAPQ were used as the immunogen for this TRIM11 antibody.

Storage

Aliquot and store the TRIM11 antibody at -20oC.

Cross
Bulk Quote Request Form
Name*:
Organization*:
Email*:
Phone Number*:
Catalog No.*:
Comments and Specifics(amount, formulation, etc.)*:
Validation code: Captchapackage Image


Can't read the image? click here to refresh.
    *required field

Your bulk quote request has been submitted successfully!

Please contact us if you have any questions.